首页 / 产品

产品

Recombinant  Human TSPAN4 Protein

中文名:重组人(TSPAN4)蛋白

Catalog:PAX2000-12219

Size: 20μg / 50μg / 100μg / >100μg

GeneID:O14817

Synonyms:TSPAN4; NAG2; TM4SF7; Tetraspanin-4; Tspan-4; Novel antigen 2; NAG-2; Transmembrane 4 superfamily member 7

靶点:TSPAN4

种属:Human

表达宿主:E.coli

标签:GST-tag at N-terminal

人C反应蛋白

中文名:人C反应蛋白

Catalog:IPDX-3331

Size:

Type:IVD原料

Rabbit Monoclonal CDK1 Antibody

中文名:CDK1抗体

Catalog:IPDX21205

Size: 50μl / 100μl

Application: WB IP IHC ICC FCM Elisa

Reactivity:Human,Mouse,Rat

Synonyms:CDK1; CDC2; CDC28A; CDKN1; P34CDC2; Cyclin-dependent kinase 1; CDK1; Cell division control protein 2 homolog; Cell division protein kinase 1; p34 protein kinase

Type:Primary antibody

Goat Polyclonal Antibody to Rabbit IgG (H&L) - HRP

中文名:山羊多克隆抗体抗兔IgG(H&L)

Catalog:IPDX92474

Size: 100ul / 500ul

Reactivity:Rabbit

Synonyms:Goat Anti-Rabbit IgG (H&L)-HRP;Goat Anti Rabbit IgG (H&L) HR

Type:Secondary Antibody

表达宿主:Goat IgG

Mouse Monoclonal Antibody to SLC12A3

中文名:SLC12A3抗体

Catalog:IPDX9712-A

Size: 50ul / 100ul

GeneID: P55017

Reactivity: Human,Mouse,Rat,Rabbit,Monkey

Synonyms:NCC; TSC; NCCT

Type:Primary antibody

Mouse Monoclonal Antibody to NT5DC3

中文名:NT5DC3抗体

Catalog:IPDX23184-A

Size: 50ul / 100ul

GeneID: Q86UY8

Reactivity:Human

Synonyms:NT5C3; P5N1; UMPH1; HSPC233; Cytosolic 5'-nucleotidase 3; Cytosolic 5'-nucleotidase III; cN-III; Pyrimidine 5'-nucleotidase 1; P5'N-1; P5N-1; PN-I; Uridine 5'-monophosphate hydrolase 1; p36

Type: Primary antibody

Mouse Monoclonal Antibody to SLC12A3

中文名:SLC12A3抗体

Catalog:IPDX12712-A

Size: 50ul / 100ul

GeneID: O14983

Reactivity:Human,Mouse,Monkey

Synonyms: NCC; TSC; NCCT

Type:Primary antibody

Rabbit Monoclonal Antibody to iNOS

中文名:iNOS抗体

Catalog:IPDX9228

Size: 50ul / 100ul

GeneID: P35228

Reactivity:Human,Mouse,Rat

Synonyms:NOS2;NOS2A;Nitric oxide synthase;inducible;Hepatocyte NOS;HEP-NOS;Inducible NO synthase;Inducible NOS;iNOS;NOS type II;Peptidyl-cysteine S-nitrosylase NOS2

Type: Primary antibody

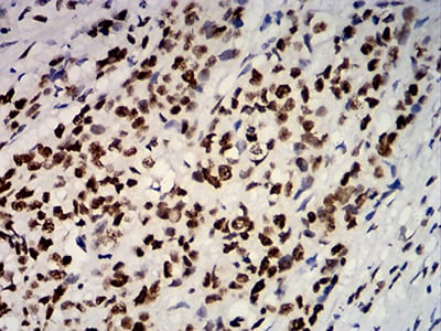
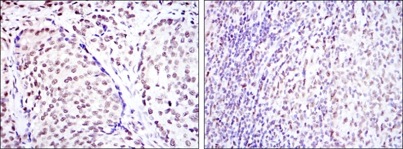
Rabbit Monoclonal NuMA Antibody

中文名:NuMA抗体

Catalog:IPDX17849

Size: 50μl / 100μl

Application: WB IF IHC ICC FCM Elisa

Reactivity:Human,Mouse,Rat

Synonyms:NMP 22; NUMA; NUMA1; SP H antigen;;NUMA1

Type:Primary antibody

Goat Polyclonal Antibody to Mouse IgG (H&L) - HRP

中文名:山羊抗小鼠IgG(H&L)多克隆抗体-HRP

Catalog:IPDX93475

Size: 100ul / 500ul / 1ml

Reactivity:Mouse

Synonyms: Goat Anti-Mouse IgG (H&L)-HRP;Goat Anti Mouse IgG (H&L) HRP

Type:Secondary Antibody

Mouse Monoclonal Antibody to CTSE

中文名:CTSE抗体

Catalog:IPDX07163-A

Size: 50ul / 100ul

GeneID: P14091

Reactivity: Human,Mouse,Rat,Monkey

Synonyms: CATE

Type: Primary antibody

Rabbit Polyclonal Antibody to MCU

中文名:MCU抗体

Catalog:IPDX9240

Size: 50ul / 100ul

GeneID: Q8NE86

Reactivity:Human,Mouse,Rat

Synonyms:C10orf42; CCDC109A; Calcium uniporter protein mitochondrial; Coiled-coil domain-containing protein 109A;CCDC109A

Type:Primary antibody

Recombinant Human ATP5A1 Protein

中文名:重组人线粒体ATP合成酶α亚基(ATP5F1A)

Catalog:PA2000-5685

Size: 20μg / 50μg / 100μg / >100μg

GeneID:P25705

Synonyms:ATP5A; Atp5a1; ATP5AL2; ATPA_HUMAN; ATPM

靶点:ATP5A1

种属:Human

表达宿主:E.coli

标签:GST-tag at N-terminal

Rabbit Monoclonal PKM2 Antibody

中文名:PKM2抗体

Catalog:IPDX17338

Size: 50μl / 100μl

Application: WB IF IHC ICC FCM Elisa

Reactivity:Human,Mouse,Rat

Synonyms:CTHBP; Cytosolic thyroid hormone binding protein; KPYM; OIP 3; Oip3; OIP3; OPA interacting protein 3; p58; PK Muscle type; muscle type; PK2; Pk3; PKM2;PKM

Type:Primary antibody

Rabbit Monoclonal Antibody to CD38

中文名:CD38抗体

Catalog:IPDX9688

Size: 50ul / 100ul

GeneID:P28907

Reactivity:Human,Mouse,Rat

Synonyms:CD38;ADP-ribosyl cyclase 1;Cyclic ADP-ribose hydrolase 1;cADPr hydrolase 1;T10;CD antigen CD38

Type:Primary antibody

Mouse Monoclonal Antibody to EBF1

中文名:EBF1抗体

Catalog:IPDX18341-A

Size: 50ul / 100ul

GeneID:Q9UH73

Reactivity:Human,Mouse,Rat,Rabbit

Synonyms:COE1; EBF; Ebf1; O/E 1; OE1; OLF1;;COE1

Type: Primary antibody

Rabbit Monoclonal EBF1 Antibody

中文名:EBF1抗体

Catalog:IPDX18341

Size: 50μl / 100μl

Application: WB IF IHC ICC FCM Elisa

Reactivity:Human,Mouse,Rat

Synonyms:COE1; EBF; Ebf1; O/E 1; OE1; OLF1;;COE1

Type:Primary antibody

Recombinant Human CYPA

中文名:CYPA重组蛋白

Catalog:PA3000-1091

Size: 50ug / 100ug / 200ug / 1mg

GeneID:P62937

Synonyms:CYPA ;Peptidyl-prolyl cis-trans isomerase A; PPIase A; Cyclophilin A; Cyclosporin A-binding protein; Rotamase A; SP18; PPIA

靶点:CYPA

种属:Human

Mouse Monoclonal Antibody to SAPCD2

中文名:SAPCD2抗体

Catalog:IPDX9565-A

Size: 50ul / 100ul

GeneID: Q86UD0

Reactivity: Human,Mouse

Synonyms: Suppressor APC domain-containing protein 2, Tumor specificity and mitosis phase-dependent expression protein, TS/MDEP, p42.3, SAPCD2, C9orf140

Type: Primary antibody

pTRE-Tight-Luc

中文名:

Catalog:IPDX-80464

Size: