| WB | WB-1:500-2000 |
| IHC-P | IHC-P-1:100-500 |
| IF-tissue | IF-tissue-1:100-500 |
| 免疫原 | KLH conjugated synthetic peptide derived from human PCDH7 431-530/1069 |
| 反应物种 | Human, Mouse |
| 抗体类型 | Rabbit Polyclonal Antibody |
| 偶联 | unconjugated |
| 亚型 | IgG |
| 基因名 | PCDH7 |
| 分子量 | 113 KDa |
| 纯化方式 | Protein A affinity purified |
| 形式 | Liquid |
| 存储缓冲液 | 0.01M TBS(pH7.4) with 1% BSA, 0.03% Proclin300 and 50% Glycerol. |
| 储存 | Store at 4°C short term. Aliquot and store at -20°C long term. Avoid freeze/thaw cycles. |

Primary: Anti- PCDH7 at 1/1000 dilution
Secondary: IRDye800CW Goat Anti-Rabbit IgG at 1/20000 dilution

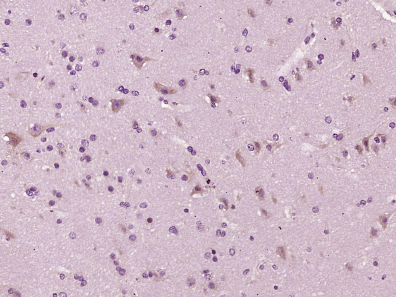
Paraformaldehyde-fixed, paraffin embedded (Human brain glioma); Antigen retrieval by boiling in sodium citrate buffer (pH6.0) for 15min; Block endogenous peroxidase by 3% hydrogen peroxide for 20 minutes; Blocking buffer (normal goat serum) at 37°C for 30min; Antibody incubation with (PCDH7) Polyclonal Antibody, Unconjugated at 1:400 overnight at 4°C, followed by operating according to SP Kit(Rabbit) (sp-0023) instructionsand DAB staining.
×