| 经过测试的应用 | |
| IHC | IHC-1/200 - 1/1000 |
| FCM | FCM-1/200 - 1/400 |
| ELISA | ELISA-1/10000 |
| 反应物种 | Human,Mouse,Rat |
| 抗体类型 | Primary antibody |
| 克隆性 | Monoclonal |
| 宿主 | Mouse IgG1 |
| 基因名 | CCL15 |
| 分子量 | 12.7 kDa |
| 形式 | Liquid |
| 存储缓冲液 | Purified antibody in PBS with 0.05% sodium azide and 50% glycerol. |
| 储存 | Store at 4°C short term. Aliquot and store at -20°C long term. Avoid freeze/thaw cycles. |

Black line: Control Antigen (100 ng); Purple line: Antigen(10ng); Blue line: Antigen (50 ng); Red line: Antigen (100 ng)
Flow cytometric analysis of HepG2 cells using CCL15 mouse mAb (green) and negative control (red)
Immunohistochemical analysis of paraffin-embedded human pancreas tissues using CCL15 mouse mAb with DAB staining
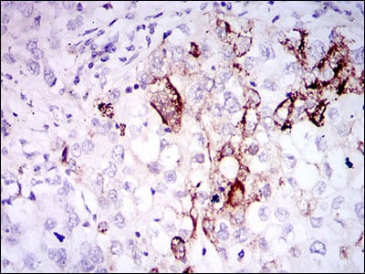
Immunohistochemical analysis of paraffin-embedded human lung cancer tissues using CCL15 mouse mAb with DAB staining
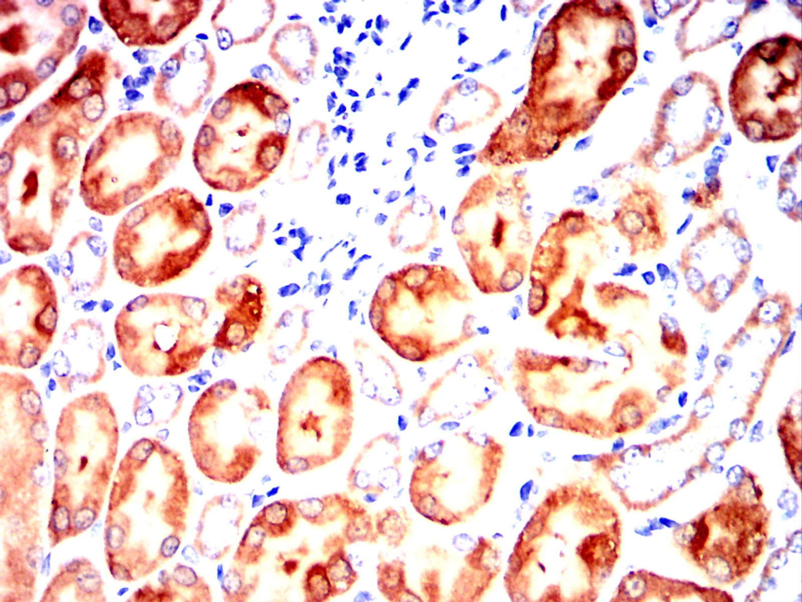
Immunohistochemical analysis of paraffin-embedded Mouse kidney using CCL15 mouse mAb with DAB staining
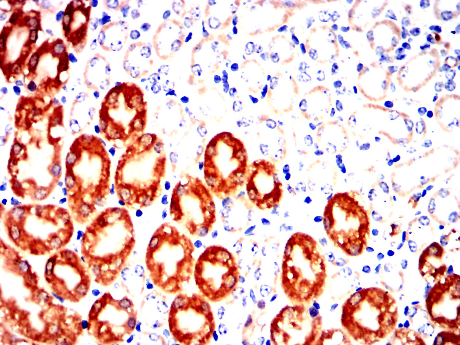
Immunohistochemical analysis of paraffin-embedded Rat kidney using CCL15 mouse mAb with DAB staining
×