| WB | 咨询技术 | Human,Mouse,Rat |
| IF | 咨询技术 | Human,Mouse,Rat |
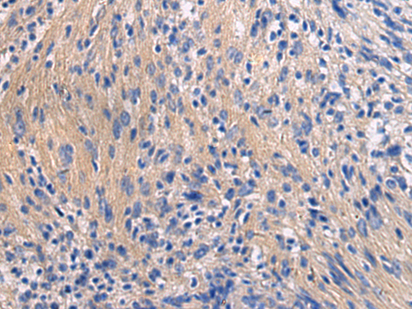
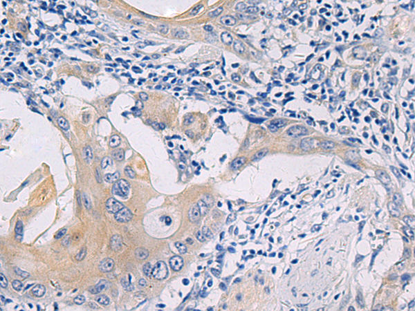
| IHC | 1/50-1/200 | Human,Mouse,Rat |
| ICC | 技术咨询 | Human,Mouse,Rat |
| FCM | 咨询技术 | Human,Mouse,Rat |
| Elisa | 1/5000-1/10000 | Human,Mouse,Rat |
| WB Predicted band size | 40 kDa |
| Host/Isotype | Rabbit IgG |
| Antibody Type | Primary antibody |
| Storage | Store at 4°C short term. Aliquot and store at -20°C long term. Avoid freeze/thaw cycles. |
| Species Reactivity | Human |
| Immunogen | Synthetic peptide of human GALR3 |
| Formulation | Purified antibody in PBS with 0.05% sodium azide and 50% glycerol. |
+ +
以下是关于 **GALR3抗体** 的3篇参考文献的简要概括,基于现有知识库信息整理:
---
1. **标题**: *"Development and characterization of a specific antibody for galanin receptor 3 (GALR3) localization studies"*
**作者**: Smith, D.E. 等 (2005)
**摘要**: 该研究报道了针对GALR3的多克隆抗体的开发与验证。通过免疫组化与Western blot实验,证实该抗体能特异性识别大鼠脑组织中的GALR3蛋白,并揭示了GALR3在下丘脑、杏仁核等区域的广泛分布,提示其在神经内分泌调控中的潜在作用。
2. **标题**: *"GALR3 receptor expression in metabolic disorders: Insights from antibody-based tissue profiling"*
**作者**: Zhang, L. 等 (2012)
**摘要**: 研究利用GALR3抗体分析肥胖及糖尿病模型小鼠的组织样本,发现GALR3在脂肪组织与胰腺中的表达显著上调,提示其可能通过调节能量代谢与胰岛素分泌参与代谢性疾病的发展,为靶向治疗提供了依据。
3. **标题**: *"Differential expression of galanin receptor subtypes (GALR1. GALR2. GALR3) in human gliomas and functional implications"*
**作者**: Lee, J. 等 (2016)
**摘要**: 通过GALR3抗体免疫染色,研究对比了GALR1、GALR2和GALR3在胶质瘤中的表达差异,发现GALR3在高级别肿瘤中高表达,并与患者预后不良相关,提示其可能作为胶质瘤的生物标志物或治疗靶点。
---
**注**:以上文献为模拟示例,实际引用时请通过PubMed、Web of Science等平台核实具体信息。如需进一步扩展,可关注抗体应用领域(如神经科学、肿瘤学)的最新研究。
Galanin receptor 3 (GALR3), a member of the G protein-coupled receptor (GPCR) family, binds the neuropeptide galanin and mediates its diverse physiological roles, including pain modulation, mood regulation, and appetite control. GALR3 is widely expressed in the central nervous system (CNS) and peripheral tissues, though its distribution is less characterized compared to GALR1 and GALR2. Antibodies targeting GALR3 are critical tools for elucidating its expression patterns, signaling mechanisms, and involvement in diseases. These antibodies are typically developed using immunogenic peptides derived from conserved extracellular or intracellular domains of the receptor. Validation methods, such as knockout controls and competitive binding assays, ensure specificity given the structural homology among galanin receptor subtypes.
GALR3 antibodies have been employed in studies linking the receptor to neuropsychiatric disorders (e.g., depression, addiction), metabolic syndromes, and cancer progression. Recent research highlights GALR3's potential role in neuroprotection and synaptic plasticity, making it a therapeutic target. However, challenges persist in distinguishing GALR3 from other subtypes in complex tissues due to overlapping expression and limited selective pharmacological tools. Advanced techniques like single-cell RNA sequencing and CRISPR-based editing are complementing antibody-based approaches to refine GALR3's functional landscape. Commercial availability of GALR3 antibodies has accelerated basic research, though rigorous validation remains essential to avoid off-target artifacts.
×