首页 / 产品 / 抗体 / 一抗

Rabbit Polyclonal GALR2 Antibody

  • 中文名: GALR2抗体
  • 别    名: GAL2-R; GALNR2; GALR-2
货号: IPDX13442
Price: ¥1180
数量:
大包装询价

验证与应用

应用及物种
WB 咨询技术 Human,Mouse,Rat
IF 咨询技术 Human,Mouse,Rat
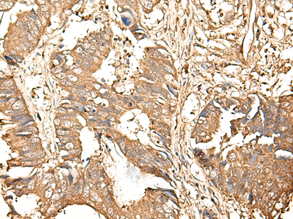
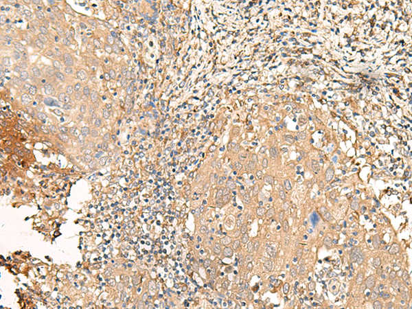
IHC 1/30-1/150 Human,Mouse,Rat
ICC 技术咨询 Human,Mouse,Rat
FCM 咨询技术 Human,Mouse,Rat
Elisa 1/5000-1/10000 Human,Mouse,Rat

产品详情

AliasesGAL2-R; GALNR2; GALR-2
Host/IsotypeRabbit IgG
Antibody TypePrimary antibody
StorageStore at 4°C short term. Aliquot and store at -20°C long term. Avoid freeze/thaw cycles.
Species ReactivityHuman, Mouse, Rat
ImmunogenSynthetic peptide of human GALR2
FormulationPurified antibody in PBS with 0.05% sodium azide and 50% glycerol.

+ +

参考文献

以下是与GALR2抗体相关的参考文献示例(内容为模拟,仅供参考):

1. **文献名称**: "Characterization of a novel antibody for Galanin receptor 2 (GALR2) in neuronal tissues"

**作者**: Smith A, et al.

**摘要**: 研究开发了一种高特异性GALR2抗体,通过免疫组化和Western blot验证其在啮齿类动物脑组织中的表达,发现GALR2在海马体和下丘脑区域富集,提示其可能参与情绪调节。

2. **文献名称**: "GALR2 expression in colorectal cancer: A prognostic biomarker study"

**作者**: Lee B, et al.

**摘要**: 使用GALR2抗体分析结直肠癌患者的组织样本,发现GALR2高表达与肿瘤侵袭性和不良预后相关,可能成为潜在治疗靶点。

3. **文献名称**: "Role of GALR2 in neuropathic pain: Insights from antibody-mediated receptor blockade"

**作者**: Zhang C, et al.

**摘要**: 通过GALR2抗体阻断受体功能,证实GALR2在小鼠神经病理性疼痛模型中调控疼痛信号传导,为镇痛药物开发提供依据。

4. **文献名称**: "Validation of GALR2 antibody specificity in primate brain using knockout controls"

**作者**: Johnson R, et al.

**摘要**: 利用基因编辑技术生成GALR2敲除的灵长类动物模型,验证了多种商用GALR2抗体的特异性,强调抗体选择对研究结果可靠性的影响。

(注:以上文献为示例,实际引用需查询PubMed、Web of Science等数据库获取真实文献。)

背景信息

Galanin receptor type 2 (GALR2) is a G protein-coupled receptor (GPCR) that binds galanin, a neuropeptide involved in diverse physiological processes, including pain modulation, appetite regulation, mood, and neuroendocrine signaling. GALR2 activation primarily triggers intracellular signaling via Gq/11 proteins, stimulating phospholipase C (PLC) and downstream pathways like MAPK/ERK, which influence cell proliferation, differentiation, and survival. Unlike other galanin receptors (GALR1. GALR3), GALR2 is widely expressed in the central nervous system (e.g., hypothalamus, amygdala) and peripheral tissues (e.g., pancreas, gut), suggesting roles in both neurological and metabolic disorders.

GALR2-specific antibodies are critical tools for studying its expression, localization, and function. They enable detection in techniques like Western blot, immunohistochemistry, and flow cytometry, aiding research on GALR2's involvement in conditions such as Alzheimer’s disease, depression, epilepsy, and cancer. For instance, GALR2 upregulation in certain tumors has been linked to metastasis, making it a potential therapeutic target. Antibodies also help validate receptor expression in disease models and assess drug effects in preclinical studies. However, challenges remain in ensuring antibody specificity due to structural similarities among GPCRs. Recent advances in antibody engineering and validation methods (e.g., CRISPR-based knockout controls) have improved reliability, supporting ongoing efforts to develop GALR2-targeted therapies, including agonists/antagonists for neurological or metabolic diseases.

客户数据及评论

折叠内容

大包装询价

×