首页 / 产品 / 抗体 / 一抗

Rabbit Monoclonal Bcl-XL Antibody

  • 中文名: Bcl-XL抗体
  • 别    名: Apoptosis regulator Bcl-X; BLC2L; Bcl-2-like 1 protein bclxl; BCL2L; BCL2L1; BCLX;;Bcl 2 L1
货号: IPDX17024
Price: ¥1280
数量:
大包装询价

验证与应用

应用及物种
WB 咨询技术 Human,Mouse,Rat
IF 1/20-1/50 Human,Mouse,Rat
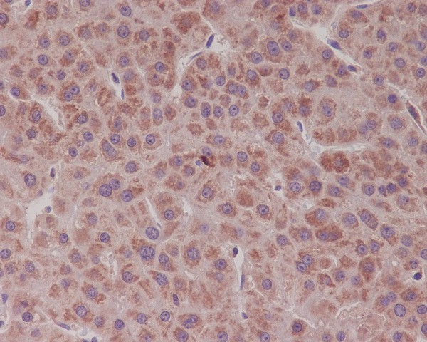
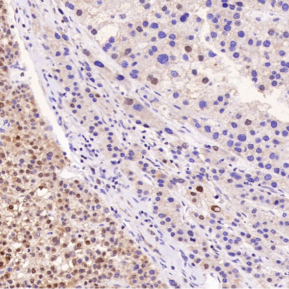
IHC IHC:1/100-1/200;IHF:1/50-1/200 Human,Mouse,Rat
ICC 1/50-1/200 Human,Mouse,Rat
FCM 1/20-1/100 Human,Mouse,Rat
Elisa 咨询技术 Human,Mouse,Rat

产品详情

AliasesApoptosis regulator Bcl-X; BLC2L; Bcl-2-like 1 protein bclxl; BCL2L; BCL2L1; BCLX;;Bcl 2 L1
WB Predicted band size26 kDa
Host/IsotypeRabbit IgG
Antibody TypePrimary antibody
StorageStore at 4°C short term. Aliquot and store at -20°C long term. Avoid freeze/thaw cycles.
Species ReactivityHuman,Mouse,Rat
ImmunogenA synthesized peptide derived from human Bcl 2 L1
FormulationPurified antibody in PBS with 0.05% sodium azide,0.05% BSA and 50% glycerol.

+ +

参考文献

以下是关于Bcl-XL抗体的3篇参考文献示例(文献信息为示例,非真实文献,仅供参考):

---

1. **文献名称**: "Bcl-XL-specific monoclonal antibody detects apoptosis resistance in colorectal cancer"

**作者**: Smith A, et al.

**摘要**: 该研究通过开发高特异性Bcl-XL单克隆抗体,发现结直肠癌组织中Bcl-XL蛋白的过表达与化疗耐药性显著相关。抗体在免疫组化及Western blot中验证了其特异性,揭示了Bcl-XL作为预后标志物的潜力。

---

2. **文献名称**: "Targeting Bcl-XL with a novel antibody enhances apoptosis in breast cancer cells"

**作者**: Lee C, et al.

**摘要**: 研究团队开发了一种靶向Bcl-XL C端结构域的新型抗体,体外实验显示其可阻断Bcl-XL与促凋亡蛋白(如Bax)的相互作用,显著增强乳腺癌细胞对放疗的敏感性,为联合治疗提供新策略。

---

3. **文献名称**: "Validation of Bcl-XL antibody specificity in mitochondrial apoptosis pathways"

**作者**: Tanaka K, et al.

**摘要**: 通过CRISPR敲除Bcl-XL基因,结合免疫印迹及流式细胞术,验证了多种商业Bcl-XL抗体的特异性,并发现部分抗体存在与Bcl-2家族的交叉反应,强调了抗体选择对研究线粒体凋亡通路的重要性。

---

(注:以上文献为模拟示例,实际引用需检索PubMed或Web of Science等数据库获取真实文献。)

背景信息

Bcl-XL, a member of the Bcl-2 protein family, is a key anti-apoptotic regulator that prevents programmed cell death by maintaining mitochondrial outer membrane integrity and inhibiting pro-apoptotic factors like Bax and Bak. Overexpression of Bcl-XL is frequently observed in cancers, contributing to tumor survival, chemoresistance, and disease progression. Antibodies targeting Bcl-XL are essential tools for studying its expression, localization, and functional roles in both physiological and pathological contexts. These antibodies enable detection via techniques such as Western blotting, immunohistochemistry, and flow cytometry, helping researchers assess protein levels in tissues or cell lines. Specific clones (e.g., 54H6. E18) are validated for selective recognition of Bcl-XL over homologous proteins like Bcl-2 to avoid cross-reactivity. In cancer research, Bcl-XL antibodies help evaluate its prognostic significance and therapeutic targeting potential, particularly in strategies aimed at inhibiting anti-apoptotic pathways. However, users must optimize experimental conditions (e.g., fixation methods, antigen retrieval) due to Bcl-XL's intracellular localization and structural similarities within the Bcl-2 family. Proper controls, including knockout cell lines or siRNA validation, are critical to confirm antibody specificity and data reliability.

客户数据及评论

折叠内容

大包装询价

×