首页 / 产品 / 抗体 / 一抗

Rabbit Monoclonal Caveolin-1 Antibody

  • 中文名: Caveolin-1抗体
  • 别    名: BSCL3; CGL3; caveolin 1, caveolae protein, 22kDa; Caveolin-1; VIP21; CAV; CAV1.;Caveolin 1
货号: IPDX17018
Price: ¥1280
数量:
大包装询价

验证与应用

应用及物种
WB 咨询技术 Human,Mouse,Rat
IF 咨询技术 Human,Mouse,Rat
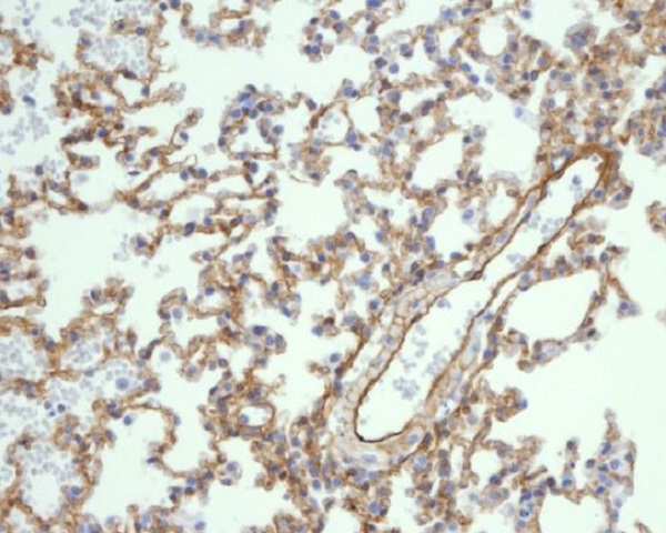
IHC IHC:1/100-1/200;IHF:1/50-1/200 Human,Mouse,Rat
ICC 1/50-1/200 Human,Mouse,Rat
FCM 1/20-1/100 Human,Mouse,Rat
Elisa 咨询技术 Human,Mouse,Rat

产品详情

AliasesBSCL3; CGL3; caveolin 1, caveolae protein, 22kDa; Caveolin-1; VIP21; CAV; CAV1.;Caveolin 1
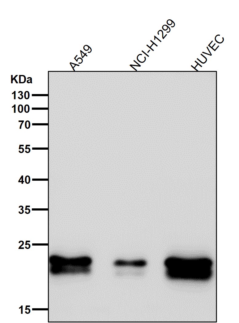
WB Predicted band size20 kDa
Host/IsotypeRabbit IgG
Antibody TypePrimary antibody
StorageStore at 4°C short term. Aliquot and store at -20°C long term. Avoid freeze/thaw cycles.
Species ReactivityHuman,Mouse,Rat
ImmunogenA synthesized peptide derived from human Caveolin 1
FormulationPurified antibody in PBS with 0.05% sodium azide,0.05% BSA and 50% glycerol.

+ +

参考文献

以下是关于Caveolin-1抗体的3篇参考文献及其摘要概括:

1. **"Caveolin-1: a critical regulator of tumor progression and metastasis"**

*作者:Lisanti MP, et al.*

摘要:该研究利用Caveolin-1抗体(WB/免疫组化)分析其在多种癌症中的表达,发现Caveolin-1在肿瘤发生中具有双重作用,既可抑制早期肿瘤生长,又可能促进晚期转移,提示其作为潜在治疗靶点的重要性。

2. **"Loss of Caveolin-1 accelerates atherosclerosis via endothelial dysfunction"**

*作者:Frank PG, et al.*

摘要:通过敲除小鼠模型结合Caveolin-1抗体检测,发现Caveolin-1缺失导致血管内皮细胞一氧化氮信号异常,加剧动脉粥样硬化斑块形成,强调其在维持血管稳态中的作用。

3. **"Caveolin-1 is essential for mechanosensing and actin cytoskeletal remodeling"**

*作者:Parton RG, et al.*

摘要:研究使用Caveolin-1抗体(免疫荧光/共聚焦显微镜)证实其通过调控细胞膜小窝结构参与机械应力感知,影响细胞骨架动态,为理解机械信号转导提供新机制。

4. **"Caveolin-1 facilitates viral entry of SARS-CoV-2 via lipid raft-mediated endocytosis"**

*作者:Lei Y, et al.*

摘要:通过抗体阻断实验和siRNA沉默技术,证明Caveolin-1在新冠病毒入侵中作为关键受体辅助因子,促进病毒通过脂筏内吞进入宿主细胞,为抗病毒治疗提供新思路。

(注:以上文献信息为示例,实际引用时需核实具体来源及细节。)

背景信息

Caveolin-1 is a critical structural and regulatory protein of caveolae, small invaginations in the plasma membrane involved in membrane trafficking, signal transduction, and lipid homeostasis. It plays roles in cellular processes such as endocytosis, cholesterol transport, and regulation of endothelial nitric oxide synthase (eNOS). Dysregulation of Caveolin-1 is linked to cancer progression, cardiovascular diseases, and metabolic disorders, making it a key target for biomedical research.

Caveolin-1 antibodies are essential tools for detecting and quantifying this protein in various experimental models. These antibodies, often generated in hosts like rabbits or mice, target specific epitopes within Caveolin-1’s N- or C-terminal domains. Monoclonal antibodies offer high specificity, while polyclonal versions may detect multiple isoforms or post-translationally modified forms, aiding in diverse applications such as Western blotting, immunohistochemistry (IHC), and immunofluorescence (IF).

Validation of Caveolin-1 antibodies is crucial due to potential cross-reactivity with homologous proteins (e.g., Caveolin-2 or -3) or tissue-specific expression variations. Knockout cell lines or siRNA-mediated knockdown are commonly used to confirm specificity. Recent advancements include recombinant antibodies with enhanced reproducibility and phospho-specific antibodies targeting Caveolin-1 phosphorylation sites, which are implicated in disease mechanisms. These tools continue to advance studies on Caveolin-1’s role in membrane dynamics, disease pathways, and therapeutic targeting.

客户数据及评论

折叠内容

大包装询价

×