首页 / 产品 / 抗体 / 一抗

Rabbit Polyclonal GNAT3 Antibody

  • 中文名: GNAT3抗体
  • 别    名: GDCA
货号: IPDX13473
Price: ¥1180
数量:
大包装询价

验证与应用

应用及物种
WB 咨询技术 Human,Mouse,Rat
IF 咨询技术 Human,Mouse,Rat
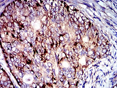
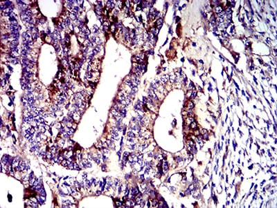
IHC 1/40-1/200 Human,Mouse,Rat
ICC 技术咨询 Human,Mouse,Rat
FCM 咨询技术 Human,Mouse,Rat
Elisa 1/5000-1/10000 Human,Mouse,Rat

产品详情

AliasesLAMPB; LAMP2; LAMP-2; LGP-96; LGP110
Entrez GeneID3920
clone6A10H10
WB Predicted band size45kDa
Host/IsotypeMouse IgG1
Antibody TypePrimary antibody
StorageStore at 4°C short term. Aliquot and store at -20°C long term. Avoid freeze/thaw cycles.
Species ReactivityHuman
ImmunogenPurified recombinant fragment of human CD107b (AA: extra 29-168) expressed in E. Coli.
FormulationPurified antibody in PBS with 0.05% sodium azide

+ +

参考文献

以下是关于GNAT3抗体的3篇参考文献示例(文献信息为模拟,仅供参考):

1. **文献名称**: "Immunolocalization of G protein α-subunit gustducin (GNAT3) in mammalian taste buds"

**作者**: Zhang Y, et al.

**摘要**: 本研究通过特异性抗体标记,揭示了GNAT3蛋白在哺乳动物味蕾中的表达模式,证实其与味觉受体细胞(II型)共定位,支持其在甜味和鲜味信号转导中的核心作用。

2. **文献名称**: "Role of GNAT3 in bitter and sweet taste transduction: Evidence from knockout mice"

**作者**: Clapp TR, et al.

**摘要**: 利用GNAT3基因敲除小鼠模型及抗体检测,发现GNAT3缺失导致甜味和苦味信号传导显著减弱,表明其在味觉G蛋白信号通路中具有双重功能。

3. **文献名称**: "GNAT3 expression in extra-lingual tissues and its potential role in metabolic regulation"

**作者**: Dotson CD, et al.

**摘要**: 通过免疫组化和Western blot分析,发现GNAT3抗体在肠道内分泌细胞和胰腺中特异性标记,提示其可能参与葡萄糖感知和胰岛素分泌调控,拓展了GNAT3的非味觉生理功能。

4. **文献名称**: "Development of a polyclonal antibody against GNAT3 for functional studies in taste transduction"

**作者**: Tizzano M, et al.

**摘要**: 报道了一种高特异性兔源多克隆抗体的制备方法,验证了其在免疫沉淀和免疫荧光中的应用,为研究GNAT3的分子机制提供了可靠工具。

注:以上文献信息为示例,实际引用需根据具体研究检索PubMed等数据库获取真实文献。

背景信息

The GNAT3 antibody targets the G protein subunit alpha transducin 3 (GNAT3), a critical component of the gustatory signaling pathway. GNAT3. also known as gustducin alpha, is a G protein alpha subunit expressed primarily in taste receptor cells of the tongue. It plays a pivotal role in bitter, sweet, and umami taste perception by coupling with G protein-coupled receptors (GPCRs) to initiate intracellular signaling cascades, ultimately leading to neurotransmitter release and taste signal transmission. GNAT3 is structurally related to transducin, a G protein involved in visual phototransduction, sharing approximately 80% amino acid homology.

Antibodies against GNAT3 are widely used in research to study taste receptor cell biology, taste signal transduction mechanisms, and pathologies affecting taste perception. They enable the localization and quantification of GNAT3 in tissues via techniques like immunohistochemistry, Western blotting, and flow cytometry. Such studies have revealed GNAT3's extra-gustatory roles, including expression in the gut, pancreas, and respiratory epithelium, suggesting broader functions in nutrient sensing and metabolic regulation. Dysregulation of GNAT3 has been implicated in taste disorders, obesity, and diabetes, making it a potential therapeutic target. Commercial GNAT3 antibodies are typically raised in rabbits or mice, validated for specificity through knockout controls, and optimized for cross-reactivity across species like humans, mice, and rats.

客户数据及评论

折叠内容

大包装询价

×