首页 / 产品 / 抗体 / 一抗

Rabbit Polyclonal SLC6A9 Antibody

  • 中文名: SLC6A9抗体
  • 别    名: GLYT1; GCENSG
货号: IPDX13470
Price: ¥1180
数量:
大包装询价

验证与应用

应用及物种
WB 咨询技术 Human,Mouse,Rat
IF 咨询技术 Human,Mouse,Rat
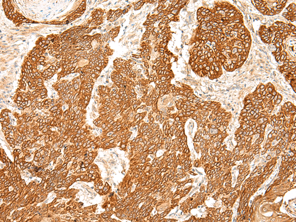
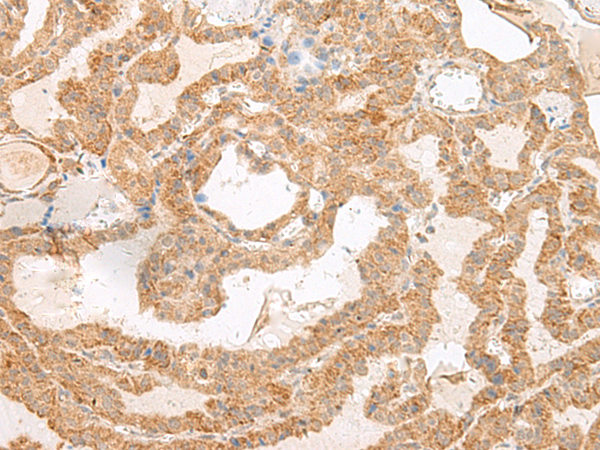
IHC 1/50-1/300 Human,Mouse,Rat
ICC 技术咨询 Human,Mouse,Rat
FCM 咨询技术 Human,Mouse,Rat
Elisa 1/5000-1/10000 Human,Mouse,Rat

产品详情

AliasesGLYT1; GCENSG
Host/IsotypeRabbit IgG
Antibody TypePrimary antibody
StorageStore at 4°C short term. Aliquot and store at -20°C long term. Avoid freeze/thaw cycles.
Species ReactivityHuman, Mouse, Rat
ImmunogenSynthetic peptide of human SLC6A9
FormulationPurified antibody in PBS with 0.05% sodium azide and 50% glycerol.

+ +

参考文献

以下是关于SLC6A9抗体的3篇参考文献的简要信息:

---

1. **文献名称**: *"Glycine transporter 1 (GlyT1) regulates glutamatergic neurotransmission in the thalamus"*

**作者**: Eulenburg, V., et al.

**摘要**: 本研究利用特异性SLC6A9抗体,通过免疫组化和Western blot技术,揭示了GlyT1在小鼠丘脑中的表达模式,并证明其通过调节甘氨酸浓度影响NMDA受体活性,为神经递质平衡机制提供了新见解。

---

2. **文献名称**: *"Altered expression of glycine transporter 1 in the prefrontal cortex in schizophrenia"*

**作者**: Balu, D.T., et al.

**摘要**: 通过SLC6A9抗体对精神分裂症患者及对照组的尸检前额叶皮层分析,发现患者GlyT1蛋白水平显著升高,提示GlyT1异常可能与疾病病理相关,为靶向治疗提供了依据。

---

3. **文献名称**: *"Generation and characterization of a monoclonal antibody specific for the glycine transporter 1 (SLC6A9)"*

**作者**: Moriyama, N., et al.

**摘要**: 本文报道了一种新型SLC6A9单克隆抗体的开发与验证,通过敲除细胞模型证实其高特异性,适用于免疫沉淀及免疫荧光实验,为GlyT1功能研究提供了可靠工具。

---

这些研究涵盖了SLC6A9抗体在神经科学、疾病机制及实验工具开发中的应用。如需扩展,可进一步检索近年文献或特定技术场景下的研究。

背景信息

The solute carrier family 6 member 9 (SLC6A9) gene encodes glycine transporter 1 (GlyT1), a sodium- and chloride-dependent transmembrane protein primarily expressed in astrocytes and certain neurons of the central nervous system. GlyT1 regulates synaptic glycine levels by mediating its reuptake from extracellular spaces, thereby modulating neurotransmission through NMDA receptors and glycinergic inhibitory pathways. Dysregulation of GlyT1 has been implicated in neurological and psychiatric disorders, including schizophrenia, neuropathic pain, and cognitive deficits.

SLC6A9 antibodies are critical tools for studying GlyT1 expression, localization, and function in both physiological and pathological contexts. These antibodies are widely used in techniques such as Western blotting, immunohistochemistry, and immunofluorescence to visualize GlyT1 distribution in brain tissues or cultured cells. Species-specific variants (e.g., human, mouse, rat) enable cross-species research, while recombinant protein validation ensures target specificity. Commercially available SLC6A9 antibodies are often monoclonal or polyclonal, with applications in neurodegenerative disease research, drug development (e.g., GlyT1 inhibitors as potential antipsychotics), and biomarker discovery. Recent studies also explore GlyT1's role in tumor microenvironments, expanding its relevance beyond neuroscience. Validation via knockout controls or siRNA knockdown is essential to confirm antibody reliability in experimental models.

客户数据及评论

折叠内容

大包装询价

×