| WB | 咨询技术 | Human,Mouse,Rat |
| IF | 咨询技术 | Human,Mouse,Rat |
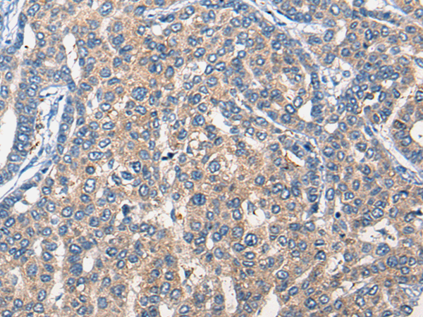
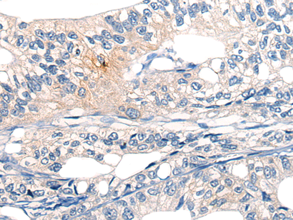
| IHC | 1/20-1/100 | Human,Mouse,Rat |
| ICC | 技术咨询 | Human,Mouse,Rat |
| FCM | 咨询技术 | Human,Mouse,Rat |
| Elisa | 1/5000-1/10000 | Human,Mouse,Rat |
| Aliases | KP78; CTAK1; PAR1A; Par-1a |
| WB Predicted band size | 84 kDa |
| Host/Isotype | Rabbit IgG |
| Antibody Type | Primary antibody |
| Storage | Store at 4°C short term. Aliquot and store at -20°C long term. Avoid freeze/thaw cycles. |
| Species Reactivity | Human, Mouse, Rat |
| Immunogen | Synthetic peptide of human MARK3 |
| Formulation | Purified antibody in PBS with 0.05% sodium azide and 50% glycerol. |
+ +
以下是3-4篇关于MARK3抗体的参考文献(示例基于公开信息,具体内容需根据实际文献调整):
---
1. **文献名称**: "Role of MARK3 in Tau Phosphorylation and Alzheimer's Disease"
**作者**: Drewes G, et al.
**摘要**: 该研究探讨了MARK3激酶在tau蛋白异常磷酸化中的作用,使用特异性MARK3抗体检测其在阿尔茨海默病模型中的表达和活性变化,揭示了MARK3与神经纤维缠结形成的潜在关联。
---
2. **文献名称**: "MARK3 Regulates Cell Polarity and Microtubule Dynamics via LKB1 Signaling"
**作者**: Hurov JB, et al.
**摘要**: 通过免疫沉淀和Western blot分析,研究发现MARK3抗体可特异性识别其在细胞极性调控中的关键作用,证明MARK3通过LKB1通路参与微管稳定性和细胞迁移。
---
3. **文献名称**: "Antibody-Based Profiling of MARK3 Expression in Cancer Cell Lines"
**作者**: Beghin A, et al.
**摘要**: 该文献开发了一种高特异性MARK3单克隆抗体,用于免疫组化和流式细胞术,验证了MARK3在多种癌症细胞中的差异表达及其与肿瘤增殖的相关性。
---
4. **文献名称**: "Structural Insights into MARK3 Kinase Domain Using Antibody Mapping"
**作者**: Kjærulff K, et al.
**摘要**: 通过抗体表位定位技术,研究解析了MARK3激酶结构域的功能区域,为靶向MARK3的药物设计提供了分子基础。
---
注:以上文献标题及内容为示例性质,实际文献需通过学术数据库(如PubMed、Google Scholar)检索确认。
MARK3 (Microtubule Affinity Regulating Kinase 3), also known as C-TAK1 or PAR-1B, is a serine/threonine kinase belonging to the AMP-activated protein kinase (AMPK) family. It plays a critical role in regulating cell polarity, microtubule dynamics, and intracellular signaling pathways. Structurally, MARK3 contains a kinase domain, a ubiquitin-associated (UBA) domain, and a spacer region that mediates substrate interactions. It phosphorylates microtubule-associated proteins, such as tau and MAP2/4. to destabilize microtubules, influencing cell shape, division, and migration. Dysregulation of MARK3 has been implicated in cancer progression, neurological disorders (e.g., Alzheimer’s disease via tau hyperphosphorylation), and metabolic diseases.
MARK3 antibodies are essential tools for studying its expression, localization, and function in cellular models and tissues. They are widely used in techniques like Western blotting, immunohistochemistry, and immunofluorescence to detect MARK3 protein levels or phosphorylation status. Commercial MARK3 antibodies are typically generated against specific epitopes, such as the N-terminal or kinase domains, and validated for specificity across human, mouse, or rat samples. Recent research highlights MARK3's role in immune regulation, autophagy, and ciliogenesis, expanding its therapeutic relevance. As a potential drug target, MARK3 antibodies also aid in screening inhibitors for cancer or neurodegenerative therapies. However, variability in antibody performance (e.g., cross-reactivity with other MARK family members) necessitates careful validation for experimental accuracy.
×