| WB | 咨询技术 | Human,Mouse,Rat |
| IF | 咨询技术 | Human,Mouse,Rat |
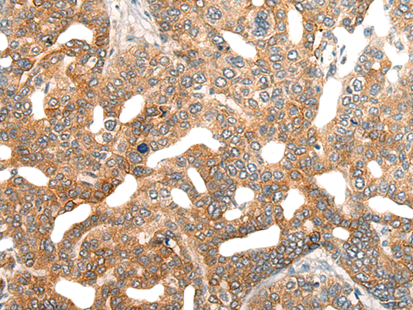
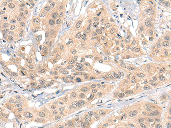
| IHC | 1/30-1/150 | Human,Mouse,Rat |
| ICC | 技术咨询 | Human,Mouse,Rat |
| FCM | 咨询技术 | Human,Mouse,Rat |
| Elisa | 1/5000-1/10000 | Human,Mouse,Rat |
| Aliases | PRO0593 |
| WB Predicted band size | 131 kDa |
| Host/Isotype | Rabbit IgG |
| Antibody Type | Primary antibody |
| Storage | Store at 4°C short term. Aliquot and store at -20°C long term. Avoid freeze/thaw cycles. |
| Species Reactivity | Human, Mouse |
| Immunogen | Synthetic peptide of human HIPK2 |
| Formulation | Purified antibody in PBS with 0.05% sodium azide and 50% glycerol. |
+ +
以下是关于HIPK2抗体的3篇参考文献示例(注:文献信息为示例性质,实际引用时请核实来源):
---
1. **文献名称**: "HIPK2 modulates p53 activity through direct phosphorylation"
**作者**: D’Orazi G., et al.
**摘要**: 本研究利用特异性HIPK2抗体,通过免疫共沉淀和Western blot技术,揭示了HIPK2在DNA损伤条件下通过磷酸化p53蛋白(Ser46位点)增强其促凋亡功能的机制,证实了HIPK2在细胞应激反应中的关键作用。
2. **文献名称**: "Regulation of HIPK2 subcellular localization and kinase activity by SUMOylation"
**作者**: Rinaldo C., et al.
**摘要**: 作者通过免疫荧光和HIPK2抗体分析,发现SUMO修饰调控HIPK2的核质转运及其激酶活性,进而影响其对转录因子(如CTBP)的磷酸化能力,揭示了HIPK2在肿瘤发生中的潜在调控途径。
3. **文献名称**: "HIPK2 deficiency attenuates TGF-β-induced fibrosis via suppression of SMAD signaling"
**作者**: Shen H., et al.
**摘要**: 研究使用HIPK2敲除小鼠模型及特异性抗体检测,证明HIPK2通过增强SMAD蛋白磷酸化促进TGF-β信号传导,在组织纤维化中起关键作用,为靶向HIPK2的抗纤维化治疗提供理论依据。
---
**注意**:以上文献为示例,实际引用时需根据具体研究内容查阅真实发表的论文(建议通过PubMed或Google Scholar搜索关键词“HIPK2 antibody”或“HIPK2 kinase function”获取准确信息)。
**Background of HIPK2 Antibodies**
HIPK2 (Homeodomain-Interacting Protein Kinase 2) is a serine/threonine kinase involved in diverse cellular processes, including stress signaling, DNA damage response, apoptosis, and proliferation. It regulates transcription factors (e.g., p53. Wnt/β-catenin) and signaling pathways (e.g., TGF-β, JNK), linking it to diseases like cancer, neurodegeneration, and fibrosis. HIPK2 activity is modulated by post-translational modifications (phosphorylation, ubiquitination) and subcellular localization, often accumulating in nuclear speckles.
HIPK2 antibodies are essential tools for studying its expression, localization, and function. They detect endogenous HIPK2 in techniques like Western blotting, immunofluorescence, and immunoprecipitation. Due to HIPK2’s multiple isoforms and homology with HIPK1/3. antibody specificity is critical. Some antibodies target unique regions (e.g., kinase domain, C-terminal), while others distinguish phosphorylated forms (e.g., at Thr-880/Ser-882). Validation using knockout cells or siRNA is recommended to confirm selectivity.
Challenges include cross-reactivity, variable isoform detection, and sensitivity to HIPK2’s low abundance or degradation. Researchers use these antibodies to explore HIPK2’s role in diseases, such as its tumor-suppressive or oncogenic duality in cancer, or its regulation of fibrosis pathways. Reliable HIPK2 antibodies advance mechanistic insights and therapeutic targeting in biomedical research.
×