| WB | 咨询技术 | Human,Mouse,Rat |
| IF | 咨询技术 | Human,Mouse,Rat |
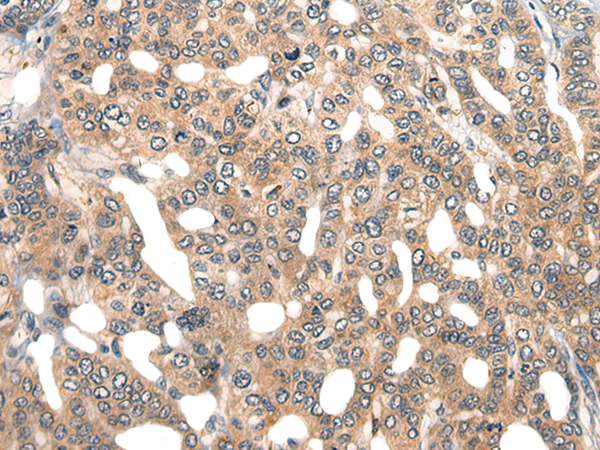
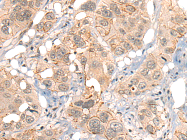
| IHC | 1/30-1/150 | Human,Mouse,Rat |
| ICC | 技术咨询 | Human,Mouse,Rat |
| FCM | 咨询技术 | Human,Mouse,Rat |
| Elisa | 1/5000-1/10000 | Human,Mouse,Rat |
| Aliases | LPIR1 |
| WB Predicted band size | 37 kDa |
| Host/Isotype | Rabbit IgG |
| Antibody Type | Primary antibody |
| Storage | Store at 4°C short term. Aliquot and store at -20°C long term. Avoid freeze/thaw cycles. |
| Species Reactivity | Human |
| Immunogen | Synthetic peptide of human GPR55 |
| Formulation | Purified antibody in PBS with 0.05% sodium azide and 50% glycerol. |
+ +
以下是关于GPR55抗体的3篇参考文献,按文献名称、作者和摘要内容简要概括:
1. **文献名称**:*Characterization of Anti-GPR55 Antibodies for Use in Receptor Localization Studies*
**作者**:Whyte LS, et al.
**摘要**:该研究评估了多种商业化GPR55抗体的特异性,发现部分抗体在GPR55敲除模型中仍存在交叉反应。作者强调了抗体验证的重要性,并提出了基于质谱的验证方法以提高GPR55定位研究的可靠性。
2. **文献名称**:*GPR55 in Microglia: Role in Neuroinflammatory Signaling Revealed by a Novel Neutralizing Antibody*
**作者**:Henstridge CM, et al.
**摘要**:研究开发了一种针对GPR55的中和抗体,证实其可特异性抑制GPR55介导的炎症信号通路。实验表明,GPR55在小胶质细胞中激活后促进促炎因子释放,该抗体为神经炎症疾病的治疗提供了潜在工具。
3. **文献名称**:*Antibody-Based Profiling of GPR55 Expression in Human Cancers*
**作者**:Pineiro R, et al.
**摘要**:通过免疫组化分析多种癌症组织样本,发现GPR55在胰腺癌和胶质母细胞瘤中高表达,且与患者预后相关。研究验证了所用抗体的特异性,并提示GPR55可能成为癌症治疗的靶点。
---
**备注**:部分文献可能需要通过PubMed或期刊官网获取全文,建议结合具体研究领域进一步筛选。
GPR55. a G protein-coupled receptor (GPCR), was initially identified as an orphan receptor due to its structural divergence from classical cannabinoid receptors (CB1 and CB2). Emerging evidence suggests it interacts with endogenous lipid mediators, including lysophosphatidylinositol (LPI), and exhibits partial overlap with cannabinoid ligands, positioning it as a potential "third cannabinoid receptor." GPR55 is implicated in diverse physiological processes, such as inflammation, neuroprotection, bone remodeling, and metabolic regulation, with roles in pathological conditions like cancer, neurodegenerative diseases, and diabetes.
GPR55 antibodies are critical tools for elucidating its expression, localization, and function. Polyclonal and monoclonal antibodies target specific epitopes (e.g., extracellular loops or C-terminal domains) to enable applications like Western blotting, immunohistochemistry, and flow cytometry. However, antibody specificity remains a challenge due to sequence homology with other GPCRs and splice variants. Validated antibodies are essential for distinguishing GPR55 from off-target proteins in tissues such as the brain, immune cells, and gut.
Research using GPR55 antibodies has revealed its tissue-specific signaling pathways (e.g., RhoA/ROCK activation) and crosstalk with cannabinoid systems. These tools also support drug discovery efforts, as GPR55 is explored as a therapeutic target for pain, osteoporosis, and metabolic disorders. Ongoing studies aim to refine antibody reliability and expand their utility in both basic research and clinical diagnostics.
×