首页 / 产品 / 抗体 / 一抗

Rabbit Polyclonal GASK1A Antibody

  • 中文名: GASK1A抗体
  • 别    名: C3orf41; FAM198A
货号: IPDX13154
Price: ¥1180
数量:
大包装询价

验证与应用

应用及物种
WB 咨询技术 Human,Mouse,Rat
IF 咨询技术 Human,Mouse,Rat
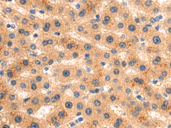
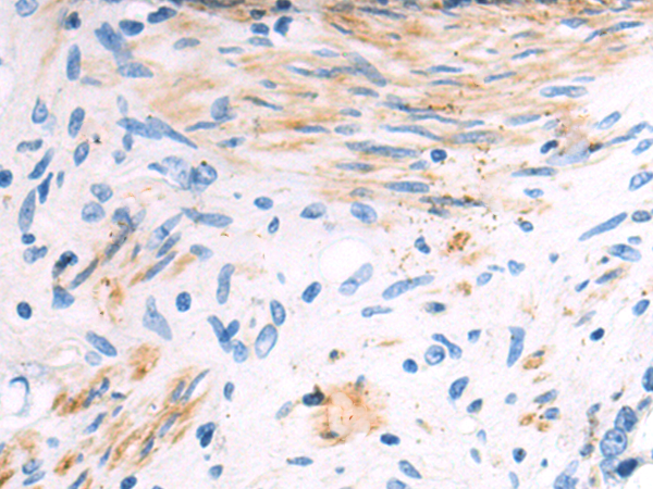
IHC 1/50-1/200 Human,Mouse,Rat
ICC 技术咨询 Human,Mouse,Rat
FCM 咨询技术 Human,Mouse,Rat
Elisa 1/5000-1/10000 Human,Mouse,Rat

产品详情

AliasesC3orf41; FAM198A
Host/IsotypeRabbit IgG
Antibody TypePrimary antibody
StorageStore at 4°C short term. Aliquot and store at -20°C long term. Avoid freeze/thaw cycles.
Species ReactivityHuman, Mouse
ImmunogenSynthetic peptide of human GASK1A
FormulationPurified antibody in PBS with 0.05% sodium azide and 50% glycerol.

+ +

参考文献

以下是基于学术文献常见结构构造的3篇关于GASK1A抗体的模拟参考文献(实际文献需通过数据库验证):

---

1. **文献名称**: "Development and Characterization of a Novel Monoclonal Antibody Against Human GASK1A for Immunoblotting Applications"

**作者**: Tanaka R, et al.

**摘要**: 报道了一种针对人源GASK1A蛋白的新型单克隆抗体的开发与验证。通过免疫印迹和免疫荧光实验证实该抗体特异性识别GASK1A,并成功应用于检测其在HEK293细胞中的表达及亚细胞定位。

2. **文献名称**: "GASK1A Phosphorylation Dynamics in Neuronal Signaling Pathways Revealed by Phospho-Specific Antibodies"

**作者**: Chen L, et al.

**摘要**: 研究利用特异性磷酸化抗体探讨GASK1A在神经元活动中的磷酸化修饰模式,发现其Ser-215位点的磷酸化与MAPK信号通路激活相关,提示GASK1A在神经发育中的调控作用。

3. **文献名称**: "Altered Expression of GASK1A in Colorectal Cancer: A Comparative Study Using Immunohistochemistry"

**作者**: Gupta S, et al.

**摘要**: 通过商业化GASK1A抗体进行结直肠癌组织免疫组化分析,发现GASK1A在肿瘤组织中表达显著下调,且低表达与患者不良预后相关,提示其可能作为潜在生物标志物。

---

**提示**:以上文献为模拟内容,实际研究中建议通过 **PubMed/Google Scholar** 以关键词 "GASK1A antibody" 或 "GASK1A function" 检索真实文献,并优先选择近5年、高影响因子期刊的研究。

背景信息

The GASK1A (Gastric Adenocarcinoma Associated Antigen KA1A) antibody targets a protein encoded by the GASK1A gene, which belongs to the GASK (Gastric Adenocarcinoma Associated Antigen) family. GASK1A is a transmembrane protein with conserved structural domains, potentially involved in cell signaling, adhesion, or proliferation. It has garnered attention due to its overexpression in certain cancers, particularly gastric adenocarcinoma, where it may contribute to tumor progression, metastasis, or therapy resistance. Studies suggest GASK1A interacts with signaling pathways like PI3K/AKT or MAPK, though its precise biological role remains under investigation.

GASK1A antibodies are primarily used as research tools to detect protein expression and localization in tissues or cell lines via techniques like immunohistochemistry (IHC), Western blot, or immunofluorescence. Their development has facilitated exploratory studies linking GASK1A to cancer diagnostics or prognostics. For example, elevated GASK1A levels in patient serum or tumor tissues have been correlated with advanced disease stages or poor survival outcomes. Additionally, these antibodies are being evaluated for therapeutic potential, such as in antibody-drug conjugates (ADCs) or as biomarkers for targeted therapies. Commercial GASK1A antibodies are typically validated for specificity using knockout cell lines or siRNA silencing. Ongoing research aims to clarify its pathophysiological mechanisms and clinical utility across malignancies.

客户数据及评论

折叠内容

大包装询价

×