| WB | 咨询技术 | Human,Mouse,Rat |
| IF | 咨询技术 | Human,Mouse,Rat |
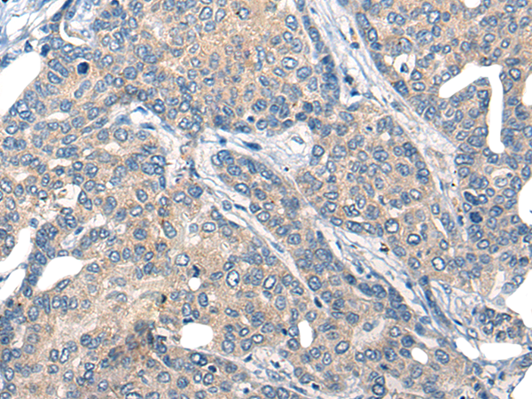
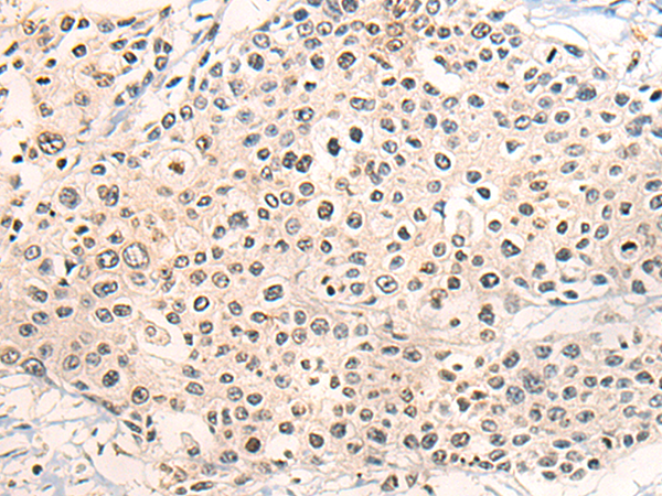
| IHC | 1/20-1/100 | Human,Mouse,Rat |
| ICC | 技术咨询 | Human,Mouse,Rat |
| FCM | 咨询技术 | Human,Mouse,Rat |
| Elisa | 1/5000-1/10000 | Human,Mouse,Rat |
| Aliases | LC3B; ATG8F; MAP1LC3B-a; MAP1A/1BLC3 |
| WB Predicted band size | 15 kDa |
| Host/Isotype | Rabbit IgG |
| Antibody Type | Primary antibody |
| Storage | Store at 4°C short term. Aliquot and store at -20°C long term. Avoid freeze/thaw cycles. |
| Species Reactivity | Human, Mouse, Rat |
| Immunogen | Synthetic peptide of human MAP1LC3B |
| Formulation | Purified antibody in PBS with 0.05% sodium azide and 50% glycerol. |
+ +
以下是关于MAP1LC3B抗体的3篇代表性文献及其摘要概述:
---
1. **《Guidelines for the use and interpretation of assays for monitoring autophagy》**
**作者**: Klionsky DJ et al.
**摘要**: 该指南系统总结了自噬研究的标准化方法,特别强调了MAP1LC3B(LC3B)抗体在免疫印迹和免疫荧光中的应用,包括LC3B-II/I比值作为自噬体形成的标志物,并提醒需结合溶酶体抑制剂(如氯喹)避免假阳性结果。
2. **《In vivo analysis of autophagy in response to nutrient starvation using transgenic mice expressing a fluorescent autophagosome marker》**
**作者**: Mizushima N et al.
**摘要**: 研究者通过构建GFP-LC3转基因小鼠模型,结合LC3B抗体验证自噬体形成。结果表明,饥饿状态下LC3B的脂化形式(LC3B-II)显著增加,抗体检测与荧光标记结果一致,为体内自噬研究提供了双重验证方法。
3. **《LC3 and Autophagy》**
**作者**: Tanida I, Ueno T, Kominami E
**摘要**: 本文详细探讨了LC3蛋白家族(包括LC3B)的结构功能,比较了不同商业抗体的特异性,强调通过免疫印迹检测LC3B-II转化及点状荧光聚集是评估自噬活性的金标准,同时需注意抗体交叉反应性导致的假信号。
---
**备选文献**:
4. **《The role of autophagy in cancer development and response to therapy》**
**作者**: Amaravadi RK et al.
**摘要**: 综述了LC3B抗体在肿瘤自噬研究中的关键作用,包括临床前模型中通过LC3B-II水平评估自噬与化疗/放疗的关联,并讨论了抗体选择对实验结果可重复性的影响。
以上文献为LC3B抗体的应用和验证提供了方法论参考及注意事项。
The MAP1LC3B (microtubule-associated protein 1 light chain 3 beta) antibody is a key tool for studying autophagy, a cellular self-degradation process critical for maintaining homeostasis. MAP1LC3B, commonly referred to as LC3B, is a mammalian homolog of yeast Atg8 and plays a central role in autophagosome formation. During autophagy, cytosolic LC3B (LC3-I) is conjugated to phosphatidylethanolamine to form LC3-II, which integrates into autophagosomal membranes. Antibodies targeting LC3B are widely used to detect and quantify autophagic activity by distinguishing between these isoforms via Western blotting or visualizing autophagosome puncta via immunofluorescence.
LC3B antibodies are essential in both basic and translational research, particularly in cancer, neurodegeneration, and infectious diseases, where autophagy dysregulation is implicated. Commercial LC3B antibodies are typically raised against synthetic peptides or recombinant proteins, with reactivity validated across species like human, mouse, and rat. Researchers often pair LC3B detection with lysosomal inhibitors (e.g., chloroquine) to assess autophagic flux, as LC3-II accumulation alone may reflect either induction or blockade of autophagy.
While widely used, interpretation requires caution due to potential cross-reactivity with other LC3 isoforms or non-specific signals. Optimal results depend on proper sample preparation, including avoiding excessive protease activity. Despite limitations, LC3B remains a gold-standard marker, and its antibodies are indispensable for elucidating autophagy mechanisms and therapeutic targeting.
×