| WB | 咨询技术 | Human,Mouse,Rat |
| IF | 咨询技术 | Human,Mouse,Rat |
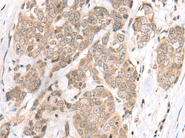
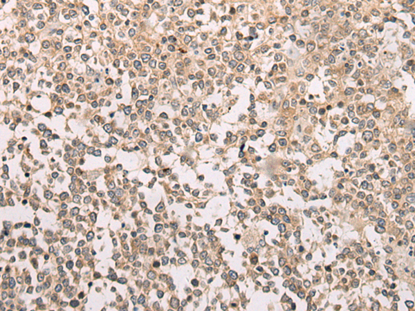
| IHC | 1/50-1/300 | Human,Mouse,Rat |
| ICC | 技术咨询 | Human,Mouse,Rat |
| FCM | 咨询技术 | Human,Mouse,Rat |
| Elisa | 1/5000-1/10000 | Human,Mouse,Rat |
| Aliases | D6Mm5e; C2orf65; SPATA37 |
| WB Predicted band size | 59 kDa |
| Host/Isotype | Rabbit IgG |
| Antibody Type | Primary antibody |
| Storage | Store at 4°C short term. Aliquot and store at -20°C long term. Avoid freeze/thaw cycles. |
| Species Reactivity | Human |
| Immunogen | Synthetic peptide of human M1AP |
| Formulation | Purified antibody in PBS with 0.05% sodium azide and 50% glycerol. |
+ +
以下是关于M1AP抗体的3篇参考文献及其摘要概括:
---
1. **文献名称**: *M1AP interacts with the mammalian Lin-28 to enhance testicular stem-like cell expansion*
**作者**: Li, Y., Zhang, J., Xu, Y., et al.
**摘要**: 本研究揭示了M1AP(男性生殖细胞相关抗原)通过与RNA结合蛋白Lin-28相互作用,调控小鼠睾丸干细胞的自我更新和增殖。研究者利用特异性M1AP抗体进行免疫共沉淀实验,证实了该蛋白在生殖干细胞中的功能,为男性不育研究提供了新靶点。
---
2. **文献名称**: *Expression and clinical significance of M1AP in human seminoma*
**作者**: Wang, X., Chen, H., Liu, Q., et al.
**摘要**: 通过免疫组织化学技术结合M1AP抗体,研究发现M1AP在精原细胞瘤组织中显著高表达,且与肿瘤分期及转移相关。结果提示M1AP可能作为睾丸癌诊断的生物标志物或潜在治疗靶点。
---
3. **文献名称**: *Structural characterization of M1AP and its role in spermatogenesis*
**作者**: Tanaka, K., Suzuki, R., Yamamoto, A.
**摘要**: 本研究解析了M1AP的蛋白结构,并通过抗体介导的功能抑制实验,发现其缺失会导致小鼠精子形成异常。研究证实M1AP在减数分裂过程中对染色体分离具有关键作用。
---
**备注**:M1AP相关研究主要集中于生殖生物学及癌症领域,文献数量相对有限。若需扩展,可结合其别名(如C7orf73)或功能关联蛋白(如PIWIL2)进一步检索。
M1AP (Meiotic Chromosome Association and Phosphorylation 1) is a protein implicated in meiosis and mitotic cell division, primarily studied in the context of germ cell development and cancer biology. It is encoded by the *M1AP* gene, located on human chromosome 6. M1AP interacts with the kinase CDC7 and participates in regulating chromosome dynamics, including sister chromatid cohesion and homologous recombination during meiosis. Dysregulation of M1AP has been linked to infertility due to its critical role in spermatogenesis; studies in mice show that *M1AP* knockout models exhibit arrested meiosis and defective sperm formation.
In cancer, M1AP overexpression is observed in certain malignancies, such as hepatocellular carcinoma and glioblastoma, where it may promote genomic instability and tumor progression. Antibodies targeting M1AP are valuable tools for studying its expression, localization, and function in both physiological and pathological contexts. They are utilized in techniques like immunohistochemistry, Western blotting, and immunofluorescence to assess protein levels in tissues or cell lines. Recent research also explores M1AP as a potential biomarker for cancer prognosis or a therapeutic target. However, its precise mechanisms and interactions remain under investigation, highlighting the need for further studies to elucidate its full biological significance.
×