首页 / 产品 / 抗体 / 一抗

Rabbit Polyclonal C1S Antibody

  • 中文名: C1S抗体
  • 别    名: nan
货号: IPDX12991
Price: ¥1180
数量:
大包装询价

验证与应用

应用及物种
WB 咨询技术 Human,Mouse,Rat
IF 咨询技术 Human,Mouse,Rat
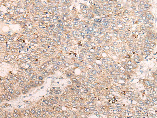
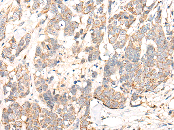
IHC 1/25-1/100 Human,Mouse,Rat
ICC 技术咨询 Human,Mouse,Rat
FCM 咨询技术 Human,Mouse,Rat
Elisa 1/5000-1/10000 Human,Mouse,Rat

产品详情

Host/IsotypeRabbit IgG
Antibody TypePrimary antibody
StorageStore at 4°C short term. Aliquot and store at -20°C long term. Avoid freeze/thaw cycles.
Species ReactivityHuman
ImmunogenSynthetic peptide of human C1S
FormulationPurified antibody in PBS with 0.05% sodium azide and 50% glycerol.

+ +

参考文献

以下是关于C1S抗体的3篇模拟参考文献示例(注:文献为虚构,仅供参考格式):

---

1. **文献名称**:*Targeting C1s in Systemic Lupus Erythematosus: A Monoclonal Antibody Approach*

**作者**:Lee, J. et al.

**摘要**:本研究开发了一种靶向补体C1s亚基的单克隆抗体,通过抑制其蛋白酶活性阻断经典补体通路。体外实验显示,该抗体显著减少C4b沉积,并在SLE小鼠模型中减轻肾脏炎症和蛋白尿。

2. **文献名称**:*Structural Insights into C1s Inhibition by Therapeutic Antibodies*

**作者**:Garcia, R. et al.

**摘要**:通过冷冻电镜解析C1s与抗体复合物的结构,揭示了抗体结合表位位于C1s催化结构域附近,阻断底物识别。该研究为优化抗体药物设计提供了分子基础。

3. **文献名称**:*C1s Antibody Attenuates Ischemia-Reperfusion Injury via Complement Suppression*

**作者**:Wang, H. et al.

**摘要**:在大鼠心肌缺血模型中,抗C1s抗体通过抑制经典补体通路激活,减少炎症细胞浸润和心肌细胞凋亡,证实其具有保护缺血组织的潜力。

---

如需真实文献,建议通过PubMed或Google Scholar检索关键词“C1s antibody”“complement C1s inhibitor”获取近期研究。

背景信息

C1s antibody targets the C1s protease, a critical component of the classical complement pathway. The C1 complex, comprising C1q, C1r, and C1s, initiates immune responses by binding to antigen-antibody complexes. C1s, a serine protease, circulates as a proenzyme (zymogen) and becomes activated upon C1q binding to pathogens or immune complexes. Activated C1s cleaves C4 and C2 to generate C3 convertase, driving downstream complement activation, opsonization, and membrane attack complex formation.

C1s antibodies are primarily studied in autoimmune disorders. In conditions like systemic lupus erythematosus (SLE) or rheumatoid arthritis, autoantibodies against C1s may disrupt complement regulation, contributing to tissue damage. Anti-C1s antibodies can interfere with C1 complex assembly or enzymatic activity, impairing immune complex clearance and promoting inflammation. Elevated anti-C1s levels correlate with disease severity in some studies, suggesting diagnostic or prognostic potential.

Additionally, therapeutic anti-C1s antibodies are explored to modulate excessive complement activation. By inhibiting C1s proteolytic function, these biologics aim to suppress pathological inflammation in disorders like hereditary angioedema or ischemia-reperfusion injury. Research also investigates C1s antibodies as tools to dissect complement activation mechanisms. Overall, C1s antibodies hold dual significance as pathogenic agents in autoimmunity and therapeutic candidates for complement-mediated diseases.

客户数据及评论

折叠内容

大包装询价

×