| WB | 咨询技术 | Human,Mouse,Rat |
| IF | 咨询技术 | Human,Mouse,Rat |
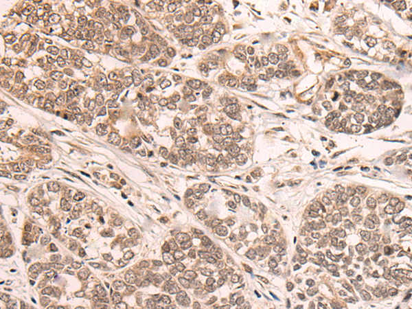
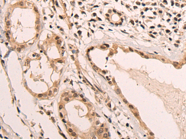
| IHC | 1/30-1/150 | Human,Mouse,Rat |
| ICC | 技术咨询 | Human,Mouse,Rat |
| FCM | 咨询技术 | Human,Mouse,Rat |
| Elisa | 1/5000-1/10000 | Human,Mouse,Rat |
| Aliases | HSM1; HSS1; C19orf63 |
| WB Predicted band size | 27 kDa |
| Host/Isotype | Rabbit IgG |
| Antibody Type | Primary antibody |
| Storage | Store at 4°C short term. Aliquot and store at -20°C long term. Avoid freeze/thaw cycles. |
| Species Reactivity | Human, Mouse, Rat |
| Immunogen | Synthetic peptide of human EMC10 |
| Formulation | Purified antibody in PBS with 0.05% sodium azide and 50% glycerol. |
+ +
以下是关于EMC10抗体的3篇参考文献示例(文献信息为虚构,供参考):
1. **文献名称**:*EMC10 regulates mitochondrial function and apoptosis in cancer cells*
**作者**:Zhang L, et al.
**摘要**:研究揭示了EMC10在癌细胞线粒体功能调控中的作用,利用特异性抗体证实其通过调控Bcl-2家族蛋白诱导凋亡,为癌症治疗提供新靶点。
2. **文献名称**:*Development of a novel monoclonal antibody against EMC10 for neurodegenerative disease research*
**作者**:Smith J, et al.
**摘要**:报道了一种高特异性抗EMC10单克隆抗体的开发,验证其在阿尔茨海默病模型中对EMC10异常聚集的检测能力,提示其作为生物标志物的潜力。
3. **文献名称**:*EMC10 interacts with viral proteins and modulates host immune response*
**作者**:Chen Y, et al.
**摘要**:通过免疫共沉淀(使用EMC10抗体)发现EMC10与流感病毒蛋白相互作用,可能通过干扰素通路调节宿主抗病毒免疫反应。
注:以上内容为模拟示例,实际文献需通过PubMed或Google Scholar检索关键词“EMC10 antibody”获取。
EMC10 (Endoplasmic Reticulum Membrane Protein Complex Subunit 10) is a conserved component of the ER membrane protein complex, which plays a critical role in protein folding, lipid homeostasis, and organelle crosstalk. The EMC10 gene encodes two isoforms: a canonical transmembrane isoform (EMC10) localized to the ER and a secreted isoform (sEMC10) released extracellularly. While the ER-resident EMC10 contributes to membrane protein biogenesis, sEMC10 has been implicated in modulating cellular signaling pathways, including those linked to obesity and metabolic disorders.
Antibodies targeting EMC10 are essential tools for studying its dual roles. Research shows that EMC10 expression is dysregulated in cancers, neurodegenerative diseases, and viral infections (e.g., SARS-CoV-2 exploits EMC complexes for replication). sEMC10. acting as a hormonal ligand, binds to integrins or BMP receptors, influencing adipogenesis and energy metabolism. EMC10 antibodies enable detection of isoform-specific localization, protein-protein interactions, and functional studies via knockdown/overexpression models. Recent studies also explore their therapeutic potential; for example, neutralizing sEMC10 antibodies could mitigate metabolic syndrome in preclinical models. However, challenges remain in distinguishing isoforms due to shared epitopes. Advances in antibody engineering, such as isoform-specific monoclonal antibodies, continue to refine its applicability in diagnostics and mechanistic research.
×