| 经过测试的应用 | |
| WB | WB-1/500 - 1/2000 |
| IHC | IHC-1/200 - 1/1000 |
| IF/ICC | IF/ICC-1/200 - 1/1000 |
| FCM | FCM-1/200 - 1/400 |
| ELISA | ELISA-1/10000 |
| 反应物种 | Human |
| 抗体类型 | Primary antibody |
| 基因名 | LOX12 |
| 宿主 | Mouse IgG1 |
| 形式 | Liquid |
| 存储缓冲液 | Buffer: PBS containing 50% glycerol, preserved with proclin300 or sodium azide (as specified on the Certificate of Analysis), pH 7.3 |
| 储存 | Store at 4°C short term. Aliquot and store at -20°C long term. Avoid freeze/thaw cycles. |

Western blot analysis using LOX12 mouse mAb against Hela (1) and MCF-7 (2) cell lysate
Immunofluorescence analysis of NTERA-2 cells (left) and U251 (right) cells using LOX12 mouse mAb (green). Blue: DRAQ5 fluorescent DNA dye. Red: Actin filaments have been labeled with Alexa Fluor-555 phalloidin
Flow cytometric analysis of 3T3/L1 cells using LOX12 mouse mAb (green) and negative control (purple)
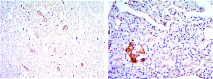
Immunohistochemical analysis of paraffin-embedded human brain tissues (left) and pancreas tissues (right) using LOX12 mouse mAb with DAB staining
×