| 经过测试的应用 | |
| WB | WB-1/500 - 1/2000 |
| IF/ICC | IF/ICC-1/50 - 1/200 |
| FCM | FCM-1/200 - 1/400 |
| ELISA | ELISA-1/10000 |
| 反应物种 | Human, Mouse, Monkey |
| 抗体类型 | Primary antibody |
| 宿主 | Mouse IgG2b |
| 基因名 | CX3CR1 |
| 分子量 | 156 kDa |
| 形式 | Liquid |
| 存储缓冲液 | Buffer: PBS containing 50% glycerol, preserved with proclin300 or sodium azide (as specified on the Certificate of Analysis), pH 7.3 |
| 储存 | Store at 4°C short term. Aliquot and store at -20°C long term. Avoid freeze/thaw cycles. |


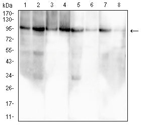
Western blot analysis using CX3CR1 mouse mAb against HepG2 (1), HEK293 (2), Jurkat (3), Hela (4), THP-1 (5), NIH/3T3 (6), COS7 (7), and PC-3 (8) cell lysate
Immunofluorescence analysis of Hela cells using CX3CR1 mouse mAb (green). Blue: DRAQ5 fluorescent DNA dye. Red: Actin filaments have been labeled with Alexa Fluor- 555 phalloidin
Flow cytometric analysis of THP-1 cells using CX3CR1 mouse mAb (green) and negative control (red)
Flow cytometric analysis of HL-60 cells using CX3CR1 mouse mAb (green) and negative control (red
×