| 经过测试的应用 | |
| WB | WB-1/500 - 1/2000 |
| IHC | IHC-1/200 - 1/1000 |
| FCM | FCM-1/200 - 1/400 |
| ELISA | ELISA-1/10000 |
| 反应物种 | Human,Rat,Monkey |
| 抗体类型 | Primary antibody |
| 宿主 | Mouse IgG1 |
| 基因名 | TSPYL1 |
| 分子量 | 55.7 kDa |
| 形式 | Liquid |
| 存储缓冲液 | Buffer: PBS containing 50% glycerol, preserved with proclin300 or sodium azide (as specified on the Certificate of Analysis), pH 7.3 |
| 储存 | Store at 4°C short term. Aliquot and store at -20°C long term. Avoid freeze/thaw cycles. |

Black line: Control Antigen (100 ng);Purple line: Antigen (10ng); Blue line: Antigen (50 ng); Red line:Antigen (100 ng)
Western blot analysis using TSPYL1 mouse mAb against A549 (1), MCF-7 (2), Hela (3), COS7 (4), C6 (5), and HL-60 (6) cell lysate
Flow cytometric analysis of Hela cells using TSPYL1 mouse mAb (green) and negative control (red)
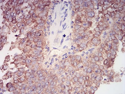
Immunohistochemical analysis of paraffin-embedded human esophageal cancer tissues using TSPYL1 mouse mAb with DAB staining
Immunohistochemical analysis of paraffin-embedded human endometrial cancer tissues using TSPYL1 mouse mAb with DAB staining
×