| 经过测试的应用 | |
| WB | WB-1/500 - 1/2000 |
| IP | IP- 0.5-4.0 ug for 1.0-3.0 mg of total protein lysate |
| IHC | IHC-1/50-1/500 |
| IF/ICC | IF/ICC -1/200-1/800 |
| 反应物种 | human, mouse, rat, pig |
| 抗体类型 | Primary antibody |
| 偶联物 | Unconjugated |
| 宿主 | Rabbit / IgG |
| 基因名 | ADAR1 |
| 分子量 | 136 kDa |
| 形式 | Liquid |
| 存储缓冲液 | PBS with 0.02% sodium azide and 50% glycerol, pH 7.3. |
| 储存 | Store at -20°C. Stable for one year after shipment |

HeLa cells were subjected to SDS PAGE followed by western blot with (ADAR1 Antibody) at dilution of 1:1000 incubated at room temperature for 1.5 hours

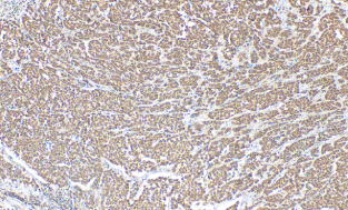
Immunohistochemical analysis of paraffin-embedded human colon cancer tissue slide using (ADAR1 antibody) at dilution of 1:200 (under 10x lens). Heat mediated antigen retrieval with Tris-EDTA buffer (pH 9.0)

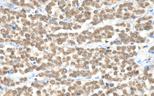
Immunohistochemical analysis of paraffin-embedded human colon cancer tissue slide using (ADAR1 antibody) at dilution of 1:200 (under 40x lens). Heat mediated antigen retrieval with Tris-EDTA buffer (pH 9.0)

Various lysates were subjected to SDS PAGE followed by western blot with (ADAR1 antibody) at dilution of 1:1500 incubated at room temperature for 1.5 hours.

IP result of anti-ADAR1 (IP:14330-1-AP, 4ug; Detection: 1:800) with HepG2 cells lysate 1320 ug

Immunofluorescent analysis of (4% PFA) fixed HeLa cells using ADAR1 antibody at dilution of 1:400 and Multi-rAb CoraLite Plus 488-Goat Anti-Rabbit Recombinant Secondary Antibody (H+L)
×