| 经过测试的应用 | |
| WB | WB-1/500 - 1/2000 |
| IHC | IHC-1/200 - 1/1000 |
| IF/ICC | IF/ICC-1/200 - 1/1000 |
| FCM | FCM-1/200 - 1/400 |
| ELISA | ELISA-1/10000 |
| 反应物种 | Human,Rat |
| SwissProt ID | Q8TAZ6 |
| 抗体类型 | Primary antibody |
| 克隆性 | Monoclonal |
| 宿主 | Mouse IgG1 |
| 基因名 | CMTM2 |
| 分子量 | 23 kDa |
| 形式 | Liquid |
| 存储缓冲液 | Purified antibody in PBS with 0.05% sodium azide and 50% glycerol. |
| 储存 | Store at 4°C short term. Aliquot and store at -20°C long term. Avoid freeze/thaw cycles. |

Red: Control Antigen (100ng); Purple: Antigen (10ng); Green: Antigen (50ng); Blue: Antigen (100ng)
Western blot analysis using CMTM2 mouse mAb against Hela (1), A549 (2), Jurkat (3), A431 (4), HEK293(5), HepG2 (6) and PC-12 (7) cell lysate.
Immunofluorescence analysis of Hela cells using CMTM2 mouse mAb (green). Blue: DRAQ5 fluorescent DNA dye. Red: Actin filaments have been labeled with Alexa Fluor-555 phalloidin.
Flow cytometric analysis of HepG2 cells using CMTM2 mouse mAb (green) and negative control (purple).
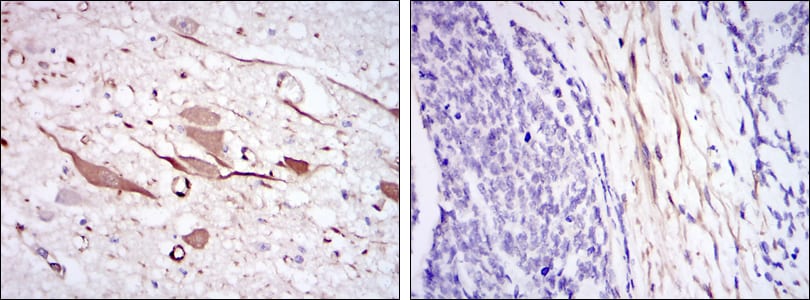
Immunohistochemical analysis of paraffin-embedded human brain tissues (left) and esophageal cancer tissues (right) using CMTM2 mouse mAb with DAB staining.
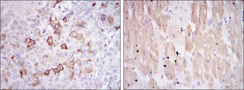
Immunohistochemical analysis of paraffin-embedded human breast cancer tissues (left) and cardiac muscle tissues (right) using CMTM2 mouse mAb with DAB staining.
×