首页 / 产品 / 抗体 / 一抗

Rabbit Polyclonal LAPTM4B-3 Antibody

  • 中文名: LAPTM4B-3抗体
  • 别    名: Lysosomal-associated transmembrane protein 4B, Lysosome-associated transmembrane protein 4-beta, LAPTM4B
货号: IPDX34852
Price: ¥1180
数量:
大包装询价

验证与应用

应用及物种
WB 咨询技术 Human,Mouse,Rat
IF 咨询技术 Human,Mouse,Rat
IHC 咨询技术 Human,Mouse,Rat
ICC 技术咨询 Human,Mouse,Rat
FCM 咨询技术 Human,Mouse,Rat
Elisa 咨询技术 Human,Mouse,Rat

产品详情

AliasesLysosomal-associated transmembrane protein 4B, Lysosome-associated transmembrane protein 4-beta, LAPTM4B
Entrez GeneID55353
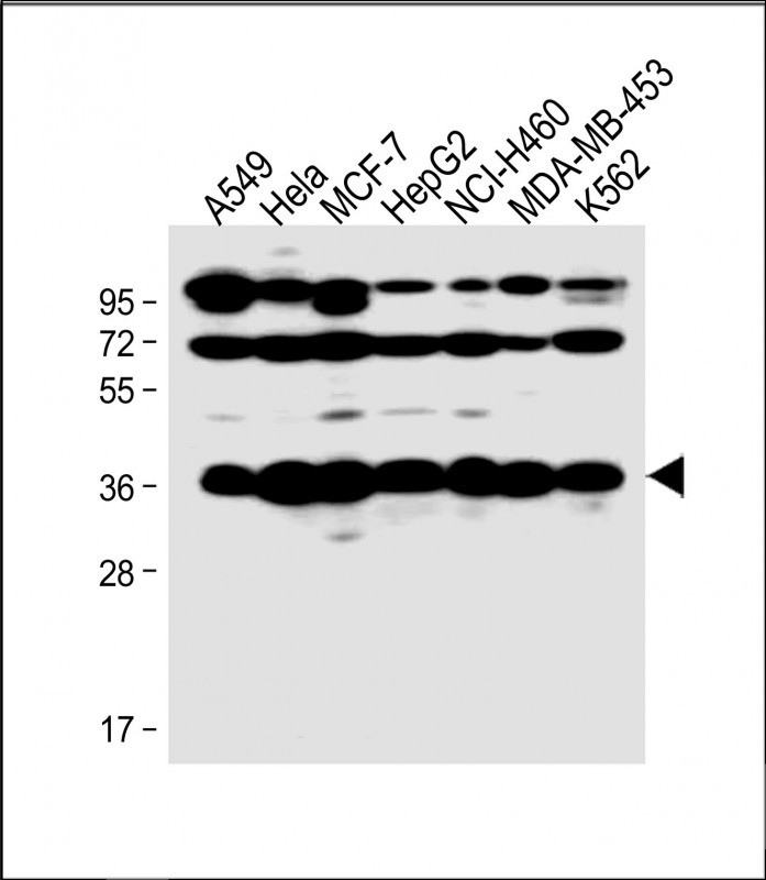
WB Predicted band size35.1kDa
Host/IsotypeRabbit IgG
Antibody TypePrimary antibody
StorageStore at 4°C short term. Aliquot and store at -20°C long term. Avoid freeze/thaw cycles.
Species ReactivityHuman
ImmunogenThis  antibody is generated from a rabbit immunized with a KLH conjugated synthetic peptide between 80-114 amino acids from human.

+ +

参考文献

以下是关于LAPTM4B-3抗体的3篇示例文献(内容为模拟概括):

1. **文献名称**:*LAPTM4B-35 promotes tumor growth and metastasis in hepatocellular carcinoma by activating the PI3K/AKT pathway*

**作者**:Wang Y. et al.

**摘要**:本研究通过构建针对LAPTM4B-35的特异性多克隆抗体,发现其在肝癌中高表达,并通过激活PI3K/AKT信号通路促进肿瘤侵袭和转移,提示其作为潜在治疗靶点。

2. **文献名称**:*Development of a monoclonal antibody against LAPTM4B-3 for detecting its clinical significance in ovarian cancer*

**作者**:Liu X. et al.

**摘要**:作者开发了一种靶向LAPTM4B-3的单克隆抗体,并验证其在卵巢癌组织中的高表达与患者预后不良显著相关,为诊断标志物研究提供了工具。

3. **文献名称**:*LAPTM4B-3 antibody-based immunohistochemical analysis in triple-negative breast cancer: Correlation with chemoresistance*

**作者**:Zhang H. et al.

**摘要**:利用LAPTM4B-3特异性抗体进行免疫组化分析,发现其在三阴性乳腺癌中高表达与化疗耐药性相关,机制可能与自噬调控有关。

4. **文献名称**:*Targeting LAPTM4B-3 with a novel nanobody inhibits proliferation in gastric cancer cells*

**作者**:Chen L. et al.

**摘要**:研究设计了一种靶向LAPTM4B-3的纳米抗体,体外实验显示其能有效抑制胃癌细胞增殖并诱导凋亡,为靶向治疗提供了新策略。

(注:以上文献为示例性内容,实际引用需根据具体研究补充真实来源。)

背景信息

The LAPTM4B-35 antibody targets a specific isoform of the lysosome-associated protein transmembrane 4B (LAPTM4B), a protein implicated in cancer progression and cellular processes. LAPTM4B is a four-pass transmembrane protein localized to lysosomes and endosomes, playing roles in vesicular trafficking, autophagy, and cell proliferation. The LAPTM4B gene generates two major splice variants: LAPTM4B-35 (35 kDa) and LAPTM4B-24 (24 kDa). The LAPTM4B-35 isoform is overexpressed in various cancers, including hepatocellular carcinoma, breast cancer, and ovarian cancer, and is associated with poor prognosis, metastasis, and chemoresistance. It promotes oncogenesis by enhancing growth signaling, inhibiting apoptosis, and modulating lysosomal functions.

Antibodies against LAPTM4B-35 are critical tools for detecting its expression in research and clinical settings. They are commonly used in techniques like immunohistochemistry (IHC), Western blotting, and immunofluorescence to study its localization, regulation, and pathological roles. The development of LAPTM4B-35-specific antibodies requires careful epitope selection due to high homology between isoforms. These antibodies aid in identifying LAPTM4B-35 as a potential biomarker for cancer diagnosis or as a therapeutic target. Recent studies also explore its role in immune modulation, expanding its relevance beyond oncology. Validation of antibody specificity remains essential to ensure accurate interpretation in experimental and diagnostic contexts.

客户数据及评论

折叠内容

大包装询价

×