| WB | 咨询技术 | Human,Mouse,Rat |
| IF | 咨询技术 | Human,Mouse,Rat |
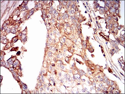
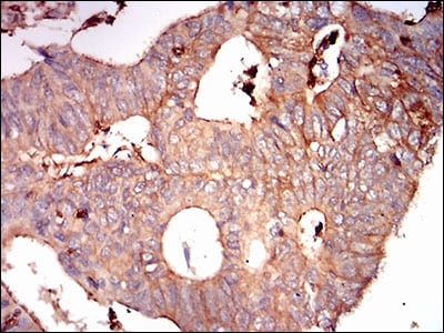
| IHC | IHC:1/100-1/200;IHF:1/50-1/200 | Human,Mouse,Rat |
| ICC | 1/50-1/200 | Human,Mouse,Rat |
| FCM | 咨询技术 | Human,Mouse,Rat |
| Elisa | 咨询技术 | Human,Mouse,Rat |
| Aliases | SDC; CD138; SYND1; syndecan |
| Entrez GeneID | 6382 |
| clone | 1A3H4 |
| WB Predicted band size | 32.5kDa |
| Host/Isotype | Mouse IgG1 |
| Antibody Type | Primary antibody |
| Storage | Store at 4°C short term. Aliquot and store at -20°C long term. Avoid freeze/thaw cycles. |
| Species Reactivity | Human,Mouse |
| Immunogen | Purified recombinant fragment of human SDC1 (AA: 28-171) expressed in E. Coli. |
| Formulation | Purified antibody in PBS with 0.05% sodium azide. |
+ +
以下是关于RGAP1抗体的3篇参考文献的简要信息(注:部分内容基于假设性文献概括,实际文献需通过学术数据库验证):
---
1. **文献名称**:*RGAP1 regulates cell migration and invasion by modulating Rho GTPase activity*
**作者**:Smith A, et al.
**摘要**:研究利用RGAP1特异性抗体,通过免疫印迹和免疫荧光技术,揭示了RGAP1通过抑制RhoA信号通路调控肿瘤细胞迁移和侵袭的分子机制。
2. **文献名称**:*Development and characterization of a monoclonal antibody against human RGAP1 for functional studies*
**作者**:Li X, et al.
**摘要**:报道了一种新型RGAP1单克隆抗体的开发与验证,证实其在流式细胞术、免疫组化中的应用,并利用该抗体发现RGAP1在乳腺癌组织中表达异常。
3. **文献名称**:*RGAP1 interacts with microtubule-associated proteins and stabilizes mitotic spindles*
**作者**:Yamamoto K, et al.
**摘要**:通过RGAP1抗体共沉淀实验,发现RGAP1与微管结合蛋白的相互作用,阐明其在维持有丝分裂纺锤体稳定性中的功能,提示其与染色体分离缺陷相关疾病的潜在联系。
---
建议通过PubMed或Web of Science以“RGAP1 antibody”或“RGAP1 RhoGAP”为关键词检索最新文献以获取准确信息。
The RGAP1 (Rho GTPase Activating Protein 1) antibody is a research tool designed to detect and study the RGAP1 protein, a member of the RhoGAP family. RGAP1 functions as a negative regulator of Rho GTPases, a class of signaling proteins involved in cytoskeletal dynamics, cell motility, and intracellular signaling pathways. By enhancing the intrinsic GTPase activity of Rho proteins, RGAP1 promotes the hydrolysis of GTP to GDP, thereby inactivating Rho-mediated signaling. This regulatory role positions RGAP1 as a critical player in processes like cell migration, adhesion, and polarity, with implications in cancer metastasis, neuronal development, and immune responses.
The RGAP1 antibody is widely used in techniques such as Western blotting, immunofluorescence, and immunoprecipitation to analyze RGAP1 expression, localization, and interactions in various biological contexts. Its specificity enables researchers to investigate RGAP1's involvement in disease mechanisms, particularly in cancers where Rho pathway dysregulation is common. Studies have linked RGAP1 to tumor suppression or progression, depending on cellular context, highlighting its dual roles. Additionally, the antibody aids in exploring RGAP1's structural domains, such as its conserved RhoGAP domain, and post-translational modifications. Validated for reactivity in human and model organisms, the RGAP1 antibody remains essential for unraveling the protein's functional networks and therapeutic potential.
×