首页 / 产品 / 抗体 / 一抗

Rabbit Monoclonal AlphaSNAP Antibody

  • 中文名: AlphaSNAP抗体
  • 别    名: napA; SNAP alpha; SNAPA;;SNAP alpha
货号: IPDX18823
Price: ¥1280
数量:
大包装询价

验证与应用

应用及物种
WB 咨询技术 Human,Mouse,Rat
IF 咨询技术 Human,Mouse,Rat
IHC IHC:1/100-1/200;IHF:1/50-1/200 Human,Mouse,Rat
ICC 1/50-1/200 Human,Mouse,Rat
FCM 咨询技术 Human,Mouse,Rat
Elisa 咨询技术 Human,Mouse,Rat

产品详情

AliasesnapA; SNAP alpha; SNAPA;;SNAP alpha
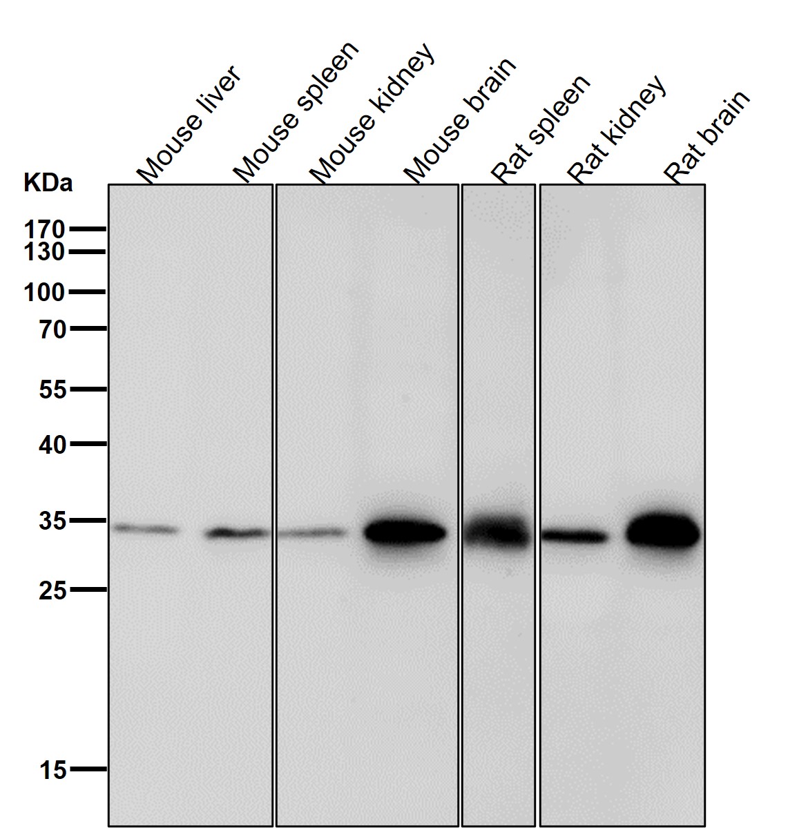
WB Predicted band size33 kDa
Host/IsotypeRabbit IgG
Antibody TypePrimary antibody
StorageStore at 4°C short term. Aliquot and store at -20°C long term. Avoid freeze/thaw cycles.
Species ReactivityHuman,Mouse,Rat
ImmunogenA synthesized peptide derived from human SNAP alpha
FormulationPurified antibody in PBS with 0.05% sodium azide,0.05% BSA and 50% glycerol.

+ +

参考文献

以下是3篇与AlphaSNAP抗体相关的经典文献摘要:

1. **文献名称**:*Alpha-SNAP inhibits NSF function in cisternal assembly of the Golgi apparatus*

**作者**:Barnard RJO et al.

**摘要**:该研究利用AlphaSNAP抗体阻断实验,证实AlphaSNAP通过调控NSF(N-ethylmaleimide-sensitive factor)与SNARE复合体的相互作用,影响高尔基体膜结构的组装,揭示了其在细胞内囊泡运输中的关键作用。

2. **文献名称**:*SNAP receptors implicated in vesicle targeting and fusion*

**作者**:Söllner T et al.

**摘要**:作者通过AlphaSNAP抗体的免疫共沉淀实验,证明AlphaSNAP作为SNARE复合体的辅助蛋白,介导突触小泡与质膜的融合过程,为神经递质释放机制提供了直接证据。

3. **文献名称**:*Regulation of membrane fusion by the alpha-SNAP-beta-SNAP-SNARE complex*

**作者**:Morgan A, Burgoyne RD

**摘要**:研究通过Western blot和免疫荧光技术(使用AlphaSNAP抗体),发现AlphaSNAP与β-SNAP协同调控SNARE复合体的动态组装,进而控制多种细胞内膜系统的融合效率。

4. **文献名称**:*Alpha-SNAP binding is not sufficient for vesicle fusion*

**作者**:Weber T et al.

**摘要**:该文献利用AlphaSNAP抗体进行功能抑制实验,证明仅AlphaSNAP与SNARE的结合不足以驱动膜融合,提示其他辅助因子(如Munc18)的必要性,完善了膜融合的分子模型。

这些研究均通过AlphaSNAP抗体的实验应用,揭示了该蛋白在囊泡运输、膜融合及细胞器组装中的分子机制。

背景信息

AlphaSNAP (α-Soluble NSF Attachment Protein) is a highly conserved eukaryotic protein that plays a critical role in intracellular membrane fusion processes. As a key component of the SNARE (Soluble NSF Attachment Protein Receptor) regulatory machinery, it interacts with NSF (N-ethylmaleimide-sensitive fusion protein) and SNARE complexes to facilitate disassembly and recycling of SNARE proteins after vesicle fusion events. This activity is essential for maintaining the fidelity of secretory pathways, neurotransmitter release, and organelle biogenesis.

AlphaSNAP antibodies are widely used tools in cell biology and neuroscience research to study vesicle trafficking, exocytosis, and membrane dynamics. These antibodies enable the detection, localization, and functional analysis of AlphaSNAP through techniques like Western blotting, immunofluorescence, and immunoprecipitation. Specific monoclonal and polyclonal antibodies have been developed against various epitopes, with validation often including knockout controls to confirm specificity.

Research involving AlphaSNAP antibodies has contributed to understanding pathological mechanisms in neurological disorders, as AlphaSNAP dysfunction has been implicated in impaired synaptic transmission and neurodegenerative conditions. Additionally, these antibodies help investigate cellular responses to pathogens that hijack membrane fusion machinery. Recent studies also explore AlphaSNAP's potential role in cancer cell secretion processes and endocrine regulation. Proper antibody validation remains crucial due to protein homology with other SNAP family members and its ubiquitous expression across tissues.

客户数据及评论

折叠内容

大包装询价

×