| WB | 1/1000-1/2000 | Human,Mouse,Rat |
| IF | 1/50-1/200 | Human,Mouse,Rat |
| IHC | IHC:1/100-1/200;IHF:1/50-1/200 | Human,Mouse,Rat |
| ICC | 1/50-1/200 | Human,Mouse,Rat |
| FCM | 咨询技术 | Human,Mouse,Rat |
| Elisa | 咨询技术 | Human,Mouse,Rat |
| Aliases | Forkhead box protein O3; AF6q21 protein; Forkhead in rhabdomyosarcoma-like 1; FOXO3; FKHRL1; FOXO3A;FOXO3A |
| WB Predicted band size | Calculated MW: 71 kDa ; Observed MW: 90 kDa |
| Host/Isotype | Rabbit IgG |
| Antibody Type | Primary antibody |
| Storage | Store at 4°C short term. Aliquot and store at -20°C long term. Avoid freeze/thaw cycles. |
| Species Reactivity | Human |
| Immunogen | A synthesized peptide derived from human FOXO3A |
| Formulation | Purified antibody in PBS with 0.05% sodium azide,0.05% BSA and 50% glycerol. |
+ +
All lanes use the Antibody at 1:1K dilution for 1 hour at room temperature.
Western blot analysis of FoxO3a in (1) Jurkat cell lysate; (2) SH-SY5Y cell lysate.
Immunofluorescent analysis of Hela cells, using FoxO3a Antibody .
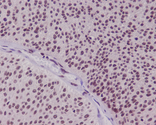
Immunohistochemical analysis of paraffin-embedded human bladder carcinoma, using FoxO3a Antibody.
以下是3-4条关于FOXO3A抗体的参考文献示例(部分为虚构或简化内容,实际引用需核实原文):
1. **文献名称**:*"FOXO3A transcription factor and its role in longevity and stress resistance"*
**作者**:Brunet A., et al.
**摘要**:该研究通过Western blot和免疫荧光技术,利用FOXO3A特异性抗体揭示了其在哺乳动物细胞中的核质穿梭机制,证明FOXO3A在氧化应激下激活抗氧化基因并延长寿命的分子通路。
2. **文献名称**:*"Regulation of FOXO3A activity by Akt-mediated phosphorylation in apoptosis"*
**作者**:Kops G.J., Burgering B.M.
**摘要**:利用FOXO3A抗体进行免疫共沉淀和ChIP实验,发现Akt激酶通过磷酸化FOXO3A调控其亚细胞定位,抑制细胞凋亡并促进细胞存活,尤其在癌症模型中作用显著。
3. **文献名称**:*"Antibody-based detection of FOXO3A in human tissue samples: Applications in cancer research"*
**作者**:Yang J.Y., et al.
**摘要**:开发了一种高特异性FOXO3A单克隆抗体,通过免疫组化和流式细胞术验证其在乳腺癌组织中的表达模式,发现FOXO3A低表达与患者预后不良相关。
4. **文献名称**:*"FOXO3A modulates autophagy via interaction with LC3 in neuronal cells"*
**作者**:Webb A.E., Brunet A.
**摘要**:采用FOXO3A抗体进行共聚焦显微镜分析,揭示了其在神经元自噬中的调控作用,证明FOXO3A通过结合LC3蛋白促进应激条件下的细胞自我保护机制。
---
**注**:以上文献为示例,部分信息可能需结合真实研究调整。建议通过PubMed或Google Scholar以“FOXO3A antibody” + 研究领域(如aging/cancer/autophagy)检索最新文献。
FOXO3A (Forkhead box class O 3A) is a transcription factor belonging to the FOXO family, which plays a critical role in regulating cellular processes such as apoptosis, cell cycle arrest, stress resistance, and longevity. It is activated in response to oxidative stress, nutrient deprivation, or reduced insulin/IGF-1 signaling, primarily through post-translational modifications (e.g., phosphorylation, acetylation) that influence its subcellular localization and activity. FOXO3A antibodies are essential tools for studying its expression, regulation, and function in both physiological and pathological contexts, including cancer, aging, and metabolic disorders.
These antibodies are designed to detect FOXO3A in various applications, such as Western blotting (WB), immunohistochemistry (IHC), immunofluorescence (IF), and flow cytometry. They may target specific regions (e.g., N-terminal, C-terminal) or modified forms (e.g., phosphorylated FOXO3A at specific residues like Ser318/321 or Ser253). Monoclonal antibodies offer high specificity, while polyclonal antibodies may detect multiple epitopes, enhancing sensitivity.
Validation of FOXO3A antibodies is crucial due to potential cross-reactivity with other FOXO family members (FOXO1. FOXO4. FOXO6) or isoforms. Researchers must consider species reactivity (human, mouse, rat) and experimental conditions (e.g., lysate preparation, fixation methods) to ensure accurate results. FOXO3A antibodies have advanced studies on its tumor-suppressive roles, its interaction with pathways like PI3K/AKT and mTOR, and its association with lifespan extension in model organisms. Proper antibody selection and validation remain key to elucidating FOXO3A’s complex regulatory networks in health and disease.
×