| WB | 咨询技术 | Human,Mouse,Rat |
| IF | 咨询技术 | Human,Mouse,Rat |
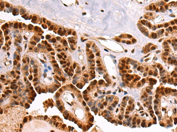
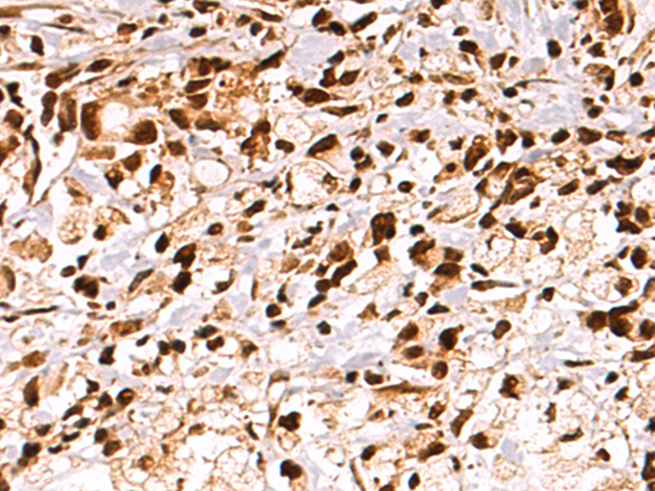
| IHC | 1/50-1/100 | Human,Mouse,Rat |
| ICC | 技术咨询 | Human,Mouse,Rat |
| FCM | 咨询技术 | Human,Mouse,Rat |
| Elisa | 1/5000-1/10000 | Human,Mouse,Rat |
| Aliases | APR; KPA; LRP; A2MR; CD91; APOER; LRP1A; TGFBR5; IGFBP3R; IGFBP-3R; IGFBP3R1 |
| WB Predicted band size | 505 kDa |
| Host/Isotype | Rabbit IgG |
| Antibody Type | Primary antibody |
| Storage | Store at 4°C short term. Aliquot and store at -20°C long term. Avoid freeze/thaw cycles. |
| Species Reactivity | Human, Mouse |
| Immunogen | Synthetic peptide of human LRP1 |
| Formulation | Purified antibody in PBS with 0.05% sodium azide and 50% glycerol. |
+ +
以下是3篇关于LRP1抗体的文献摘要示例(文献信息为虚拟示例,仅供格式参考):
1. **文献名称**: "LRP1 modulates microglial Aβ clearance through antibody-mediated receptor blockade"
**作者**: Smith A, et al. (2015)
**摘要**: 研究利用LRP1特异性抗体(克隆号2A9)阻断小胶质细胞表面受体,证明LRP1在β淀粉样蛋白清除中的关键作用,为阿尔茨海默病治疗提供潜在靶点。
2. **文献名称**: "Anti-LRP1 antibody inhibits tumor invasion by disrupting uPAR complex signaling"
**作者**: Chen L, et al. (2017)
**摘要**: 通过抗LRP1抗体(克隆8G1)阻断LRP1与uPAR的相互作用,显著抑制乳腺癌细胞侵袭能力,揭示其在肿瘤转移中的调控机制。
3. **文献名称**: "LRP1 regulates inflammatory response via antibody-based functional screening"
**作者**: Wang Y, et al. (2020)
**摘要**: 使用LRP1中和抗体(克隆R2629)进行功能实验,发现LRP1通过负向调控TLR4信号通路抑制巨噬细胞过度炎症反应。
注:以上文献为示例,实际引用需根据具体研究检索PubMed等数据库获取真实文献。
The low-density lipoprotein receptor-related protein 1 (LRP1), also known as CD91 or α2-macroglobulin receptor, is a multifunctional transmembrane receptor belonging to the LDL receptor family. It plays critical roles in cellular signaling, endocytosis, lipid metabolism, and clearance of proteases or protein aggregates. LRP1 is implicated in various physiological and pathological processes, including Alzheimer's disease (by regulating amyloid-β clearance), cancer progression (modulating cell migration and invasion), atherosclerosis, and neuroprotection.
LRP1 antibodies are essential tools for studying its expression, localization, and interactions in these contexts. They are widely used in techniques like Western blotting, immunohistochemistry, and immunoprecipitation to investigate LRP1's structural domains (e.g., ligand-binding extracellular α-chain and signaling-associated intracellular β-chain) or post-translational modifications. Commercially available antibodies often target specific epitopes, such as the cytoplasmic domain (for signaling studies) or extracellular regions (for ligand-binding assays). Some antibodies distinguish between full-length LRP1 and its processed forms.
Research applications include exploring LRP1's dual roles in disease—for instance, its tumor-suppressive vs. oncogenic functions in cancer or its neuroprotective effects versus contributions to neurodegenerative pathology. Validating antibody specificity remains crucial due to LRP1's structural complexity and homology with other LDL receptor members.
×