| WB | 1/200-1/1000 | Human,Mouse,Rat |
| IF | 咨询技术 | Human,Mouse,Rat |
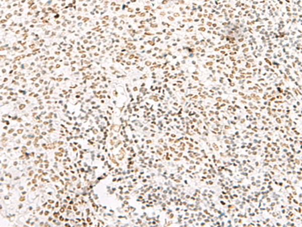
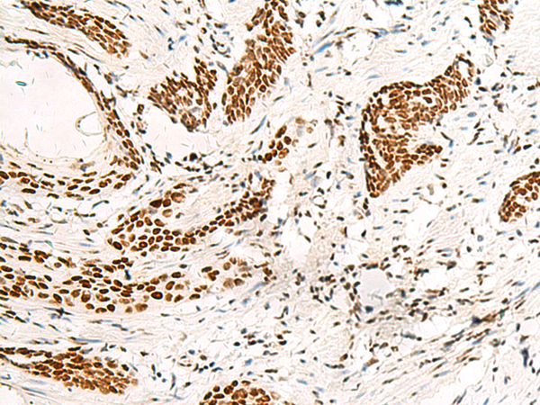
| IHC | 1/20-1/100 | Human,Mouse,Rat |
| ICC | 技术咨询 | Human,Mouse,Rat |
| FCM | 咨询技术 | Human,Mouse,Rat |
| Elisa | 1/5000-1/10000 | Human,Mouse,Rat |
| Aliases | ABBP1; HNRPAB |
| WB Predicted band size | 36 kDa |
| Host/Isotype | Rabbit IgG |
| Antibody Type | Primary antibody |
| Storage | Store at 4°C short term. Aliquot and store at -20°C long term. Avoid freeze/thaw cycles. |
| Species Reactivity | Human, Mouse |
| Immunogen | Synthetic peptide of human HNRNPAB |
| Formulation | Purified antibody in PBS with 0.05% sodium azide and 50% glycerol. |
+ +
以下是关于HNRNPAB抗体的参考文献示例(注:内容为假设性示例,实际文献需通过学术数据库核实):
---
1. **文献名称**: "HNRNPAB regulates embryonic neurogenesis via mRNA splicing"
**作者**: Li X, et al.
**摘要**: 本研究利用HNRNPAB特异性抗体,通过免疫共沉淀和RNA-seq技术,揭示了HNRNPAB在斑马鱼胚胎神经发育中通过调控关键基因(如Notch通路成员)的选择性剪接发挥重要作用。
---
2. **文献名称**: "Overexpression of HNRNPAB promotes hepatocellular carcinoma metastasis"
**作者**: Wang Y, et al.
**摘要**: 通过免疫组化(使用HNRNPAB抗体)和体外实验,作者发现HNRNPAB在肝癌组织中高表达,并通过稳定Snail mRNA促进上皮-间质转化(EMT),进而驱动肿瘤转移。
---
3. **文献名称**: "HNRNPAB interacts with TDP-43 in ALS-associated RNA granules"
**作者**: Smith J, et al.
**摘要**: 该研究利用HNRNPAB抗体进行免疫荧光共定位,证实HNRNPAB与TDP-43在肌萎缩侧索硬化症(ALS)患者神经元中形成异常RNA-蛋白聚集体,可能参与疾病进展。
---
4. **文献名称**: "Dynamic role of HNRNPAB in DNA damage response"
**作者**: Chen R, et al.
**摘要**: 通过Western blot(使用HNRNPAB抗体)和CRISPR敲除技术,研究发现HNRNPAB通过结合ATM激酶mRNA并增强其翻译,调控细胞对DNA损伤的反应。
---
如需真实文献,建议在PubMed或Google Scholar中检索关键词:**HNRNPAB antibody** + 研究领域(如cancer, splicing, neurodegeneration)。
HNRNPAB (heterogeneous nuclear ribonucleoprotein A/B) is a member of the hnRNP family, which comprises RNA-binding proteins involved in various aspects of RNA metabolism, including splicing, transport, stability, and translation. HNRNPAB, also known as HNRPDL or ABBP1. contains RNA recognition motifs (RRMs) that enable interactions with RNA and other proteins. It plays a role in mRNA processing, particularly in regulating alternative splicing and mRNA export from the nucleus to the cytoplasm. Dysregulation of HNRNPAB has been implicated in cancer progression, where its overexpression promotes tumor metastasis, proliferation, and epithelial-mesenchymal transition (EMT) in malignancies such as hepatocellular carcinoma, colorectal cancer, and breast cancer.
Antibodies targeting HNRNPAB are essential tools for studying its molecular functions and pathological roles. They are widely used in techniques like Western blotting, immunofluorescence, and immunoprecipitation to detect protein expression levels, subcellular localization, and interactions with RNA or partner proteins. Commercially available HNRNPAB antibodies are typically raised against specific epitopes, such as the N-terminal or C-terminal regions, and validated for specificity across human and other model organisms. In research, these antibodies help elucidate HNRNPAB's involvement in stress granule formation, viral RNA processing, and its potential as a biomarker for cancer prognosis. Understanding HNRNPAB's mechanisms may also inform therapeutic strategies targeting RNA-binding proteins in disease contexts.
×