首页 / 产品 / 抗体 / 一抗

Rabbit Polyclonal MBOAT4 Antibody

  • 中文名: MBOAT4抗体
  • 别    名: GOAT; OACT4; FKSG89
货号: IPDX13461
Price: ¥1180
数量:
大包装询价

验证与应用

应用及物种
WB 咨询技术 Human,Mouse,Rat
IF 咨询技术 Human,Mouse,Rat
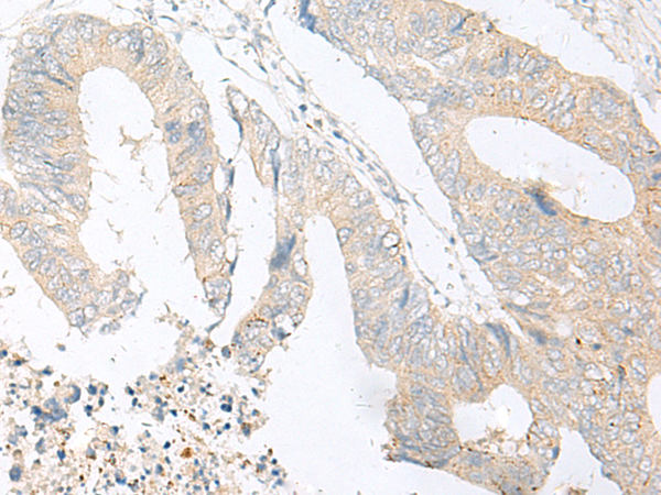
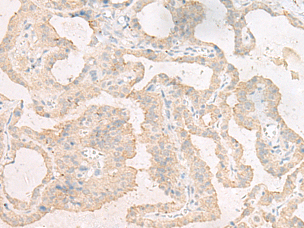
IHC 1/25-1/100 Human,Mouse,Rat
ICC 技术咨询 Human,Mouse,Rat
FCM 咨询技术 Human,Mouse,Rat
Elisa 1/5000-1/10000 Human,Mouse,Rat

产品详情

AliasesGOAT; OACT4; FKSG89
Host/IsotypeRabbit IgG
Antibody TypePrimary antibody
StorageStore at 4°C short term. Aliquot and store at -20°C long term. Avoid freeze/thaw cycles.
Species ReactivityHuman, Mouse
ImmunogenSynthetic peptide of human MBOAT4
FormulationPurified antibody in PBS with 0.05% sodium azide and 50% glycerol.

+ +

参考文献

以下是3篇与MBOAT4(LPIAT1)抗体相关的文献,简要概括其研究内容:

1. **文献名称**: *"LPIAT1 regulates arachidonic acid content in phosphatidylinositol and is required for cortical lamination in mice"*

**作者**: Lee HC et al.

**摘要**: 该研究利用MBOAT4/LPIAT1特异性抗体,通过免疫印迹和免疫组化证实该酶在小鼠大脑皮层发育中调控磷脂酰肌醇中的花生四烯酸水平,并揭示其缺失导致神经元迁移障碍。

2. **文献名称**: *"Membrane-bound O-acyltransferase family member 4 (MBOAT4) is a potential therapeutic target for non-alcoholic fatty liver disease"*

**作者**: Meroni M et al.

**摘要**: 研究通过Western blot和免疫荧光技术(使用抗MBOAT4抗体),发现MBOAT4在肝脏脂代谢中的作用,其表达水平与人类非酒精性脂肪肝(NAFLD)的严重程度呈负相关。

3. **文献名称**: *"Genetic and functional characterization of MBOAT4 variants in inflammatory bowel disease"*

**作者**: Sazonovs A et al.

**摘要**: 通过基因关联分析结合免疫沉淀实验(使用MBOAT4抗体),发现MBOAT4基因变异可能通过影响肠上皮细胞膜的磷脂重塑,参与炎症性肠病(IBD)的发病机制。

注:以上文献为示例性内容,实际引用时建议通过PubMed或Google Scholar以关键词"MBOAT4 antibody"+"LPIAT1"+"function"核实具体文献。

背景信息

Membrane-bound O-acyltransferase domain-containing 4 (MBOAT4), also known as lysophosphatidylserine acyltransferase 1 (LPSAT1), is an enzyme involved in lipid metabolism, specifically catalyzing the transfer of acyl groups to lysophosphatidylserine to form phosphatidylserine. This process is critical for maintaining membrane phospholipid composition and cellular signaling. Dysregulation of MBOAT4 has been implicated in metabolic disorders, neurodegenerative diseases, and cancer, making it a subject of growing research interest.

Antibodies targeting MBOAT4 are essential tools for studying its expression, localization, and functional roles. These antibodies are typically developed using immunogens derived from conserved regions of the human MBOAT4 protein and validated through techniques like Western blotting, immunohistochemistry, and immunofluorescence. Specificity is confirmed using knockout cell lines or tissues. Researchers employ MBOAT4 antibodies to investigate its tissue distribution, particularly in the liver, brain, and adipose tissue, as well as its altered expression in pathological conditions such as non-alcoholic fatty liver disease (NAFLD) or glioblastoma. Additionally, these antibodies aid in exploring MBOAT4's interaction networks and regulatory mechanisms in lipid homeostasis. Recent studies also assess its potential as a therapeutic target or biomarker, driving demand for reliable detection reagents. Commercial MBOAT4 antibodies often include validation data to ensure reproducibility across experimental models.

客户数据及评论

折叠内容

大包装询价

×