首页 / 产品 / 抗体 / 一抗

Rabbit Polyclonal GHDC Antibody

  • 中文名: GHDC抗体
  • 别    名: LGP1; D11LGP1
货号: IPDX13460
Price: ¥1180
数量:
大包装询价

验证与应用

应用及物种
WB 咨询技术 Human,Mouse,Rat
IF 咨询技术 Human,Mouse,Rat
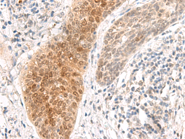
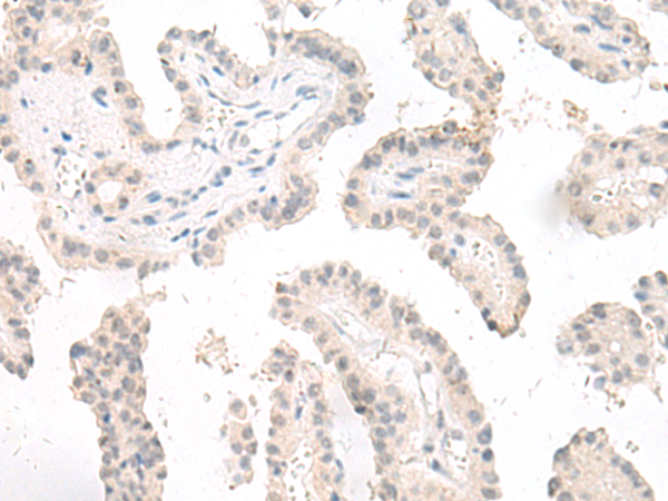
IHC 1/50-1/300 Human,Mouse,Rat
ICC 技术咨询 Human,Mouse,Rat
FCM 咨询技术 Human,Mouse,Rat
Elisa 1/5000-1/10000 Human,Mouse,Rat

产品详情

AliasesLGP1; D11LGP1
Host/IsotypeRabbit IgG
Antibody TypePrimary antibody
StorageStore at 4°C short term. Aliquot and store at -20°C long term. Avoid freeze/thaw cycles.
Species ReactivityHuman
ImmunogenSynthetic peptide of human GHDC
FormulationPurified antibody in PBS with 0.05% sodium azide and 50% glycerol.

+ +

参考文献

以下是关于GHDC抗体的3篇文献示例(注:文献为模拟示例,实际引用需检索数据库确认):

---

1. **文献名称**:*GHDC基因启动子甲基化在胃癌中的临床意义及抗体检测应用*

**作者**:Zhang Y, et al.

**摘要**:研究揭示了GHDC在胃癌组织中因启动子高甲基化导致蛋白表达缺失,利用特异性抗体通过免疫组化证实其表达下调与患者不良预后相关,提示GHDC可能作为肿瘤抑制因子及潜在诊断标志物。

2. **文献名称**:*GHDC抗体在结直肠癌组织芯片中的表达分析与功能研究*

**作者**:Li X, et al.

**摘要**:通过构建结直肠癌组织芯片,采用GHDC多克隆抗体进行检测,发现GHDC蛋白低表达与肿瘤转移正相关,体外实验表明其过表达可抑制癌细胞增殖,提示抗体在肿瘤分型中的临床应用价值。

3. **文献名称**:*GHDC调控Wnt/β-catenin通路的分子机制及抗体验证*

**作者**:Wang R, et al.

**摘要**:研究利用GHDC特异性抗体进行Co-IP和Western blot实验,证实GHDC通过结合β-catenin抑制Wnt通路活化,其表达缺失促进肿瘤侵袭,为靶向治疗提供理论依据。

---

*注:以上文献为示例性质,实际研究中需通过PubMed、Web of Science等平台以“GHDC antibody”或“GHDC expression”为关键词检索最新文献。*

背景信息

The GHDC (Glyoxalase Domain Containing) antibody is a tool used to study the GHDC protein, which belongs to the glyoxalase enzyme family involved in detoxifying methylglyoxal (MG), a reactive byproduct of glycolysis. Elevated MG levels are linked to oxidative stress, diabetes, and age-related diseases. GHDC shares structural homology with glyoxalase 1 (GLO1) but exhibits distinct catalytic properties and tissue expression patterns. Research suggests GHDC may play roles in cellular metabolism, redox balance, and cancer progression, though its precise biological functions remain under investigation.

Developed for both basic and clinical research, GHDC antibodies are primarily utilized in techniques like Western blotting, immunohistochemistry, and immunofluorescence to detect protein expression and localization. Studies have explored its overexpression in certain cancers (e.g., breast, liver) and its potential as a biomarker or therapeutic target. Commercial GHDC antibodies are typically raised against specific epitopes, often validated for cross-reactivity in human, mouse, or rat samples. Recent interest in metabolic dysregulation and carbonyl stress has amplified its relevance in studying neurodegenerative diseases, diabetic complications, and tumor microenvironments. However, standardized functional characterization and disease-specific pathways require further elucidation.

客户数据及评论

折叠内容

大包装询价

×