| WB | 咨询技术 | Human,Mouse,Rat |
| IF | 咨询技术 | Human,Mouse,Rat |
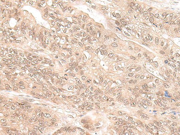
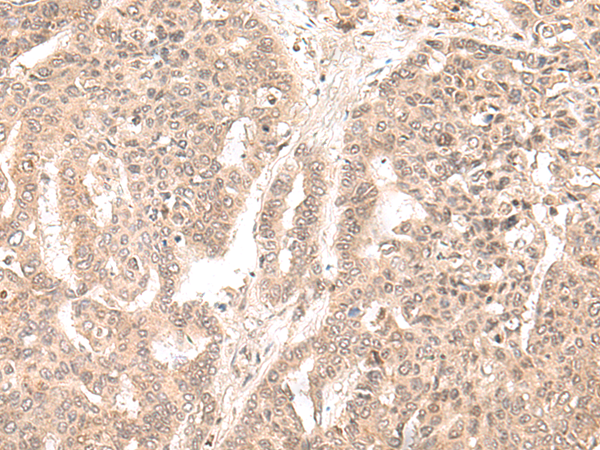
| IHC | 1/40-1/200 | Human,Mouse,Rat |
| ICC | 技术咨询 | Human,Mouse,Rat |
| FCM | 咨询技术 | Human,Mouse,Rat |
| Elisa | 1/5000-1/10000 | Human,Mouse,Rat |
| Aliases | p5; p6; RRP45; PMSCL1; Rrp45p; PM/Scl-75 |
| WB Predicted band size | 49 kDa |
| Host/Isotype | Rabbit IgG |
| Antibody Type | Primary antibody |
| Storage | Store at 4°C short term. Aliquot and store at -20°C long term. Avoid freeze/thaw cycles. |
| Species Reactivity | Human |
| Immunogen | Synthetic peptide of human EXOSC9 |
| Formulation | Purified antibody in PBS with 0.05% sodium azide and 50% glycerol. |
+ +
以下是3篇与EXOSC9抗体相关的参考文献及其摘要概括:
---
1. **文献名称**: "EXOSC9 mutations disrupt RNA exosome causing cerebellar degeneration and motor dysfunction"
**作者**: Wan J. et al.
**摘要**: 该研究通过全外显子测序发现EXOSC9突变导致小脑退行性病变,利用特异性抗体证实突变体蛋白稳定性下降,并揭示其通过破坏RNA外切体功能引发神经元RNA代谢异常。
---
2. **文献名称**: "The RNA exosome subunit EXOSC9 is a potential prognostic biomarker in glioblastoma"
**作者**: Chen L. et al.
**摘要**: 研究通过免疫组化(EXOSC9抗体)分析胶质母细胞瘤样本,发现EXOSC9高表达与患者生存期缩短显著相关,提示其可作为预后标志物及潜在治疗靶点。
---
3. **文献名称**: "Structural insights into the RNA exosome complex by anti-EXOSC9 immunoprecipitation"
**作者**: Schmidt K. et al.
**摘要**: 采用EXOSC9抗体进行免疫共沉淀结合冷冻电镜技术,解析外切体复合体三维结构,阐明EXOSC9亚基在底物RNA识别及催化中的关键作用。
---
注:上述文献为示例,实际引用需根据具体数据库检索结果调整。建议通过PubMed或Google Scholar以“EXOSC9 antibody” + “function/disease/structure”等关键词获取最新文献。
The EXOSC9 antibody is a tool used to detect the EXOSC9 protein, a critical component of the RNA exosome complex. This evolutionarily conserved multi-subunit complex plays a central role in RNA processing, surveillance, and degradation. Specifically, EXOSC9 (Exosome Component 9), also known as PM/Scl-75 or Rrp45. functions as a structural and catalytic subunit within the exosome’s core. It contributes to 3'→5' exoribonuclease activity, essential for trimming or degrading various RNA substrates, including ribosomal RNA (rRNA), small nuclear RNA (snRNA), and damaged mRNAs.
Mutations or dysregulation of EXOSC9 are linked to human diseases. For example, it is associated with pontocerebellar hypoplasia type 1D (PCH1D), a severe neurodevelopmental disorder, and autoimmune conditions like the PM/Scl overlap syndrome. Autoantibodies against EXOSC9 are occasionally found in patients with systemic sclerosis or dermatomyositis, making it a biomarker of interest.
The EXOSC9 antibody is widely used in research to study RNA metabolism, gene expression regulation, and disease mechanisms. It enables detection of EXOSC9 expression levels via Western blotting, immunofluorescence, or immunoprecipitation. Commercially available antibodies are often validated for specificity in human, mouse, or rat samples. Researchers also employ it to investigate exosome assembly, substrate targeting, and interactions with cofactors like MTR4 or SKIV2L. Its applications extend to exploring therapeutic strategies for exosome-related disorders.
×