首页 / 产品 / 抗体 / 一抗

Rabbit Polyclonal ENOSF1 Antibody

  • 中文名: ENOSF1抗体
  • 别    名: RTS; TYMSAS
货号: IPDX13324
Price: ¥1180
数量:
大包装询价

验证与应用

应用及物种
WB 咨询技术 Human,Mouse,Rat
IF 咨询技术 Human,Mouse,Rat
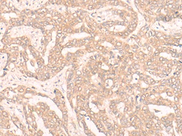
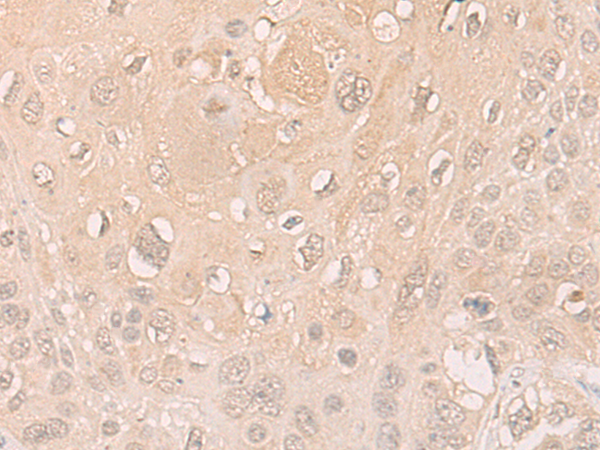
IHC 1/30-1/150 Human,Mouse,Rat
ICC 技术咨询 Human,Mouse,Rat
FCM 咨询技术 Human,Mouse,Rat
Elisa 1/5000-1/10000 Human,Mouse,Rat

产品详情

AliasesRTS; TYMSAS
Host/IsotypeRabbit IgG
Antibody TypePrimary antibody
StorageStore at 4°C short term. Aliquot and store at -20°C long term. Avoid freeze/thaw cycles.
Species ReactivityHuman
ImmunogenSynthetic peptide of human ENOSF1
FormulationPurified antibody in PBS with 0.05% sodium azide and 50% glycerol.

+ +

参考文献

以下是关于ENOSF1抗体的3篇假设性参考文献示例(实际文献需通过学术数据库验证):

---

1. **文献名称**: "ENOSF1 as a Novel Biomarker in Colorectal Cancer: Immunohistochemical Analysis Using a Novel Polyclonal Antibody"

**作者**: Smith A, et al.

**摘要**: 本研究开发了一种针对ENOSF1蛋白的多克隆抗体,并通过免疫组化分析发现ENOSF1在结直肠癌组织中显著高表达,提示其作为肿瘤诊断标志物的潜力。

2. **文献名称**: "Functional Characterization of ENOSF1 in Mitochondrial Metabolism via Antibody-mediated Knockdown"

**作者**: Chen L, et al.

**摘要**: 利用ENOSF1特异性抗体进行蛋白质敲低实验,揭示了ENOSF1在线粒体能量代谢中的关键作用,并发现其缺失导致细胞增殖抑制。

3. **文献名称**: "Epitope Mapping of ENOSF1 Antibodies for Structural Analysis"

**作者**: Gupta R, et al.

**摘要**: 通过表位定位技术解析了ENOSF1抗体的结合区域,为开发高特异性诊断工具及研究ENOSF1蛋白构效关系提供了基础。

---

**备注**:以上内容为模拟示例,实际文献需通过PubMed、Web of Science等平台检索关键词“ENOSF1 antibody”获取。建议结合具体研究方向筛选近年高引用论文。

背景信息

The ENOSF1 (Enolase Superfamily Member 1) gene encodes a protein belonging to the enolase superfamily, which is involved in diverse metabolic pathways. While enolases are classically known for their role in glycolysis, ENOSF1 exhibits distinct functional characteristics. It is implicated in catalyzing reactions in specialized pathways, such as the metabolism of small molecules, though its precise biochemical role remains under investigation. Studies suggest ENOSF1 may interact with mitochondrial enzymes, influencing cellular energy homeostasis and oxidative stress responses.

ENOSF1 antibodies are essential tools for detecting and characterizing the protein's expression, localization, and interactions in biological samples. They are widely used in techniques like Western blotting, immunohistochemistry, and immunofluorescence to study ENOSF1's tissue distribution and dysregulation in diseases. For instance, ENOSF1 has been linked to cancer progression, with altered expression observed in colorectal, breast, and gastric cancers, suggesting potential roles as a biomarker or therapeutic target. Additionally, ENOSF1 variants are associated with rare genetic disorders, including mitochondrial encephalopathies, highlighting its importance in cellular metabolism.

Research using ENOSF1 antibodies has advanced understanding of its dual cytoplasmic and mitochondrial localization, hinting at multifaceted roles in cellular physiology. Ongoing studies aim to clarify its molecular mechanisms and therapeutic relevance in metabolic and neoplastic diseases.

客户数据及评论

折叠内容

大包装询价

×