首页 / 产品 / 抗体 / 一抗

Rabbit Polyclonal IL16 Antibody

  • 中文名: IL16抗体
  • 别    名: LCF; NIL16; PRIL16; prIL-16
货号: IPDX13210
Price: ¥1180
数量:
大包装询价

验证与应用

应用及物种
WB 咨询技术 Human,Mouse,Rat
IF 咨询技术 Human,Mouse,Rat
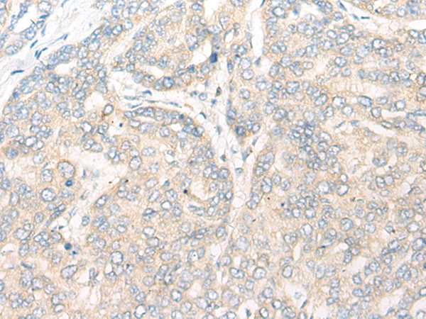
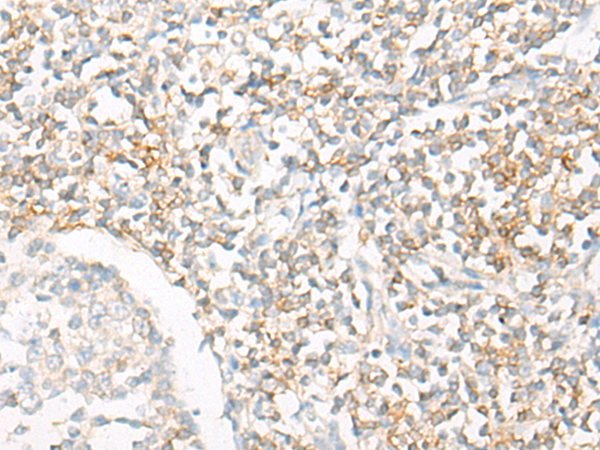
IHC 1/20-1/100 Human,Mouse,Rat
ICC 技术咨询 Human,Mouse,Rat
FCM 咨询技术 Human,Mouse,Rat
Elisa 1/5000-1/10000 Human,Mouse,Rat

产品详情

AliasesLCF; NIL16; PRIL16; prIL-16
Host/IsotypeRabbit IgG
Antibody TypePrimary antibody
StorageStore at 4°C short term. Aliquot and store at -20°C long term. Avoid freeze/thaw cycles.
Species ReactivityHuman
ImmunogenSynthetic peptide of human IL16
FormulationPurified antibody in PBS with 0.05% sodium azide and 50% glycerol.

+ +

参考文献

以下是关于IL-16抗体的示例性参考文献(注:部分信息为示例性质,建议通过学术数据库核实最新文献):

---

1. **标题**: *IL-16: A Key Regulator of T Cell Activation and Migration*

**作者**: Cruikshank WW, Center DM

**摘要**: 研究揭示了IL-16作为CD4+ T细胞的趋化因子,通过结合CD4受体调控细胞迁移和免疫反应,并探讨了其抗体在抑制炎症中的潜在应用。

2. **标题**: *Neutralizing IL-16 Antibody Attenuates Airway Inflammation in Murine Asthma Models*

**作者**: Smith KA, et al.

**摘要**: 在小鼠哮喘模型中,抗IL-16抗体通过阻断IL-16信号通路,显著减少嗜酸性粒细胞浸润和气道高反应性,提示其治疗过敏性疾病的潜力。

3. **标题**: *Structural Insights into IL-16 and Its Interaction with Therapeutic Antibodies*

**作者**: Zhang Y, et al.

**摘要**: 通过X射线晶体学解析IL-16蛋白结构,阐明其与单克隆抗体的结合表位,为开发靶向IL-16的免疫疗法提供分子基础。

4. **标题**: *IL-16 as a Biomarker in Autoimmune Disorders: Clinical Correlations*

**作者**: Müller-Ladner U, et al.

**摘要**: 临床研究发现类风湿性关节炎患者血清IL-16水平升高,其抗体可用于定量检测,提示IL-16作为疾病活动度的生物标志物价值。

---

建议通过PubMed或Google Scholar搜索关键词“IL-16 antibody”“therapeutic applications”或“biomarker”获取最新研究。

背景信息

Interleukin-16 (IL-16) is a pro-inflammatory cytokine primarily produced by CD8+ T cells, though it is also secreted by other immune cells such as mast cells, eosinophils, and dendritic cells. Initially identified as a chemoattractant for CD4+ immune cells, IL-16 plays a regulatory role in immune responses by binding to the CD4 receptor, influencing T-cell activation, migration, and apoptosis. Its structure includes a PDZ domain and a C-terminal bioactive region, with the precursor protein (pro-IL-16) requiring proteolytic cleavage to release the active cytokine. Dysregulation of IL-16 has been linked to chronic inflammatory diseases, autoimmune disorders (e.g., rheumatoid arthritis, multiple sclerosis), and allergic conditions like asthma.

IL-16 antibodies are critical tools for detecting and quantifying IL-16 in research and diagnostics. They enable the study of IL-16 expression patterns, signaling pathways, and its role in disease mechanisms. Monoclonal antibodies offer high specificity, while polyclonal antibodies provide broader epitope recognition. Applications include ELISA, Western blot, immunohistochemistry, and flow cytometry. In therapeutic contexts, IL-16-neutralizing antibodies are explored for mitigating inflammation or autoimmune activity. However, challenges remain in understanding IL-16's dual roles in immune regulation and pathology, necessitating further research to clarify its therapeutic potential.

客户数据及评论

折叠内容

大包装询价

×