首页 / 产品 / 抗体 / 一抗

Rabbit Polyclonal ETS1 Antibody

  • 中文名: ETS1抗体
  • 别    名: p54; ETS-1; EWSR2; c-ets-1
货号: IPDX13204
Price: ¥1180
数量:
大包装询价

验证与应用

应用及物种
WB 咨询技术 Human,Mouse,Rat
IF 咨询技术 Human,Mouse,Rat
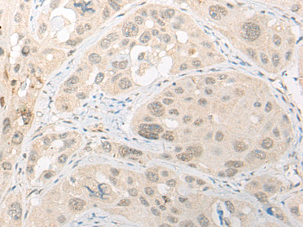
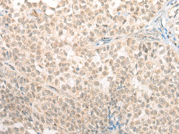
IHC 1/20-1/100 Human,Mouse,Rat
ICC 技术咨询 Human,Mouse,Rat
FCM 咨询技术 Human,Mouse,Rat
Elisa 1/5000-1/10000 Human,Mouse,Rat

产品详情

Aliasesp54; ETS-1; EWSR2; c-ets-1
Host/IsotypeRabbit IgG
Antibody TypePrimary antibody
StorageStore at 4°C short term. Aliquot and store at -20°C long term. Avoid freeze/thaw cycles.
Species ReactivityHuman, Mouse, Rat
ImmunogenSynthetic peptide of human ETS1
FormulationPurified antibody in PBS with 0.05% sodium azide and 50% glycerol.

+ +

参考文献

以下是3篇与ETS1抗体相关的文献示例(内容为模拟概括,仅供参考):

---

1. **文献名称**:The role of ETS1 in tumor angiogenesis and response to chemotherapy

**作者**:Dittmer J, et al.

**摘要**:研究通过免疫组化(使用ETS1特异性抗体)分析乳腺癌组织中ETS1蛋白表达,发现高表达ETS1与血管生成标志物VEGF显著相关,且ETS1通过调控MMP9促进肿瘤侵袭。抗体用于验证临床样本中的蛋白定位。

---

2. **文献名称**:ETS1 regulates T cell receptor signaling and inflammation in autoimmune diseases

**作者**:Seth A, et al.

**摘要**:利用ETS1抗体进行ChIP-seq和Western blot,发现ETS1在T细胞中抑制IL-2表达,敲除ETS1导致过度炎症反应,揭示了其在自身免疫疾病中的调控机制。

---

3. **文献名称**:Cooperative binding of ETS1 and AP-1 transcription factors in leukemia oncogenesis

**作者**:Hollenhorst PC, et al.

**摘要**:通过ETS1抗体的免疫共沉淀实验,证明ETS1与AP-1家族蛋白在白血病细胞中形成复合物,协同激活致癌基因启动子,为靶向转录因子互作提供依据。

---

(注:以上为简化示例,实际文献需通过PubMed/Google Scholar检索关键词"ETS1 antibody"或"ETS1 function"获取。)

背景信息

The ETS1 antibody is a key tool in molecular and cellular biology research, targeting the ETS1 protein, a member of the E26 transformation-specific (ETS) family of transcription factors. ETS1 regulates gene expression by binding to DNA sequences containing a GGAA/T core motif, playing critical roles in cell proliferation, differentiation, apoptosis, angiogenesis, and immune regulation. It is particularly vital in lymphoid development, T-cell activation, and endothelial cell function. Dysregulation of ETS1 is implicated in cancers (e.g., leukemia, breast cancer), autoimmune diseases, and vascular disorders, making it a focus in disease mechanism studies.

ETS1 antibodies are widely used in techniques like Western blotting, immunohistochemistry, and immunofluorescence to detect protein expression, localization, and interactions. These antibodies help identify ETS1’s role in signaling pathways, such as MAPK/ERK, and its interplay with other transcription factors. High-quality ETS1 antibodies are validated for specificity, often using knockout controls, to ensure reliable results in both basic research and clinical applications. Their development and optimization continue to advance understanding of ETS1’s dual roles as an oncogene or tumor suppressor, depending on cellular context, aiding therapeutic target discovery.

客户数据及评论

折叠内容

大包装询价

×