首页 / 产品 / 抗体 / 一抗

Rabbit Polyclonal MSH2 Antibody

  • 中文名: MSH2抗体
  • 别    名: FCC1; COCA1; HNPCC; LCFS2; HNPCC1
货号: IPDX13209
Price: ¥1180
数量:
大包装询价

验证与应用

应用及物种
WB 咨询技术 Human,Mouse,Rat
IF 咨询技术 Human,Mouse,Rat
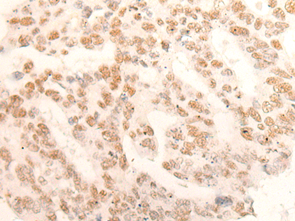
IHC 1/20-1/100 Human,Mouse,Rat
ICC 技术咨询 Human,Mouse,Rat
FCM 咨询技术 Human,Mouse,Rat
Elisa 1/1000-1/2000 Human,Mouse,Rat

产品详情

AliasesFCC1; COCA1; HNPCC; LCFS2; HNPCC1
WB Predicted band size105 kDa
Host/IsotypeRabbit IgG
Antibody TypePrimary antibody
StorageStore at 4°C short term. Aliquot and store at -20°C long term. Avoid freeze/thaw cycles.
Species ReactivityHuman, Mouse
ImmunogenSynthetic peptide of human MSH2
FormulationPurified antibody in PBS with 0.05% sodium azide and 50% glycerol.

+ +

参考文献

以下是关于MSH2抗体的3篇文献概览(基于公开研究整理):

1. **文献名称**:*Comparison of immunohistochemistry and microsatellite instability analysis in the detection of Lynch syndrome*

**作者**:Lindor NM, et al.

**摘要**:研究评估了多种MMR蛋白抗体(包括MSH2)在免疫组化(IHC)中的表现,发现其与微卫星不稳定性(MSI)检测结果高度一致,可作为林奇综合征筛查的有效工具。

2. **文献名称**:*MSH2 deficiency in colorectal cancer: immunohistochemistry and molecular analysis*

**作者**:Shia J, et al.

**摘要**:通过IHC和基因测序验证MSH2抗体在结直肠癌组织中的特异性,发现其表达缺失与MSH2基因突变高度相关,支持其在临床诊断中的应用。

3. **文献名称**:*Validation of anti-MSH2 antibody clones for clinical use*

**作者**:Bhattacharyya S, et al.

**摘要**:系统比较了不同克隆号(如25D12、FE11)的MSH2抗体在福尔马林固定组织中的表现,提出优化染色流程以提高检测一致性。

如需具体文献来源,建议通过PubMed或Google Scholar检索标题或作者名获取全文信息。

背景信息

The MSH2 antibody is a crucial tool in molecular pathology and cancer research, primarily used to detect the MutS homolog 2 (MSH2) protein, a key component of the DNA mismatch repair (MMR) system. MSH2 forms heterodimers with MSH6 or MSH3 to recognize and initiate correction of DNA replication errors, particularly microsatellite regions. Loss of MSH2 function due to genetic mutations or epigenetic silencing disrupts MMR, leading to microsatellite instability (MSI) – a hallmark of Lynch syndrome (hereditary non-polyposis colorectal cancer) and observed in 15-20% of sporadic cancers.

Clinically, MSH2 immunohistochemical staining helps identify MMR-deficient tumors, guiding Lynch syndrome diagnosis and predicting treatment responses. Tumors with MSH2 loss (typically showing absent nuclear staining) may respond differently to chemotherapy and immunotherapy. In research, the antibody facilitates studies on MMR mechanisms, carcinogenesis, and synthetic lethality interactions with other proteins like MLH1 and PMS2. Commercial MSH2 antibodies are validated for specificity across applications including Western blotting, immunofluorescence, and tissue microarray analysis. Interpretation requires correlation with other MMR protein expression patterns, as isolated MSH2 loss is rare and often indicates germline mutations. Its diagnostic and prognostic utility continues to expand with growing emphasis on personalized cancer management.

客户数据及评论

折叠内容

大包装询价

×