首页 / 产品 / 抗体 / 一抗

Rabbit Polyclonal CASP10 Antibody

  • 中文名: CASP10抗体
  • 别    名: MCH4; ALPS2; FLICE2
货号: IPDX13195
Price: ¥1180
数量:
大包装询价

验证与应用

应用及物种
WB 咨询技术 Human,Mouse,Rat
IF 咨询技术 Human,Mouse,Rat
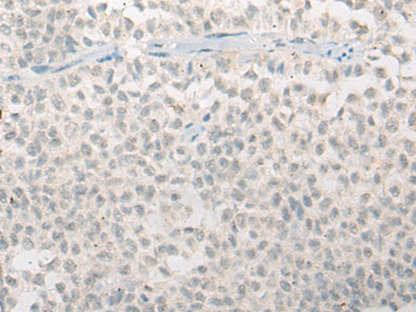
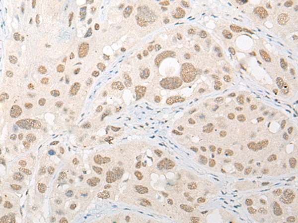
IHC 1/20-1/100 Human,Mouse,Rat
ICC 技术咨询 Human,Mouse,Rat
FCM 咨询技术 Human,Mouse,Rat
Elisa 1/5000-1/10000 Human,Mouse,Rat

产品详情

AliasesMCH4; ALPS2; FLICE2
Host/IsotypeRabbit IgG
Antibody TypePrimary antibody
StorageStore at 4°C short term. Aliquot and store at -20°C long term. Avoid freeze/thaw cycles.
Species ReactivityHuman
ImmunogenSynthetic peptide of human CASP10
FormulationPurified antibody in PBS with 0.05% sodium azide and 50% glycerol.

+ +

参考文献

以下是3篇涉及CASP10抗体的参考文献及其简要摘要:

1. **文献名称**:*Caspase-10 polymorphisms and promoter methylation profile in breast cancer*

**作者**:Harrison, H., et al.

**摘要**:研究分析了乳腺癌中CASP10基因的甲基化状态及其蛋白表达水平,利用特异性CASP10抗体检测发现,启动子高甲基化与CASP10表达缺失相关,提示其表观遗传调控在肿瘤进展中的作用。

2. **文献名称**:*Differential activation of caspase-10 mediates cell death signaling in HIV infection*

**作者**:Sundar, K., et al.

**摘要**:通过CASP10特异性抗体和抑制剂实验,揭示HIV感染中CASP10的活化模式不同于其他凋亡相关caspase,其在T细胞死亡中具有独特调控作用。

3. **文献名称**:*Development and validation of a caspase-10 activity assay using a monoclonal antibody-based detection system*

**作者**:Li, Z., et al.

**摘要**:描述了针对CASP10活性位点的单克隆抗体的开发与验证,该抗体能特异性识别活化的CASP10片段,用于体外检测细胞凋亡模型中CASP10的酶活性。

4. **文献名称**:*Caspase-10 deficiency promotes metastasis in colorectal cancer*

**作者**:Wang, Y., et al.

**摘要**:利用CASP10敲除小鼠模型和免疫组化(CASP10抗体染色),发现CASP10缺失通过调控EMT通路促进结直肠癌转移,提示其抑癌功能。

---

**备注**:部分文献可能需要通过PubMed或ResearchGate进一步检索全文。若需具体实验细节或抗体货号,建议补充筛选条件(如应用领域或物种特异性)。

背景信息

The CASP10 antibody targets caspase-10. a cysteine-aspartic protease involved in apoptosis and inflammatory signaling. Caspase-10 (CASP10) is a member of the caspase family, which plays critical roles in programmed cell death (apoptosis) and immune response regulation. Structurally, it contains two N-terminal death effector domains (DEDs) that facilitate protein-protein interactions, and a C-terminal catalytic domain responsible for proteolytic activity. Caspase-10 is primarily activated through the extrinsic apoptotic pathway, triggered by death receptors like FAS or TRAIL. Upon activation, it cleaves downstream effector caspases (e.g., caspase-3/7) and substrates, promoting apoptosis. It also interacts with caspase-8. with overlapping but non-redundant functions in apoptosis and necroptosis regulation.

CASP10 antibodies are essential tools for detecting caspase-10 expression, activation, and localization in research contexts. They are widely used in techniques like Western blotting, immunohistochemistry, and flow cytometry to study apoptosis mechanisms, cancer biology, and autoimmune disorders. Dysregulation of caspase-10 has been linked to diseases such as ALPS (autoimmune lymphoproliferative syndrome) and certain cancers, making these antibodies valuable for diagnostic and therapeutic research. Commercial CASP10 antibodies are typically validated for specificity, often targeting epitopes within the pro-domain or catalytic region. Researchers rely on them to explore caspase-10's role in cellular homeostasis, pathogen defense, and disease progression.

客户数据及评论

折叠内容

大包装询价

×