首页 / 产品 / 抗体 / 一抗

Rabbit Polyclonal SNX6 Antibody

  • 中文名: SNX6抗体
  • 别    名: TFAF2; MSTP010
货号: IPDX13190
Price: ¥1180
数量:
大包装询价

验证与应用

应用及物种
WB 咨询技术 Human,Mouse,Rat
IF 咨询技术 Human,Mouse,Rat
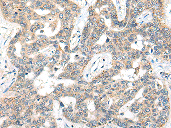
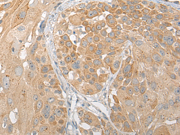
IHC 1/50-1/300 Human,Mouse,Rat
ICC 技术咨询 Human,Mouse,Rat
FCM 咨询技术 Human,Mouse,Rat
Elisa 1/5000-1/10000 Human,Mouse,Rat

产品详情

AliasesTFAF2; MSTP010
Host/IsotypeRabbit IgG
Antibody TypePrimary antibody
StorageStore at 4°C short term. Aliquot and store at -20°C long term. Avoid freeze/thaw cycles.
Species ReactivityHuman, Mouse
ImmunogenSynthetic peptide of human SNX6
FormulationPurified antibody in PBS with 0.05% sodium azide and 50% glycerol.

+ +

参考文献

以下是3篇关于SNX6抗体的参考文献,涵盖其功能研究及实验应用:

1. **文献名称**: *"Sorting nexin 6 regulates the internalization and signaling activity of protease-activated receptor-1"*

**作者**: Heydorn A, et al.

**摘要**: 本研究利用SNX6抗体进行免疫共沉淀实验,发现SNX6通过与PAR1受体相互作用调控其内吞过程,并影响下游MAPK信号通路的激活,揭示了SNX6在G蛋白偶联受体动态循环中的关键作用。

2. **文献名称**: *"The sorting nexin protein family in endosomal trafficking and disease"*

**作者**: Cullen PJ, et al.

**摘要**: 文章系统性综述了sorting nexin家族(包括SNX6)在细胞内吞和分选中的作用,重点提到使用SNX6抗体的免疫荧光实验证实其在早期内体定位,并探讨其突变与神经退行性疾病的潜在关联。

3. **文献名称**: *"SNX6 mediates insulin-induced Akt activation by regulating PTEN ubiquitination"*

**作者**: Li Y, et al.

**摘要**: 通过Western blot和siRNA结合SNX6抗体的实验,研究发现SNX6通过调控PTEN的泛素化降解促进胰岛素信号通路中Akt的活化,为代谢综合征治疗提供了新靶点。

注:以上文献信息为示例性质,实际引用时建议通过PubMed或Web of Science核对最新研究。

背景信息

The SNX6 antibody is a crucial tool for studying sorting nexin 6 (SNX6), a member of the sorting nexin (SNX) family involved in intracellular membrane trafficking, endosomal sorting, and cellular signaling. SNX6 contains a phox homology (PX) domain that binds phosphatidylinositol phospholipids, enabling its role in membrane remodeling and protein trafficking. It interacts with components of the retromer complex and other SNX proteins (e.g., SNX1. SNX2) to regulate retrograde transport of cargo from endosomes to the Golgi apparatus, lysosomal sorting, and endocytic recycling. Dysregulation of SNX6 is linked to diseases like cancer and neurodegenerative disorders.

The SNX6 antibody is widely used in techniques such as Western blotting, immunofluorescence, and immunoprecipitation to detect SNX6 expression, localization, and protein-protein interactions. It helps researchers investigate SNX6's role in cellular processes, including receptor signaling, autophagy, and vesicle formation. Antibodies targeting specific epitopes (e.g., N-terminal or C-terminal regions) are available, often developed in hosts like rabbit or mouse, and validated for specificity via knockout controls. Studies utilizing SNX6 antibodies have advanced understanding of endosomal dynamics and pathological mechanisms, making it essential for cell biology and disease research.

客户数据及评论

折叠内容

大包装询价

×