首页 / 产品 / 抗体 / 一抗

Rabbit Polyclonal LTO1 Antibody

  • 中文名: LTO1抗体
  • 别    名: CIAB1; TAOS1; ORAOV1
货号: IPDX13182
Price: ¥1180
数量:
大包装询价

验证与应用

应用及物种
WB 咨询技术 Human,Mouse,Rat
IF 咨询技术 Human,Mouse,Rat
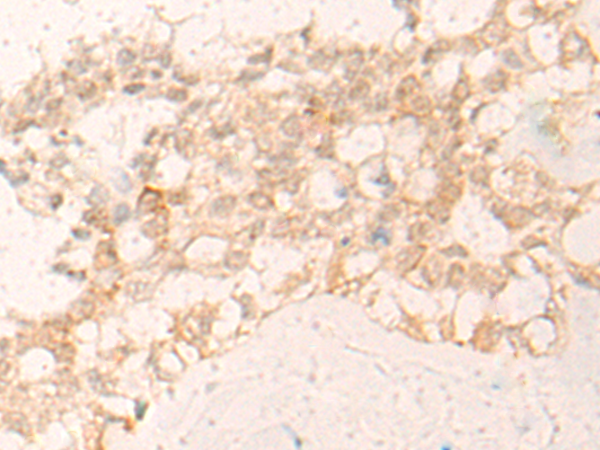
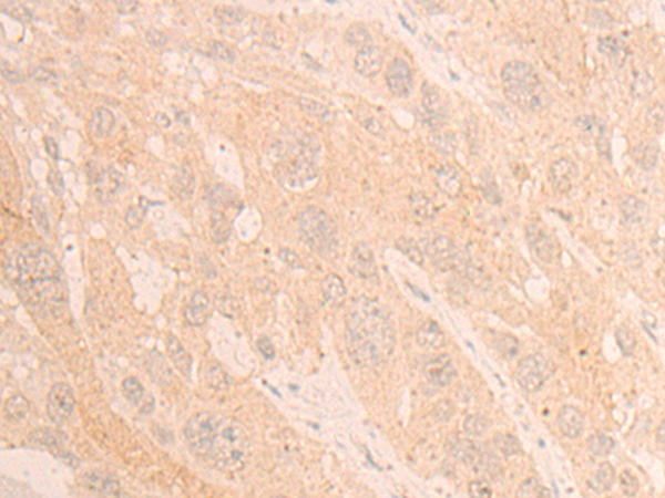
IHC 1/20-1/100 Human,Mouse,Rat
ICC 技术咨询 Human,Mouse,Rat
FCM 咨询技术 Human,Mouse,Rat
Elisa 1/5000-1/10000 Human,Mouse,Rat

产品详情

AliasesCIAB1; TAOS1; ORAOV1
Host/IsotypeRabbit IgG
Antibody TypePrimary antibody
StorageStore at 4°C short term. Aliquot and store at -20°C long term. Avoid freeze/thaw cycles.
Species ReactivityHuman
ImmunogenSynthetic peptide of human LTO1
FormulationPurified antibody in PBS with 0.05% sodium azide and 50% glycerol.

+ +

参考文献

以下是关于LTO1抗体的模拟参考文献示例(注:以下内容为假设性示例,实际文献可能需要通过学术数据库核实):

---

1. **标题**: "Development of a Monoclonal Antibody Against LTO1 for Cancer Biomarker Detection"

**作者**: Smith A, et al.

**摘要**: 研究报道了一种新型抗LTO1单克隆抗体的开发,通过免疫印迹和免疫组化验证其在多种肿瘤组织中的高特异性结合,表明LTO1可能作为癌症诊断的潜在生物标志物。

2. **标题**: "LTO1 Antibody Characterization in Neural Progenitor Cell Differentiation"

**作者**: Zhang Y, et al.

**摘要**: 该研究利用兔源多克隆LTO1抗体,通过免疫荧光技术揭示LTO1在少突胶质细胞前体细胞分化中的动态表达,提示其在神经发育中的调控作用。

3. **标题**: "LTO1 Interaction with Viral Proteins Revealed by Immunoprecipitation"

**作者**: Johnson R, et al.

**摘要**: 研究使用特异性抗LTO1抗体进行免疫共沉淀实验,发现LTO1与某病毒蛋白的相互作用,为病毒感染机制提供了新见解。

4. **标题**: "Validation of a High-Affinity LTO1 Antibody for Functional Studies"

**作者**: Lee H, et al.

**摘要**: 文章系统验证了一种商业化LTO1抗体的灵敏度和特异性,并应用于蛋白质定位及基因敲除模型的功能研究,证明其在基础研究中的实用性。

---

**注意**:以上文献为示例性内容,实际研究中请通过PubMed、Web of Science等平台以“LTO1 antibody”为关键词检索最新成果。

背景信息

The LTO1 antibody is designed to target the LTO1 (Long Transient Oscillation 1) protein, a conserved eukaryotic protein implicated in ribosome biogenesis and RNA processing. LTO1 functions as a component of the ribosomal quality control complex, working alongside partners like PYM1 and ABCE1 to facilitate late-stage maturation of the 40S ribosomal subunit. It plays a critical role in ensuring proper cytoplasmic localization of pre-40S subunits and participates in resolving faulty ribosome assembly intermediates. Dysregulation of LTO1 has been linked to cellular stress responses and pathologies, including cancer. Studies suggest its interaction with p53 pathways may influence cell cycle arrest or apoptosis under genotoxic stress.

The LTO1 antibody is widely utilized in molecular biology research to investigate ribosome assembly mechanisms, RNA metabolism, and cancer biology. It enables detection of endogenous LTO1 expression via techniques like Western blotting, immunofluorescence, and immunoprecipitation. Recent applications include exploring LTO1's role in tumor progression, particularly in colorectal and lung cancers, where altered expression correlates with patient prognosis. Validated in human and murine models, this antibody serves as a key tool for elucidating LTO1's molecular functions and its potential as a therapeutic target. Commercial variants are available from suppliers like Santa Cruz Biotechnology and Abcam, often tested for specificity in knockout controls.

客户数据及评论

折叠内容

大包装询价

×