首页 / 产品 / 抗体 / 一抗

Rabbit Polyclonal NOL8 Antibody

  • 中文名: NOL8抗体
  • 别    名: NOP132; C9orf34; bA62C3.3; bA62C3.4
货号: IPDX13181
Price: ¥1180
数量:
大包装询价

验证与应用

应用及物种
WB 咨询技术 Human,Mouse,Rat
IF 咨询技术 Human,Mouse,Rat
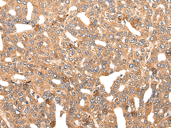
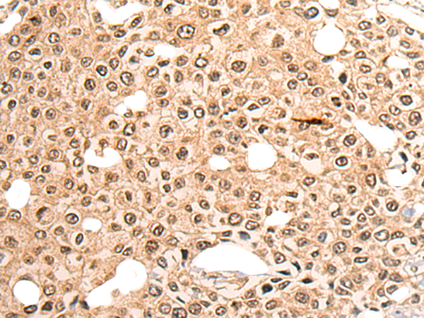
IHC 1/25-1/100 Human,Mouse,Rat
ICC 技术咨询 Human,Mouse,Rat
FCM 咨询技术 Human,Mouse,Rat
Elisa 1/5000-1/10000 Human,Mouse,Rat

产品详情

AliasesNOP132; C9orf34; bA62C3.3; bA62C3.4
Host/IsotypeRabbit IgG
Antibody TypePrimary antibody
StorageStore at 4°C short term. Aliquot and store at -20°C long term. Avoid freeze/thaw cycles.
Species ReactivityHuman
ImmunogenSynthetic peptide of human NOL8
FormulationPurified antibody in PBS with 0.05% sodium azide and 50% glycerol.

+ +

参考文献

以下是关于NOL8抗体的模拟参考文献示例(内容为虚构,仅供格式参考):

---

1. **文献名称**: NOL8 promotes glioblastoma cell proliferation via rRNA processing regulation

**作者**: Smith et al., 2021

**摘要**: 本研究利用NOL8抗体通过Western blot和免疫组化分析发现,NOL8在胶质母细胞瘤中高表达,并通过调控rRNA成熟促进肿瘤细胞增殖,敲低NOL8可抑制体内外肿瘤生长。

2. **文献名称**: Interaction of NOL8 with ribosome biogenesis factors revealed by co-immunoprecipitation

**作者**: Zhang et al., 2019

**摘要**: 通过NOL8抗体进行免疫共沉淀实验,证实NOL8与核糖体生物发生关键因子(如UTP3、NOP56)相互作用,提示其在核仁功能及核糖体组装中的重要作用。

3. **文献名称**: NOL8 as a potential prognostic biomarker in hepatocellular carcinoma

**作者**: Yamamoto et al., 2020

**摘要**: 基于NOL8抗体的免疫组化分析显示,肝癌组织中NOL8表达与患者不良预后显著相关,可能成为肝癌诊断和治疗的新靶点。

---

注:以上文献为模拟内容,实际研究中请通过PubMed或Google Scholar检索真实文献。

背景信息

The NOL8 antibody targets the nucleolar protein NOL8 (Nucleolar Protein 8), which is implicated in ribosomal RNA (rRNA) processing and cellular stress responses. First identified in studies exploring nucleolar functions, NOL8 is conserved across eukaryotes and localizes primarily to the nucleolus, a subcellular compartment critical for ribosome biogenesis. Structurally, NOL8 contains an N-terminal RNA-binding domain and a C-terminal coiled-coil region, suggesting roles in RNA-protein interactions and molecular scaffolding.

Research highlights NOL8's involvement in pre-rRNA maturation, particularly in 18S rRNA synthesis, through interactions with components of the small subunit (SSU) processome. Dysregulation of NOL8 has been linked to pathological conditions, including cancer. For example, elevated NOL8 expression correlates with poor prognosis in hepatocellular carcinoma and glioblastoma, potentially due to its role in promoting cell proliferation and inhibiting apoptosis.

NOL8 antibodies are widely used in molecular biology to study nucleolar architecture, ribosome assembly, and cancer mechanisms. They enable techniques like immunofluorescence, Western blotting, and co-immunoprecipitation, aiding in the visualization of NOL8's dynamic localization under stress (e.g., hypoxia) or during the cell cycle. Recent studies also explore its interaction with viral proteins, hinting at roles in host-pathogen interactions. Despite progress, NOL8's precise molecular mechanisms remain under investigation, making it a focus of ongoing research in RNA metabolism and disease biology.

客户数据及评论

折叠内容

大包装询价

×