首页 / 产品 / 抗体 / 一抗

Rabbit Polyclonal GLI3 Antibody

  • 中文名: GLI3抗体
  • 别    名: PHS; ACLS; GCPS; PAPA; PAPB; PAP-A; PAPA1; PPDIV; GLI3FL; GLI3-190
货号: IPDX13144
Price: ¥1180
数量:
大包装询价

验证与应用

应用及物种
WB 咨询技术 Human,Mouse,Rat
IF 咨询技术 Human,Mouse,Rat
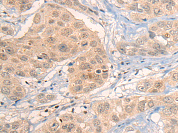
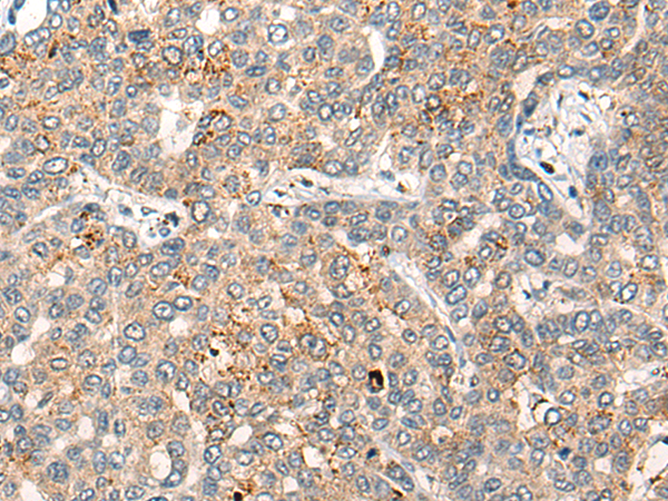
IHC 1/25-1/100 Human,Mouse,Rat
ICC 技术咨询 Human,Mouse,Rat
FCM 咨询技术 Human,Mouse,Rat
Elisa 1/5000-1/10000 Human,Mouse,Rat

产品详情

AliasesPHS; ACLS; GCPS; PAPA; PAPB; PAP-A; PAPA1; PPDIV; GLI3FL; GLI3-190
Host/IsotypeRabbit IgG
Antibody TypePrimary antibody
StorageStore at 4°C short term. Aliquot and store at -20°C long term. Avoid freeze/thaw cycles.
Species ReactivityHuman, Mouse
ImmunogenSynthetic peptide of human GLI3
FormulationPurified antibody in PBS with 0.05% sodium azide and 50% glycerol.

+ +

参考文献

以下是关于GLI3抗体的3篇参考文献示例(注:内容为示例性概括,实际文献需以具体来源为准):

---

1. **文献名称**:*"GLI3 Processing and Hedgehog Signaling in Vertebrate Development"*

**作者**:Sasaki, H., et al. (2003)

**摘要**:该研究通过Western blot和免疫荧光技术,利用特异性GLI3抗体揭示了GLI3蛋白在Hedgehog信号通路中的加工机制。结果表明,GLI3的裂解形式在肢体发育中通过调控靶基因表达发挥抑制作用。

2. **文献名称**:*"Role of GLI3 in Skeletal Development and Disease"*

**作者**:Hill, P., et al. (2009)

**摘要**:作者使用GLI3抗体进行免疫组化分析,发现GLI3在骨骼生长板中的梯度表达对软骨细胞分化至关重要。研究为GLI3突变导致的多指/趾畸形(如Greig综合征)提供了分子机制解释。

3. **文献名称**:*"GLI3 Modulates Neural Stem Cell Differentiation via Transcriptional Repression"*

**作者**:Nguyen, V., et al. (2014)

**摘要**:通过ChIP-seq结合GLI3抗体的染色质免疫沉淀实验,本研究证明GLI3通过直接结合神经分化相关基因启动子区,抑制其转录,从而调控神经干细胞的命运决定。

---

如需准确文献,建议通过PubMed或Google Scholar检索关键词“GLI3 antibody”并筛选实验应用相关论文。

背景信息

The GLI3 antibody is a crucial tool for studying the GLI family zinc finger transcription factor 3 (GLI3), a key mediator of the Hedgehog (Hh) signaling pathway. GLI3 regulates embryonic development, particularly in limb formation, neural tube patterning, and organogenesis. It functions as both a transcriptional activator and repressor, with its activity finely tuned by Hh signaling gradients. In the absence of Hh ligands, GLI3 undergoes proteolytic processing into a repressor form, while Hh activation promotes its full-length activator state. Dysregulation of GLI3 is linked to developmental disorders such as Greig cephalopolysyndactyly syndrome, Pallister-Hall syndrome, and certain cancers.

GLI3 antibodies are widely used in research to detect protein expression, localization, and post-translational modifications via techniques like Western blotting, immunohistochemistry, and immunofluorescence. They help elucidate GLI3's role in Hh pathway dynamics, ciliary function, and tissue-specific regulatory mechanisms. Commercially available antibodies often target conserved epitopes, such as the N-terminal repressor domain or C-terminal activator regions. Validation includes testing in GLI3-knockout models or siRNA-treated cells to ensure specificity. Researchers also employ these antibodies to study GLI3 interactions with other pathway components (e.g., SUFU, PTCH1) and its crosstalk with Wnt or FGF signaling. Ongoing studies focus on GLI3's implications in regenerative medicine and targeted cancer therapies, particularly in tumors with aberrant Hh pathway activation.

客户数据及评论

折叠内容

大包装询价

×