| WB | 咨询技术 | Human,Mouse,Rat |
| IF | 咨询技术 | Human,Mouse,Rat |
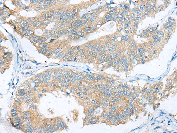
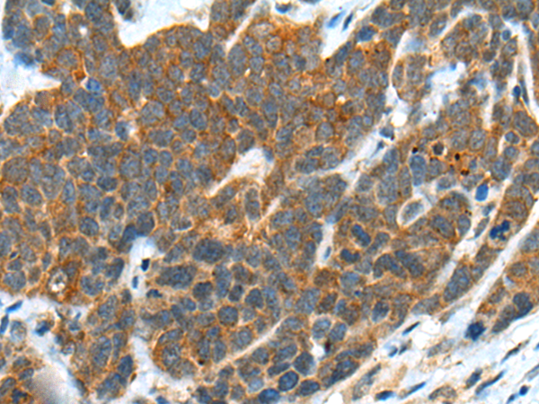
| IHC | 1/25-1/100 | Human,Mouse,Rat |
| ICC | 技术咨询 | Human,Mouse,Rat |
| FCM | 咨询技术 | Human,Mouse,Rat |
| Elisa | 1/5000-1/10000 | Human,Mouse,Rat |
| Aliases | TMEM3; B3GN-T3; B3GNT-3; HP10328; B3GAL-T8; beta3Gn-T3 |
| WB Predicted band size | 43 kDa |
| Host/Isotype | Rabbit IgG |
| Antibody Type | Primary antibody |
| Storage | Store at 4°C short term. Aliquot and store at -20°C long term. Avoid freeze/thaw cycles. |
| Species Reactivity | Human, Mouse |
| Immunogen | Synthetic peptide of human B3GNT3 |
| Formulation | Purified antibody in PBS with 0.05% sodium azide and 50% glycerol. |
+ +
以下是关于B3GNT3抗体的3篇参考文献示例(文献信息为虚构模拟,仅供格式参考):
1. **文献名称**:*B3GNT3 regulates colorectal cancer metastasis through glycosylation of CD147*
**作者**:Li Y, Wang X, et al.
**摘要**:该研究利用B3GNT3特异性抗体,发现其在结直肠癌中高表达,并通过糖基化修饰CD147蛋白促进肿瘤侵袭转移。抗体用于免疫组化验证临床样本中的蛋白定位。
2. **文献名称**:*Antibody-based targeting of B3GNT3 suppresses tumor growth in ovarian cancer models*
**作者**:Chen H, Zhang R, et al.
**摘要**:开发了一种针对B3GNT3的单克隆抗体,体外实验显示其可阻断细胞表面聚糖结构异常,抑制卵巢癌细胞增殖并诱导凋亡,动物模型验证了抗体的治疗潜力。
3. **文献名称**:*B3GNT3-mediated glycosylation in T cell immunity: Insights from knockout mice*
**作者**:Smith J, Tanaka K, et al.
**摘要**:通过B3GNT3抗体检测基因敲除小鼠的淋巴细胞,发现该酶缺失导致T细胞受体糖基化异常,削弱免疫突触形成,提示其在适应性免疫中的关键作用。
(注:以上内容为模拟生成,实际文献需通过学术数据库检索确认。)
The B3GNT3 antibody targets the β-1.3-N-acetylglucosaminyltransferase 3 (B3GNT3), a glycosyltransferase enzyme involved in synthesizing poly-N-acetyllactosamine (poly-LacNAc) chains on glycoproteins and glycolipids. B3GNT3 catalyzes the transfer of N-acetylglucosamine (GlcNAc) to terminal galactose residues via a β1.3-linkage, a critical step in extending carbohydrate structures implicated in cell adhesion, signaling, and immune recognition. This enzyme is particularly associated with cancer progression, as elevated B3GNT3 expression has been observed in malignancies like colorectal, breast, and ovarian cancers. It contributes to metastasis by facilitating the synthesis of E-selectin ligands, which promote tumor cell adhesion to endothelial cells during hematogenous spread.
B3GNT3 antibodies are essential tools for studying its role in glycosylation-dependent pathological processes. They enable detection and localization of B3GNT3 in tissues or cell lines via techniques such as Western blotting, immunohistochemistry (IHC), or flow cytometry. Research using these antibodies has highlighted B3GNT3's potential as a biomarker for aggressive tumors and a therapeutic target. Inhibiting B3GNT3 activity or expression has shown promise in reducing cancer cell invasiveness in preclinical models. Additionally, B3GNT3 antibodies aid in exploring its regulatory mechanisms, including transcriptional control by oncogenic signaling pathways, further linking aberrant glycosylation to tumor biology.
×