首页 / 产品 / 抗体 / 一抗

Rabbit Polyclonal CENPF Antibody

  • 中文名: CENPF抗体
  • 别    名: CENF; hcp-1; CILD31; PRO1779
货号: IPDX12820
Price: ¥1180
数量:
大包装询价

验证与应用

应用及物种
WB 咨询技术 Human,Mouse,Rat
IF 咨询技术 Human,Mouse,Rat
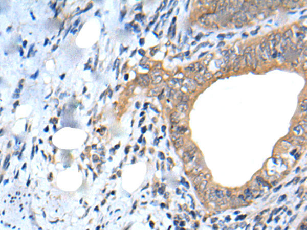
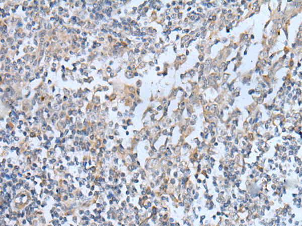
IHC 1/10-1/50 Human,Mouse,Rat
ICC 技术咨询 Human,Mouse,Rat
FCM 咨询技术 Human,Mouse,Rat
Elisa 1/5000-1/10000 Human,Mouse,Rat

产品详情

AliasesCENF; hcp-1; CILD31; PRO1779
Host/IsotypeRabbit IgG
Antibody TypePrimary antibody
StorageStore at 4°C short term. Aliquot and store at -20°C long term. Avoid freeze/thaw cycles.
Species ReactivityHuman
ImmunogenSynthetic peptide of human CENPF
FormulationPurified antibody in PBS with 0.05% sodium azide and 50% glycerol.

+ +

参考文献

以下是3-4篇关于CENPF抗体的参考文献及其摘要概括:

---

1. **文献名称**: *CENPF promotes cell proliferation and metastasis in hepatocellular carcinoma*

**作者**: Liao, W., et al.

**摘要**: 研究利用CENPF抗体检测其在肝癌组织中的表达,发现CENPF在肝癌中显著高表达,并与患者预后不良相关。实验表明CENPF通过调控细胞周期蛋白促进肿瘤增殖和转移。

---

2. **文献名称**: *CENPF as a novel biomarker for aggressive breast cancer*

**作者**: Yates, L.R., et al.

**摘要**: 通过免疫组化(CENPF抗体)分析乳腺癌样本,发现CENPF高表达与肿瘤分级和转移相关,提示其可作为乳腺癌预后的潜在标志物和治疗靶点。

---

3. **文献名称**: *CENPF regulates mitotic progression and genomic stability*

**作者**: Sun, J., et al.

**摘要**: 使用CENPF抗体进行免疫荧光实验,证实CENPF在有丝分裂中定位染色体动粒结构,其缺失导致染色体分离异常,表明其对细胞周期调控和基因组稳定的关键作用。

---

4. **文献名称**: *CENPF interacts with Aurora kinases to coordinate mitosis*

**作者**: Bharadwaj, R., et al.

**摘要**: 研究通过CENPF抗体结合共免疫沉淀技术,揭示CENPF与Aurora激酶相互作用,协同调控纺锤体组装和染色体分离,为靶向CENPF的抗癌策略提供依据。

---

以上文献均涉及CENPF抗体在疾病机制或分子功能研究中的应用,涵盖癌症预后、细胞周期调控及蛋白互作等领域。

背景信息

The CENPF antibody targets centromere protein F (CENPF), also known as mitosin or centromere protein F, a high-molecular-weight (~350-400 kDa) nuclear protein involved in cell cycle regulation, particularly during mitosis. CENPF is part of the kinetochore complex and plays critical roles in chromosome segregation, spindle microtubule attachment, and ensuring accurate chromosomal alignment during metaphase. Its expression peaks during the G2/M phase of the cell cycle, making it a marker for proliferating cells.

CENPF antibodies are widely used in research to study cell division mechanisms, cancer biology, and developmental processes. In diagnostic and clinical contexts, elevated CENPF levels are associated with aggressive tumor behavior, metastasis, and poor prognosis in cancers such as prostate, breast, and hepatocellular carcinoma. These antibodies enable detection via techniques like immunofluorescence, Western blotting, and immunohistochemistry, helping visualize CENPF's dynamic localization—from nuclear envelope association in interphase to kinetochore targeting during mitosis.

Recent studies also explore CENPF's interactions with other mitotic regulators (e.g., Aurora kinases) and its potential as a therapeutic target. Dysregulation of CENPF is linked to genomic instability and carcinogenesis, underscoring its importance in both basic and translational research.

客户数据及评论

折叠内容

大包装询价

×