| WB | 咨询技术 | Human,Mouse,Rat |
| IF | 咨询技术 | Human,Mouse,Rat |
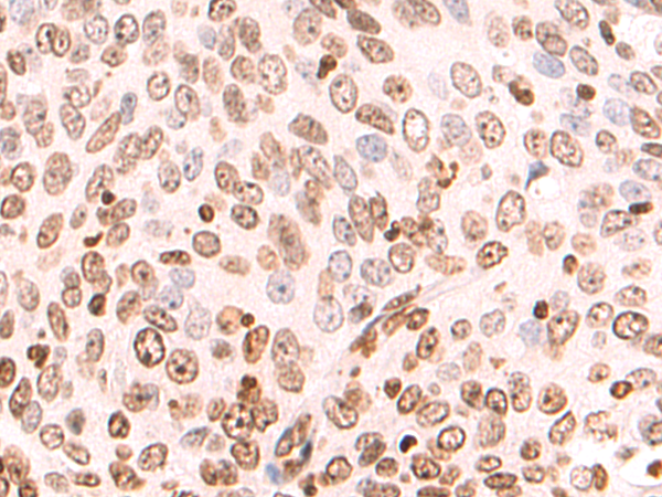
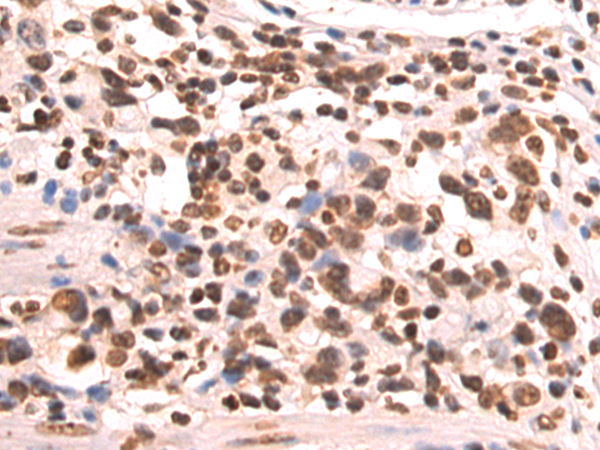
| IHC | 1/50-1/200 | Human,Mouse,Rat |
| ICC | 技术咨询 | Human,Mouse,Rat |
| FCM | 咨询技术 | Human,Mouse,Rat |
| Elisa | 1/5000-1/10000 | Human,Mouse,Rat |
| Aliases | Hxt; eHand; Thing1; bHLHa27 |
| WB Predicted band size | 24 kDa |
| Host/Isotype | Rabbit IgG |
| Antibody Type | Primary antibody |
| Storage | Store at 4°C short term. Aliquot and store at -20°C long term. Avoid freeze/thaw cycles. |
| Species Reactivity | Human, Mouse, Rat |
| Immunogen | Synthetic peptide of human HAND1 |
| Formulation | Purified antibody in PBS with 0.05% sodium azide and 50% glycerol. |
+ +
以下是关于HAND1抗体的3篇参考文献及其摘要概览:
---
1. **"HAND1 Phosphorylation Regulates Cardiac Differentiation"**
*Authors: Firulli, A.B., et al.*
摘要:该研究通过HAND1抗体进行免疫沉淀和免疫荧光,揭示了HAND1蛋白在小鼠心脏祖细胞中的磷酸化修饰对其在心脏发育中的转录调控功能至关重要,并证明其异常表达导致先天性心脏缺陷。
2. **"HAND1 Expression in Embryonic Heart Progenitors"**
*Authors: Scott, I.C., et al.*
摘要:利用HAND1抗体的免疫组化分析,发现HAND1在胚胎心脏的左右心室不对称发育中特异性表达,表明其参与心脏腔室分化和形态发生,为先天性心脏病机制提供线索。
3. **"HAND1 in Trophoblast Differentiation and Placental Development"**
*Authors: Knofler, M., et al.*
摘要:研究通过Western blot和免疫染色(使用HAND1抗体)证明,HAND1在胎盘滋养层细胞分化中调控关键基因,其缺失导致胎盘形态异常,提示其在妊娠并发症中的潜在作用。
4. **"HAND1 Suppresses Tumor Metastasis in Neuroblastoma"**
*Authors: Jogi, A., et al.*
摘要:该文献通过HAND1抗体检测肿瘤组织样本,发现HAND1在神经母细胞瘤中高表达可抑制细胞迁移和转移,表明其作为抑癌因子的潜在临床价值。
---
以上文献均涉及HAND1抗体的实验应用,涵盖发育生物学及肿瘤学领域。如需具体文章信息,建议通过PubMed或期刊数据库进一步查询。
The HAND1 antibody is a crucial tool in developmental biology and cancer research, targeting the Heart and Neural Crest Derivatives-expressed protein 1 (HAND1), a basic helix-loop-helix (bHLH) transcription factor. HAND1 plays a pivotal role in embryonic development, particularly in cardiac morphogenesis, placental development, and differentiation of trophoblast cells. During embryogenesis, it regulates cell fate decisions, tissue patterning, and cell cycle exit in cardiac progenitor cells. Aberrant HAND1 expression is linked to congenital heart defects and placental insufficiency.
In research, the HAND1 antibody is widely used to detect HAND1 protein expression and localization via techniques like Western blotting, immunohistochemistry (IHC), and immunofluorescence (IF). It helps elucidate HAND1's role in transcriptional networks governing organogenesis. Notably, HAND1 is also implicated in cancer, with studies highlighting its overexpression in neuroblastoma and specific sarcomas, where it may serve as a diagnostic or prognostic marker.
Commercially available HAND1 antibodies are typically raised in rabbits or mice, targeting specific epitopes within the protein's N-terminal or bHLH domains. Validation methods, such as knockout controls, ensure specificity. Researchers must consider cross-reactivity risks with related proteins (e.g., HAND2) and tissue-specific expression patterns. Its utility extends to stem cell research, particularly in cardiac differentiation models, aiding regenerative medicine advancements. Overall, the HAND1 antibody remains indispensable for dissecting developmental pathways and disease mechanisms.
×