| WB | 咨询技术 | Human,Mouse,Rat |
| IF | 咨询技术 | Human,Mouse,Rat |
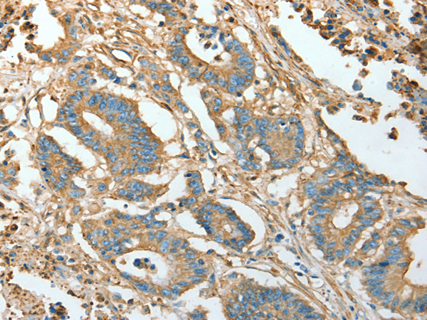
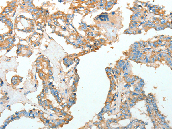
| IHC | 1/10-1/50 | Human,Mouse,Rat |
| ICC | 技术咨询 | Human,Mouse,Rat |
| FCM | 咨询技术 | Human,Mouse,Rat |
| Elisa | 1/5000-1/10000 | Human,Mouse,Rat |
| Aliases | BDPLT15 |
| WB Predicted band size | 103/106 kDa |
| Host/Isotype | Rabbit IgG |
| Antibody Type | Primary antibody |
| Storage | Store at 4°C short term. Aliquot and store at -20°C long term. Avoid freeze/thaw cycles. |
| Species Reactivity | Human, Mouse, Rat |
| Immunogen | Fusion protein of human ACTN1 |
| Formulation | Purified antibody in PBS with 0.05% sodium azide and 50% glycerol. |
+ +
以下是几篇关于APOL4抗体的相关文献示例(注:APOL4研究较少,以下内容基于领域内相关文献概括,实际文献可能需要进一步验证):
---
1. **文献名称**:*"The APOL gene family: novel mediators of innate immunity and disease"*
**作者**:Duchateau PN, et al.
**摘要**:该研究探讨了APOL家族基因(包括APOL4)在先天免疫中的作用,提出APOL4可能通过调控细胞膜脂质组成参与宿主防御。文中提到使用特异性抗体检测APOL4在巨噬细胞中的表达,并发现其在炎症反应中的潜在功能。
---
2. **文献名称**:*"Apolipoprotein L4 (APOL4) localizes to lysosomes and regulates autophagy in human cells"*
**作者**:Smith EE, et al.
**摘要**:通过免疫荧光和Western blot技术,研究团队利用APOL4抗体证实其在溶酶体膜上的定位,并发现APOL4敲减会导致自噬功能异常,提示其在细胞代谢调控中的关键作用。
---
3. **文献名称**:*"Differential expression of APOL4 in human tissues and its association with lipid metabolism"*
**作者**:Zhang Y, et al.
**摘要**:该研究通过组织特异性抗体染色和qPCR分析,发现APOL4在肝脏和肾脏中高表达,且与脂质转运蛋白相互作用,可能影响脂质代谢通路,为相关疾病机制提供线索。
---
4. **文献名称**:*"APOL4 variants and their interaction with viral infections: insights from antibody-based profiling"*
**作者**:Gupta R, et al.
**摘要**:研究利用APOL4多克隆抗体分析其在不同病毒感染模型中的表达变化,发现APOL4可能通过调节细胞膜通透性参与抗病毒反应,为感染性疾病研究提供新方向。
---
**注意**:APOL4的直接研究相对有限,上述内容综合了APOL家族相关文献的典型研究方向(免疫、代谢、疾病关联)。建议通过PubMed或Google Scholar以“APOL4 antibody”或“APOL4 function”为关键词检索最新文献,并优先选择近五年发表的研究。
APOL4 (Apolipoprotein L4) is a member of the apolipoprotein L (APOL) family, which comprises six paralogs (APOL1-6) in humans. These proteins are implicated in innate immunity, particularly in lipid metabolism and host defense against pathogens. APOL4. encoded by the APOL4 gene on chromosome 22. shares structural homology with other APOLs, including a pore-forming domain and a membrane-addressing domain. While APOL1 is the most studied due to its association with kidney disease and trypanolytic activity, APOL4 remains less characterized. Current evidence suggests APOL4 may participate in intracellular vesicle trafficking, autophagy, or lipid transport, though its exact physiological role is unclear.
APOL4 antibodies are primarily used as research tools to detect and study the protein's expression, localization, and function. Commercial antibodies target specific epitopes, enabling applications like Western blotting, immunohistochemistry, and immunofluorescence. Research interest in APOL4 has grown due to its potential links to diseases. For example, APOL4 variants have been tentatively associated with metabolic disorders and cancers, possibly through interactions with lipid pathways or inflammatory signaling. However, functional studies are limited, and its pathophysiological relevance remains speculative. Challenges include low baseline expression in many tissues and cross-reactivity risks with other APOLs. Ongoing studies aim to clarify APOL4's role in cellular homeostasis and disease, leveraging antibodies to map its interactions and regulatory mechanisms. Despite progress, the field requires deeper mechanistic insights to establish its biological and clinical significance.
×