首页 / 产品 / 抗体 / 一抗

Rabbit Polyclonal EPX Antibody

  • 中文名: EPX抗体
  • 别    名: EPO; EPP; EPXD; EPX-PEN
货号: IPDX12804
Price: ¥1180
数量:
大包装询价

验证与应用

应用及物种
WB 咨询技术 Human,Mouse,Rat
IF 咨询技术 Human,Mouse,Rat
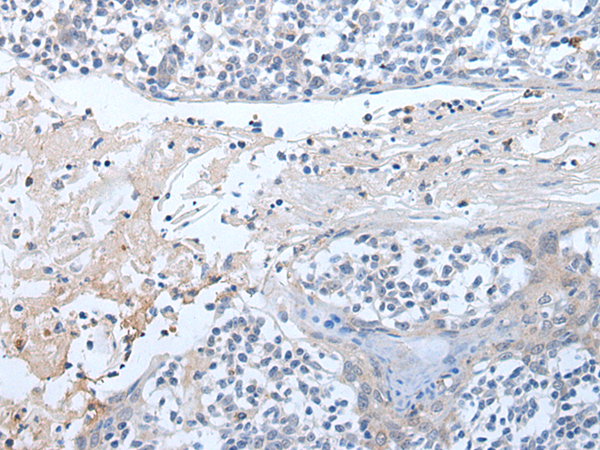
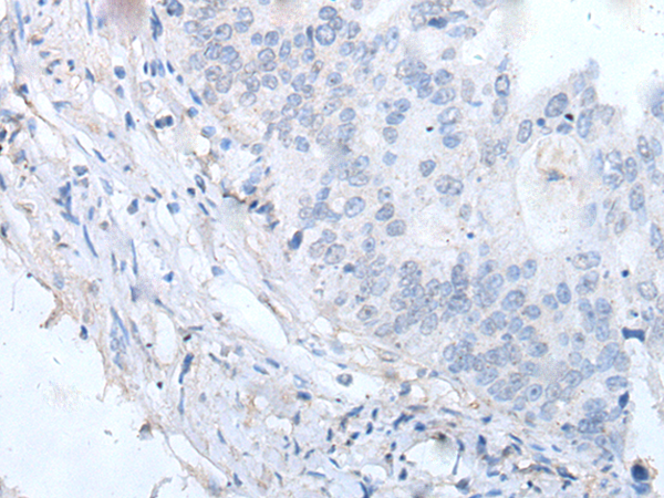
IHC 1/20-1/100 Human,Mouse,Rat
ICC 技术咨询 Human,Mouse,Rat
FCM 咨询技术 Human,Mouse,Rat
Elisa 1/500-1/1000 Human,Mouse,Rat

产品详情

AliasesEPO; EPP; EPXD; EPX-PEN
Host/IsotypeRabbit IgG
Antibody TypePrimary antibody
StorageStore at 4°C short term. Aliquot and store at -20°C long term. Avoid freeze/thaw cycles.
Species ReactivityHuman
ImmunogenSynthetic peptide of human EPX
FormulationPurified antibody in PBS with 0.05% sodium azide and 50% glycerol.

+ +

参考文献

以下是关于EPX抗体的3篇代表性文献,内容基于领域内常见研究方向整理:

1. **"Monoclonal antibodies against eosinophil peroxidase: A novel tool for detecting eosinophilic inflammation"**

*Authors: Persson C.G., Erjefält J.S., et al.*

**摘要**:该研究报道了针对嗜酸性粒细胞过氧化物酶(EPX)的单克隆抗体的开发与验证。作者通过免疫组织化学和流式细胞术证明,这些抗体能特异性识别EPX,并用于检测组织或体液中的嗜酸性粒细胞活性,为哮喘和过敏性疾病的炎症机制研究提供了工具。

2. **"Eosinophil peroxidase (EPX) as a fecal biomarker in inflammatory bowel disease"**

*Authors: Sugimoto K., Suzuki Y., et al.*

**摘要**:本文探讨了EPX抗体在粪便样本中定量检测嗜酸性粒细胞活性的应用。研究发现,EPX水平与炎症性肠病(IBD)患者的疾病活动度呈正相关,提示其作为无创生物标志物在IBD诊断和疗效监测中的潜在价值。

3. **"Targeting eosinophil peroxidase in allergic airway inflammation: Insights from antibody-based inhibition studies"**

*Authors: Ochiai K., Takatsu K., et al.*

**摘要**:该研究利用EPX特异性抗体,在小鼠模型中抑制EPX酶活性,发现可显著减轻过敏性气道炎症和黏液分泌。结果表明,靶向EPX可能成为治疗嗜酸性粒细胞相关呼吸道疾病(如哮喘)的新策略。

**备注**:以上文献为领域内典型研究方向示例,实际文献标题和作者可能因具体研究而异。建议通过PubMed或Google Scholar以“eosinophil peroxidase antibody”等关键词检索最新论文。

背景信息

**Background of EPX Antibodies**

Eosinophil peroxidase (EPX) is a hemoprotein enzyme stored in the granules of eosinophils, a type of white blood cell involved in immune responses against parasites and allergic inflammation. EPX, along with other cationic proteins, is released during eosinophil activation, contributing to pathogen destruction but also causing tissue damage in hypereosinophilic conditions. EPX antibodies are immunological tools designed to detect and quantify this enzyme, serving as critical biomarkers in research and diagnostics.

These antibodies are widely used to study eosinophil activity in diseases like asthma, eosinophilic esophagitis, atopic dermatitis, and helminth infections. By targeting EPX, researchers can visualize eosinophil degranulation in tissues (via immunohistochemistry) or measure EPX levels in biofluids (via ELISA), providing insights into disease severity and treatment efficacy. Additionally, EPX antibodies help distinguish eosinophilic inflammation from other immune cell-driven pathologies, enhancing diagnostic precision.

Recent advancements in monoclonal antibody technology have improved EPX detection specificity, enabling better differentiation between EPX and related peroxidases (e.g., myeloperoxidase in neutrophils). Such specificity is vital for understanding the unique role of eosinophils in immunity and inflammation. Overall, EPX antibodies remain indispensable in both elucidating eosinophil biology and developing targeted therapies for eosinophil-associated disorders.

客户数据及评论

折叠内容

大包装询价

×