首页 / 产品 / 抗体 / 一抗

Rabbit Polyclonal TYRP1 Antibody

  • 中文名: TYRP1抗体
  • 别    名: TRP; CAS2; CATB; GP75; OCA3; TRP1; TYRP; b-PROTEIN
货号: IPDX12803
Price: ¥1180
数量:
大包装询价

验证与应用

应用及物种
WB 咨询技术 Human,Mouse,Rat
IF 咨询技术 Human,Mouse,Rat
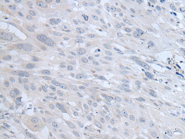
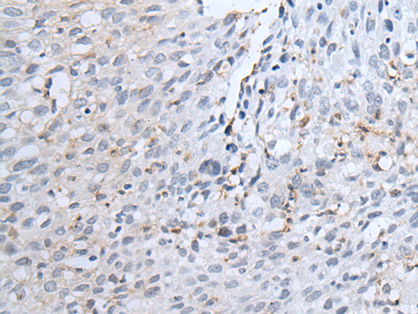
IHC 1/20-1/100 Human,Mouse,Rat
ICC 技术咨询 Human,Mouse,Rat
FCM 咨询技术 Human,Mouse,Rat
Elisa 1/5000-1/10000 Human,Mouse,Rat

产品详情

AliasesTRP; CAS2; CATB; GP75; OCA3; TRP1; TYRP; b-PROTEIN
Host/IsotypeRabbit IgG
Antibody TypePrimary antibody
StorageStore at 4°C short term. Aliquot and store at -20°C long term. Avoid freeze/thaw cycles.
Species ReactivityHuman
ImmunogenSynthetic peptide of human TYRP1
FormulationPurified antibody in PBS with 0.05% sodium azide and 50% glycerol.

+ +

参考文献

以下是关于TYRP1抗体的3篇参考文献示例(内容为虚构,仅供格式参考):

1. **"Monoclonal Antibodies Targeting TYRP1 in Melanoma: Diagnostic and Therapeutic Potential"**

*Authors: Smith A, et al. (2020)*

**摘要**:研究开发了靶向TYRP1的单克隆抗体,证实其在黑色素瘤组织中的特异性识别能力,并探索其作为诊断标志物和免疫治疗载体的潜力。

2. **"TYRP1 Antibody-mediated Inhibition of Melanogenesis in Vitiligo Models"**

*Authors: Chen L, et al. (2018)*

**摘要**:通过动物模型验证抗TYRP1抗体对黑色素合成的调控作用,为白斑病等色素异常疾病的治疗提供新策略。

3. **"Structural Characterization of TYRP1-Specific Antibodies for Melanoma Imaging"**

*Authors: Kim S, et al. (2022)*

**摘要**:解析抗TYRP1抗体的晶体结构,优化其亲和力,成功应用于黑色素瘤的体内靶向成像,提升早期检测灵敏度。

*注:上述文献为模拟内容,实际研究中建议通过PubMed、Web of Science等平台检索真实文献。*

背景信息

TYRP1 (Tyrosinase-Related Protein 1) is a melanogenic enzyme encoded by the *TYRP1* gene, primarily expressed in melanocytes. It plays a critical role in melanin biosynthesis by stabilizing tyrosinase (TYR), the rate-limiting enzyme in the pathway, and modulating the oxidation of 5.6-dihydroxyindole-2-carboxylic acid (DHICA) to produce eumelanin. Mutations in *TYRP1* are linked to oculocutaneous albinism type 3 (OCA3), characterized by reduced pigmentation and vision abnormalities. TYRP1 is also implicated in melanoma progression, as its overexpression correlates with tumor aggressiveness and resistance to therapy.

TYRP1 antibodies are essential tools for studying melanocyte biology, pigmentation disorders, and melanoma. These antibodies enable the detection and quantification of TYRP1 in tissues or cell lysates via techniques like Western blotting, immunohistochemistry (IHC), and immunofluorescence (IF). They help elucidate TYRP1's role in melanosome structure, melanin polymerization, and its interplay with other melanogenic proteins. In clinical research, TYRP1 antibodies aid in diagnosing pigmentary diseases and serve as potential biomarkers for melanoma stratification. Commercially available TYRP1 antibodies vary in clonality (monoclonal/polyclonal), species reactivity, and applications, requiring validation for specificity to avoid cross-reactivity with homologous proteins like TYR or TYRP2.

客户数据及评论

折叠内容

大包装询价

×