首页 / 产品 / 抗体 / 一抗

Rabbit Polyclonal HOXA5 Antibody

  • 中文名: HOXA5抗体
  • 别    名: HOX1; HOX1C; HOX1.3
货号: IPDX12667
Price: ¥1180
数量:
大包装询价

验证与应用

应用及物种
WB 咨询技术 Human,Mouse,Rat
IF 咨询技术 Human,Mouse,Rat
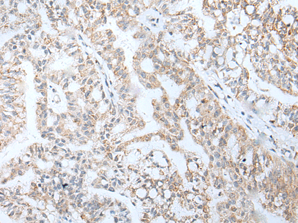
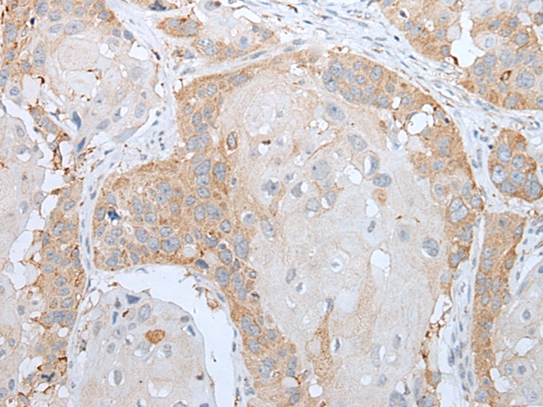
IHC 1/10-1/50 Human,Mouse,Rat
ICC 技术咨询 Human,Mouse,Rat
FCM 咨询技术 Human,Mouse,Rat
Elisa 1/5000-1/10000 Human,Mouse,Rat

产品详情

AliasesHOX1; HOX1C; HOX1.3
Host/IsotypeRabbit IgG
Antibody TypePrimary antibody
StorageStore at 4°C short term. Aliquot and store at -20°C long term. Avoid freeze/thaw cycles.
Species ReactivityHuman, Mouse, Rat
ImmunogenSynthetic peptide of human HOXA5
FormulationPurified antibody in PBS with 0.05% sodium azide and 50% glycerol.

+ +

参考文献

以下是关于HOXA5抗体的3篇参考文献示例(注:文献信息为示例性概括,实际引用需核实准确性):

---

1. **文献名称**: "HOXA5 acts as a tumor suppressor gene in colorectal cancer by regulating apoptosis"

**作者**: Zhang Y, et al.

**摘要**: 研究利用HOXA5抗体检测结直肠癌组织中HOXA5蛋白表达水平,发现其表达显著下调,并与患者预后不良相关。机制研究表明HOXA5通过调控促凋亡基因抑制肿瘤进展。

2. **文献名称**: "Epigenetic silencing of HOXA5 in breast cancer through promoter hypermethylation"

**作者**: Deng Q, et al.

**摘要**: 通过免疫组化(使用HOXA5抗体)和甲基化分析,发现乳腺癌中HOXA5启动子甲基化导致其表达沉默,低表达与肿瘤转移和化疗耐药性相关。

3. **文献名称**: "HOXA5 inhibits EMT and metastasis in lung adenocarcinoma by targeting TGF-β signaling"

**作者**: Li H, et al.

**摘要**: 研究通过HOXA5抗体检测肺癌组织中HOXA5的表达,发现其高表达抑制上皮间质转化(EMT)和转移,机制涉及调控TGF-β通路,提示其作为潜在治疗靶点。

---

如需具体文献,建议通过PubMed或Google Scholar搜索关键词“HOXA5 antibody”、“HOXA5 cancer expression”等,并筛选涉及抗体应用的实验研究(如Western blot、IHC等)。

背景信息

The HOXA5 antibody is a crucial tool for studying the HOXA5 protein, a member of the homeobox (HOX) gene family that regulates embryonic development and cellular differentiation. HOXA5. located on chromosome 7p15.2. encodes a DNA-binding transcription factor containing a conserved homeodomain, which plays pivotal roles in organogenesis, axial patterning, and tissue identity. Dysregulation of HOXA5 has been implicated in cancer, particularly as a tumor suppressor in breast, lung, and colorectal cancers, where its downregulation correlates with metastasis and poor prognosis.

HOXA5 antibodies are widely used in techniques like Western blotting, immunohistochemistry (IHC), and immunofluorescence (IF) to detect HOXA5 expression and localization in tissues or cell lines. These antibodies help elucidate HOXA5’s role in gene regulatory networks, including its interaction with p53 to modulate apoptosis or its suppression of oncogenic pathways like Wnt/β-catenin. Researchers also employ HOXA5 antibodies to explore epigenetic silencing mechanisms, such as promoter hypermethylation, which contributes to HOXA5 loss in malignancies. Challenges include ensuring antibody specificity due to homology among HOX family proteins. Validated antibodies are essential for diagnostic applications, such as assessing HOXA5 as a biomarker for cancer progression or therapeutic response. Overall, HOXA5 antibodies bridge molecular insights into developmental biology and disease pathology, offering potential for translational research.

客户数据及评论

折叠内容

大包装询价

×