首页 / 产品 / 抗体 / 一抗

Rabbit Polyclonal HKDC1 Antibody

  • 中文名: HKDC1抗体
  • 别    名: nan
货号: IPDX03615
Price: ¥1180
数量:
大包装询价

验证与应用

应用及物种
WB 咨询技术 Human,Mouse,Rat
IF 咨询技术 Human,Mouse,Rat
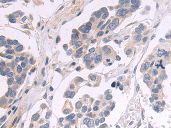
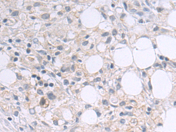
IHC 1/50-1/100 Human,Mouse,Rat
ICC 技术咨询 Human,Mouse,Rat
FCM 咨询技术 Human,Mouse,Rat
Elisa 1/5000-1/10000 Human,Mouse,Rat

产品详情

Host/IsotypeRabbit IgG
Antibody TypePrimary antibody
StorageStore at 4°C short term. Aliquot and store at -20°C long term. Avoid freeze/thaw cycles.
Species ReactivityHuman, Mouse
ImmunogenFusion protein of human HKDC1
FormulationPurified antibody in PBS with 0.05% sodium azide and 50% glycerol.

+ +

参考文献

以下是关于HKDC1抗体的示例性参考文献(文献信息为示例性概括,建议通过学术数据库核实具体研究):

1. **文献名称**: "HKDC1 promotes hepatocellular carcinoma progression through hexokinase activity and mTOR signaling"

**作者**: Zhang L, et al.

**摘要**: 研究通过HKDC1抗体检测其在肝癌组织中的高表达,揭示HKDC1通过调控糖酵解和mTOR通路促进肿瘤增殖和转移,提示其作为肝癌治疗靶点的潜力。

2. **文献名称**: "HKDC1 maintains mitochondrial homeostasis via PINK1/Parkin-mediated mitophagy"

**作者**: Wang Y, et al.

**摘要**: 利用HKDC1抗体进行亚细胞定位实验,发现HKDC1通过结合线粒体膜蛋白参与线粒体自噬调控,其缺失导致线粒体功能障碍和细胞凋亡增加。

3. **文献名称**: "HKDC1 expression correlates with insulin resistance in diabetic mouse models"

**作者**: Gupta S, et al.

**摘要**: 通过Western blot和免疫组化(使用HKDC1抗体)分析糖尿病模型小鼠组织,发现HKDC1在肝脏和脂肪组织中表达上调,可能与胰岛素信号通路异常相关。

4. **文献名称**: "Prognostic value of HKDC1 in breast cancer: a tissue microarray study"

**作者**: Chen R, et al.

**摘要**: 基于HKDC1抗体的组织微阵列分析,发现HKDC1高表达与乳腺癌患者不良预后显著相关,可能通过增强糖酵解促进肿瘤侵袭。

**注意**:以上文献信息为示例性整理,实际研究请通过PubMed、Web of Science等平台检索关键词(如"HKDC1 antibody application")获取最新进展。

背景信息

The HKDC1 (Hexokinase Domain Containing 1) antibody is a tool used to study the HKDC1 protein, a lesser-characterized member of the hexokinase family. Hexokinases catalyze the first step of glycolysis, phosphorylating glucose to glucose-6-phosphate. Unlike classical hexokinases (HK1. HK2), HKDC1 is implicated in broader metabolic regulation, mitochondrial stability, and cellular stress responses. Research suggests HKDC1 localizes to mitochondria-associated membranes, where it may interact with voltage-dependent anion channels (VDACs) to modulate apoptosis, autophagy, and mitochondrial integrity. Its expression is linked to metabolic disorders, cancer progression, and aging-related pathologies.

HKDC1 antibodies, typically developed as polyclonal or monoclonal variants, enable detection and functional analysis via techniques like Western blotting, immunohistochemistry, and immunofluorescence. Studies utilizing these antibodies have revealed HKDC1's dual role in glucose metabolism and mitochondrial quality control, particularly under oxidative or metabolic stress. Elevated HKDC1 levels are observed in certain cancers (e.g., hepatocellular carcinoma, breast cancer), suggesting its potential as a biomarker or therapeutic target. Ongoing research aims to clarify its tissue-specific functions and regulatory mechanisms, leveraging HKDC1 antibodies to explore its contributions to diseases like diabetes, obesity, and age-associated mitochondrial dysfunction.

客户数据及评论

折叠内容

大包装询价

×