首页 / 产品 / 抗体 / 一抗

Rabbit Polyclonal SORD Antibody

  • 中文名: SORD抗体
  • 别    名: SORD1; HEL-S-95n
货号: IPDX03400
Price: ¥1180
数量:
大包装询价

验证与应用

应用及物种
WB 咨询技术 Human,Mouse,Rat
IF 咨询技术 Human,Mouse,Rat
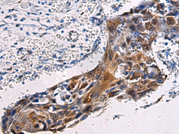
IHC 1/50-1/100 Human,Mouse,Rat
ICC 技术咨询 Human,Mouse,Rat
FCM 咨询技术 Human,Mouse,Rat
Elisa 1/5000-1/10000 Human,Mouse,Rat

产品详情

AliasesSORD1; HEL-S-95n
Host/IsotypeRabbit IgG
Antibody TypePrimary antibody
StorageStore at 4°C short term. Aliquot and store at -20°C long term. Avoid freeze/thaw cycles.
Species ReactivityHuman, Mouse
ImmunogenFusion protein of human SORD
FormulationPurified antibody in PBS with 0.05% sodium azide and 50% glycerol.

+ +

客户数据及评论

折叠内容

大包装询价

×