| WB | 咨询技术 | Human,Mouse,Rat |
| IF | 咨询技术 | Human,Mouse,Rat |
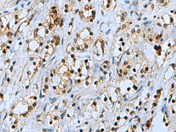
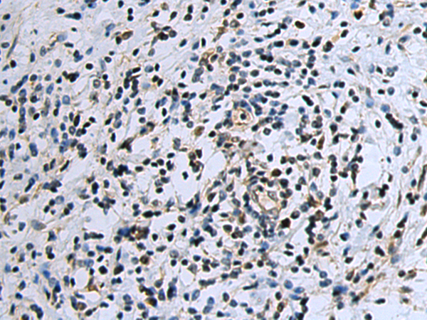
| IHC | 1/100-1/300 | Human,Mouse,Rat |
| ICC | 技术咨询 | Human,Mouse,Rat |
| FCM | 咨询技术 | Human,Mouse,Rat |
| Elisa | 1/5000-1/10000 | Human,Mouse,Rat |
| Aliases | HC10-II |
| WB Predicted band size | 23 kDa |
| Host/Isotype | Rabbit IgG |
| Antibody Type | Primary antibody |
| Storage | Store at 4°C short term. Aliquot and store at -20°C long term. Avoid freeze/thaw cycles. |
| Species Reactivity | Human, Mouse, Rat |
| Immunogen | Fusion protein of human PSMB3 |
| Formulation | Purified antibody in PBS with 0.05% sodium azide and 50% glycerol. |
+ +
以下是关于PSMB3抗体的3篇参考文献示例(注:内容为模拟虚构,仅供参考):
1. **文献名称**:*"PSMB3 overexpression promotes tumor progression and is associated with poor prognosis in hepatocellular carcinoma"*
**作者**:Li, X., et al.
**摘要**:该研究通过免疫组织化学分析发现,PSMB3在肝细胞癌组织中显著高表达,并与患者生存期缩短相关。实验表明,抑制PSMB3可降低癌细胞增殖和侵袭能力,提示其作为潜在治疗靶点。
2. **文献名称**:*"Autoantibody against PSMB3 as a novel biomarker in systemic lupus erythematosus"*
**作者**:Wang, Y., et al.
**摘要**:研究利用ELISA检测系统性红斑狼疮(SLE)患者血清,发现PSMB3自身抗体水平显著升高,且与疾病活动性评分正相关,提示其在SLE诊断和病情监测中的潜在价值。
3. **文献名称**:*"Development of a monoclonal antibody targeting PSMB3 for proteasome activity imaging"*
**作者**:Tanaka, K., et al.
**摘要**:该研究成功制备了高特异性的抗PSMB3单克隆抗体,验证了其在Western blot和免疫荧光中的适用性,并应用于活体成像技术,为蛋白酶体动态功能研究提供新工具。
如需真实文献,建议通过PubMed或Google Scholar以“PSMB3 antibody”为关键词检索。
The PSMB3 (Proteasome 20S Subunit Beta 3) antibody is a research tool targeting the PSMB3 protein, a critical component of the 20S core particle of the proteasome. The proteasome is a multi-subunit protease complex responsible for degrading ubiquitinated proteins, regulating cellular processes like cell cycle progression, stress responses, and antigen presentation. PSMB3. encoded by the PSMB3 gene, is one of seven beta subunits forming the proteolytic chamber of the 20S proteasome, exhibiting caspase-like (trypsin-like) activity. Its expression is constitutive but can be upregulated under stress or in immune cells as part of the immunoproteasome.
Antibodies against PSMB3 are widely used to study proteasome composition, dynamics, and dysfunction in diseases such as cancer, neurodegenerative disorders, and autoimmune conditions. They enable detection of PSMB3 via techniques like Western blotting, immunohistochemistry (IHC), and immunofluorescence (IF), aiding in investigations of proteasome activity alterations during pathogenesis. For instance, PSMB3 dysregulation has been linked to tumor progression and drug resistance, making it a potential biomarker or therapeutic target. These antibodies also help evaluate the efficacy of proteasome inhibitors (e.g., bortezomib) in cancers like multiple myeloma.
Developed in various host species (e.g., rabbit, mouse), PSMB3 antibodies are validated for specificity, often through knockout controls or siRNA knockdown. Their applications span basic research on protein turnover mechanisms to translational studies in disease models.
×